5, 6 y 7 de febrero de 2026
Enfoque individual
Paciente mujer de 77 años, con antecedentes de hipertensión arterial, diabetes mellitus tipo 2, fibromialgia, migraña. No fumadora.
Refiere mayor cansancio de lo habitual y febrícula por las tardes desde hace dos o tres meses. No síndrome constitucional. No síntomas B.
Cabeza y cuello: presenta adenopatías desde hace 2 meses en cara laterocervical derecha, supraclavicular, y preauricular, de 1-2 cm móviles.
Auscultación cardiaca rítmica. Auscultación pulmonar murmullo vesicular conservado. Abdomen blando y depresible, no visceromegalias ni masas.
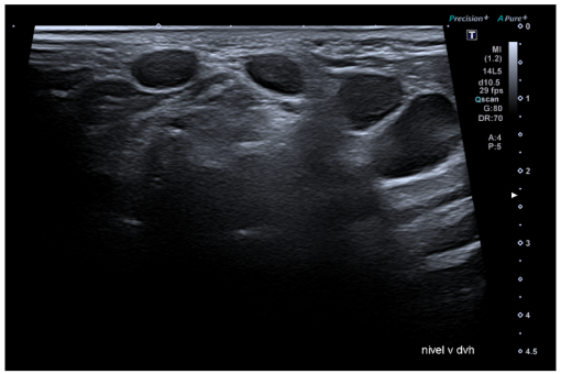
Hallazgos ecográficos
Ecografía clínica: adenopatías patológicas, sin grasa en su interior, redondas (no ovoides) de 1 cm de diámetro aproximadamente.
Pruebas complementarias
Analítica: hemograma y bioquímica sin alteraciones.
Radiografía de tórax: sin evidencia de masas ni alteraciones significativas.
Juicio clínico, diagnóstico diferencial, concordancia con el hospital (en su caso)
Enfermedad infecciosa, linfoma, metástasis, enfermedades autoinmunes.
Tratamiento, planes de actuación
Se deriva a la paciente de forma preferente al servicio de Medicina Interna, donde se realiza una tomografía axial computarizada (TAC) que evidencia adenopatías cervicales, mediastínicas y axilares.
Tras valoración por el servicio de Otorrinolaringología, se practica una biopsia aspirativa con aguja gruesa (BAG) de la adenopatía supraclavicular derecha, cuyo resultado resulta no concluyente. Ante esta situación, se decide la exéresis quirúrgica de la adenopatía para estudio histológico.
Evolución
El PET-TC describe proceso linfoproliferativo como primera posibilidad diagnóstica, sin poder descartar otras causas. Actualmente, la paciente se encuentra pendiente de una nueva biopsia.
Ante un paciente que consulta por astenia, resulta esencial realizar un interrogatorio exhaustivo y una exploración física completa, con el fin de orientar adecuadamente el diagnóstico diferencial. Asimismo, cabe destacar la eficacia de haber realizado una ecografía en el centro de salud para una evaluación inicial precisa, identificando las características morfológicas de las adenopatías y brindando la posibilidad de una derivación al ámbito hospitalario de manera asertiva y justificada.

