5, 6 y 7 de febrero de 2026
Enfoque individual
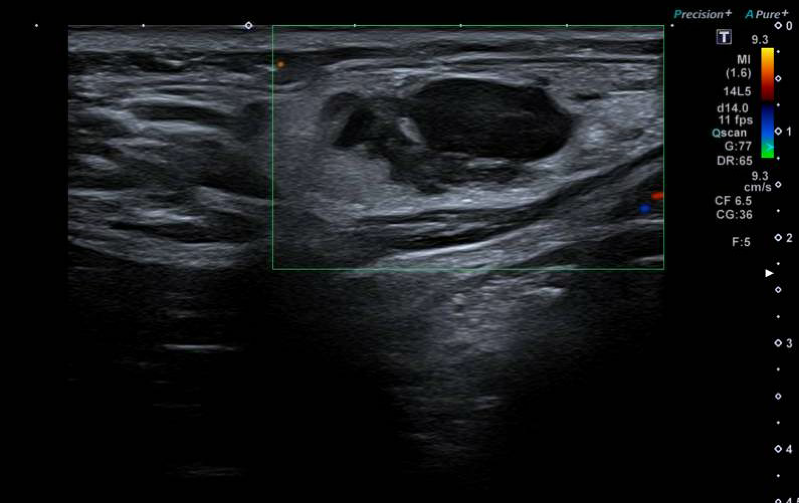
AP: Hombre, 25 años, no RAM, fumador de 10 cigarrillos/día. Antecedente de sífilis tratada. Alergia a ácaros. Convivencia con cuatro gatos. Tratamiento habitual: antihistamínicos a demanda.Hallazgos ecográficos
Se identifica una adenopatía supraclavicular derecha de morfología polilobulada, pérdida del hilio graso, hipervascularización interna y tamaño de 22 × 11 mm, hallazgos claramente patológicos, con pequeños ganglios adyacentes y sin adenopatías laterocervicales significativas.Pruebas complementarias
Anatomía patológica PAAF: Linfadenitis granulomatosa necrotizante con focos supurativos y fibrosis periganglionar. Compatible con enfermedad por arañazo de gato.Juicio clínico, diagnóstico diferencial, concordancia con el hospital (en su caso)
Adenopatía supraclavicular derecha secundaria a Bartonella henselae.Tratamiento, planes de actuación
Azitromicina 500 mg el primer día, luego 250 mg/día durante 4 días.Evolución
Mejoría clínica progresiva con disminución del tamaño de la adenopatía.

