Atención Primaria.
Síndrome constitucional.
Enfoque individual
- Antecedentes personales: HBP, HTA, cardiopatía isquémica (EAC de dos vasos). Agricultor en activo.
- Anamnesis: Varón de 70 años que presenta pérdida de peso de 6 kilos (72 a 66) desde hace 2 meses. Se acompaña de anorexia, refiriendo que se está esforzando en comer y asocia astenia importante. Presenta síntomas prostáticos a pesar de doble terapia.
- Exploración física: auscultación cardiopulmonar anodina y exploración abdominal no dolorosa, sin masas ni megalias. No adenopatías cervicales, supraclaviculares ni axilares.
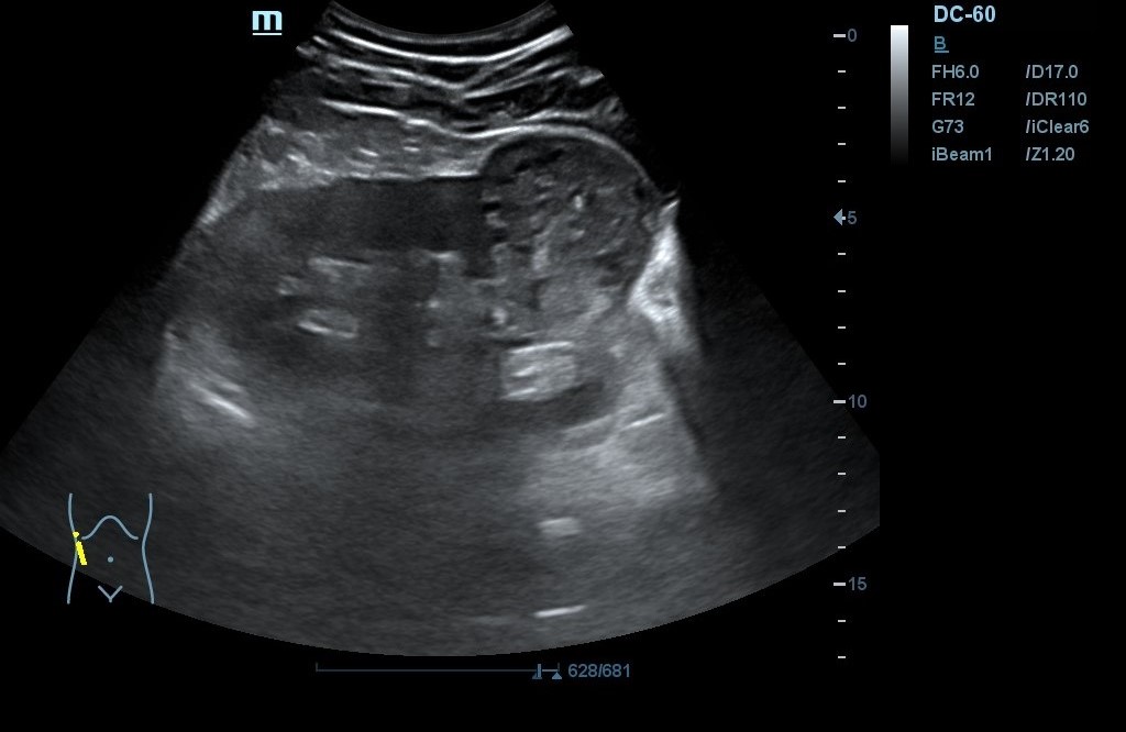
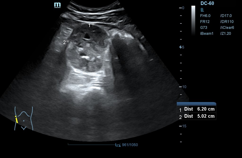
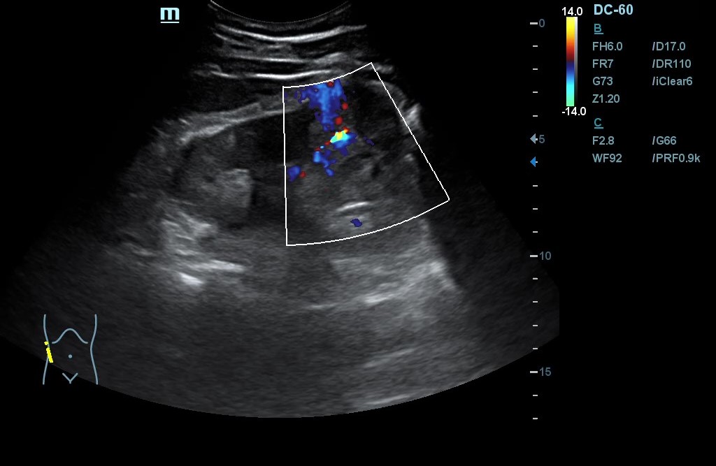
- Objetivo ecografía a pie de cama (POCUS): orientar y aproximar el estudio del síndrome constitucional.
Hallazgos ecográficos
- POCUS: Lesión en polo inferior de riñón derecho (RD) de 6,2 x 5,02 cm de diámetro, con neovascularización y zonas hiperecogénicas. No signos de hidronefrosis. Disminución del flujo venoso con Doppler pulsado. Resultados compatibles con masa renal sólida a filiar. RI sin alteraciones. Jets vesicales presentes. Próstata de contornos regulares y ecogenicidad homogénea. Volumen prostático de 44 cm3.
Pruebas complementarias
- Analítica: destaca PCR de 30 (previa de 20). Función renal y PSA dentro de la normalidad.
Juicio clínico, diagnóstico diferencial, identificación de problemas
- Juicio clínico: síndrome constitucional en relación con probable carcinoma renal
- Diagnóstico diferencial: cáncer renal vs hematoma vs absceso renal vs lesión quística compleja
- Concordancia con el hospital: se realiza un TAC abdominal que determina masa sólida exofítica en polo inferior RD con amplia necrosis central, calcificaciones y neovascularización. Mide 6,8 x 5,5 cm. pT3a N0M0.
Tratamiento y planes de actuación
- Plan de actuación: paciente que es derivado de forma preferente al servicio de urología. Se realiza nefrectomía radical derecha, en anatomía patológica hallazgos compatibles con carcinoma renal de células claras derecho con trombo en venas del seno con infiltración linfovascular. En comité se descarta adyuvancia.
Evolución
Por parte del servicio de urología se decide control con TAC con control analítico en 6 meses y seguimiento por su médico de familia. El paciente se encuentra asintomático en el momento actual, resolviéndose la clínica por la que consultaba inicialmente.
La aplicación de la ecografía a pie de cama en el centro de salud fue esencial para la identificación temprana de un probable carcinoma renal, lo que condujo a una derivación eficiente y un manejo coordinado con el hospital para lograr un diagnóstico y tratamiento adecuado.



