V Jornadas de Ecografía de la semFYC

9 y 10 de febrero de 2024

Comunicaciones: Casos clínicos

Abordaje de síntomas urinarios en Atención Primaria (oral)

Ámbito del caso

Atención Primaria

Motivos de consulta

Síntomas urinarios

Historia clínica

Enfoque individual

Varón de 59 años que refiere síntomas urinarios como dificultad para el vaciamiento, nicturia, retenciones agudas de orina... Presenta esta clínica desde hace años, pero se ha incrementado en las últimas semanas. Fue valorado en Urología, presentando un volumen prostático de 44 cc y 270 cc de residuo postmiccional, abandonando por voluntad propia el seguimiento. En tratamiento con Tamsulosina y Sereprostat, añadiendo Dutasteride hace 1 mes. 
A la exploración física: abdomen blando y depresible, molestia a la palpación en hipogastrio, sin signos de irritación peritoneal, se palpa globo vesical.

Hallazgos ecográficos

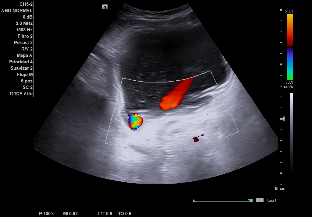
Ecografía tras ingerir 1 litro de agua y sin orinar posteriormente, con sonda convex: se visualiza vejiga repleccionada hasta 2 cm del ombligo, con > 550 cc (difícil de cuantificar por gran tamaño). Residuo postmiccional 525 cc, paredes de vejiga con signos de lucha, divertículo e imagen de «centelleo» en desembocadura de uréter derecho, pero sin afección del jet ureteral ipsilateral. Próstata de 67 cc aproximadamente, que protruye en vejiga. Riñones con ecoestructural normal sin dilatación en vía excretora.

Pruebas complementarias

  • Cistoscopia: meato y uretra normal. Próstata bilobulada coaptante. Vejiga de lucha. Vejiga trabeculada. Litiasis vesicales.
  • Ecografía en Urología: pared vesical engrosada difusa con trabeculación, grandes cálculos de 14, 10 y 9 mm. Próstata 48 gr con pequeña imagen quística de 10 mm.
  • Función renal, iones, PCR, hemograma, PSA, alfafetoproteína y beta-HCG: normales.
  • Anormales y sedimento orina: 239 hematíes/campo. 5 leucocitos/campo. Cristales oxalato cálcico dihidratado.

Juicio clínico, diagnóstico diferencial, identificación de problemas

Síntomas del tracto urinario inferior. Hiperplasia benigna de próstata. Residuo postmiccional elevado. Litiasis vesicales. Retención aguda de orina.

Tratamiento y planes de actuación

Se realiza sondaje vesical y tras el fracaso del tratamiento oral comentado, se deriva nuevamente a Urología para plantear cirugía.

Evolución

Se encuentra incluido en lista de espera quirúrgica para resección transuretral de próstata y cistolitectomía endoscópica.

Conclusiones (y aplicabilidad para la Medicina de Familia)

Este caso, una vez más, demuestra el poder de la ecografía clínica en los centros de Atención Primaria. Las imágenes ecográficas nos permiten realizar orientaciones diagnósticas y seguimiento de las patologías de nuestros pacientes, de una forma rápida, accesible, veraz e inocua.


Comunicaciones y ponencias semFYC: 2026; Comunicaciones: Casos clínicos. ISSN: 2339-9333

Autores

López Garre, Elena
CS San Antón. Cartagena. Murcia
de Casas Fernández, Xania
CS San Antón. Cartagena. Murcia
Albarracin Ferrer, Mariano
CS San Antón. Cartagena. Murcia