X Jornadas de Actualización en Medicina de Urgencias y VI Jornadas de Ecografía de la semFYC
6-7-8 de febrero de 2025
Enfoque individual: antecedentes personales, anamnesis, exploración, pruebas complementarias, etc.
Hombre de 76 años que acude a urgencias por tos y flemas de 7 días de evolución. Desde hace 24 h, fiebre de hasta 39 ºC axilar en domicilio.
Sin antecedentes personales relevantes de interés salvo HTA en tratamiento con enalapril 10 mg 1 comprimido cada 12 h.
Exploración física:
TA 110/80 mmHg FC 105 lpm Sat 95% basal Temp 38,3 ºC axilar.
Buen estado general. Consciente y orientado. Normohidratado y normoperfundido. Eupneico en reposo.
A.C.: Rítmico sin soplos
A.P.: Buena ventilación bilateral, roncus dispersos en ambos campos medios.
Pruebas complementarias:
ECG: Taquicardia sinusal a 95 lpm, QRS estrecho, sin alteraciones de la repolarización.
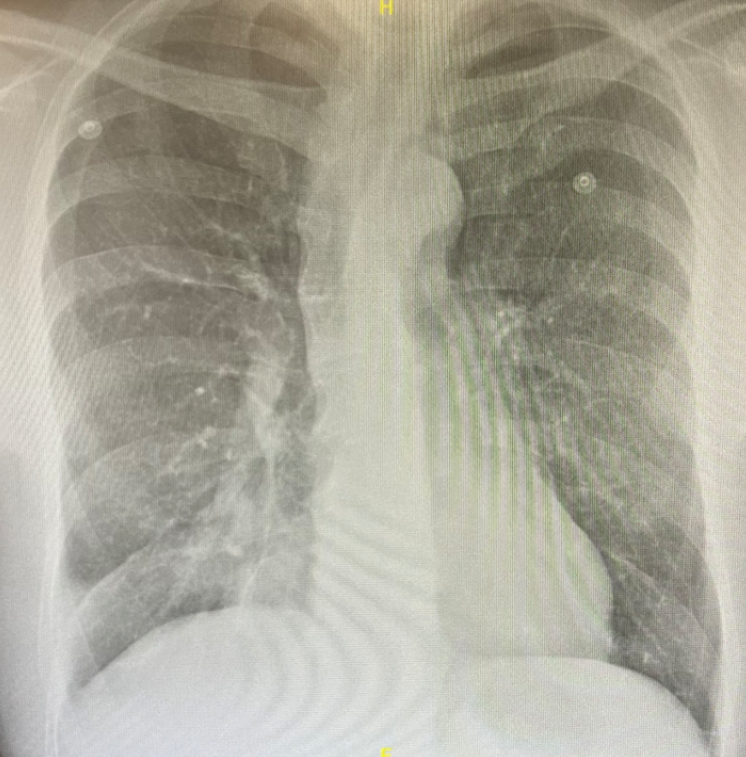
Rx tórax PA: Sin alteraciones pleuropulmonares de interés. Sin cardiomegalia.
AS: leucocitosis 12.000 (N 81% L 12%), PCR 100, PCT 1.6.
Frotis nasofaríngeo negativo para Covid 19, Gripe A y B y VRS.
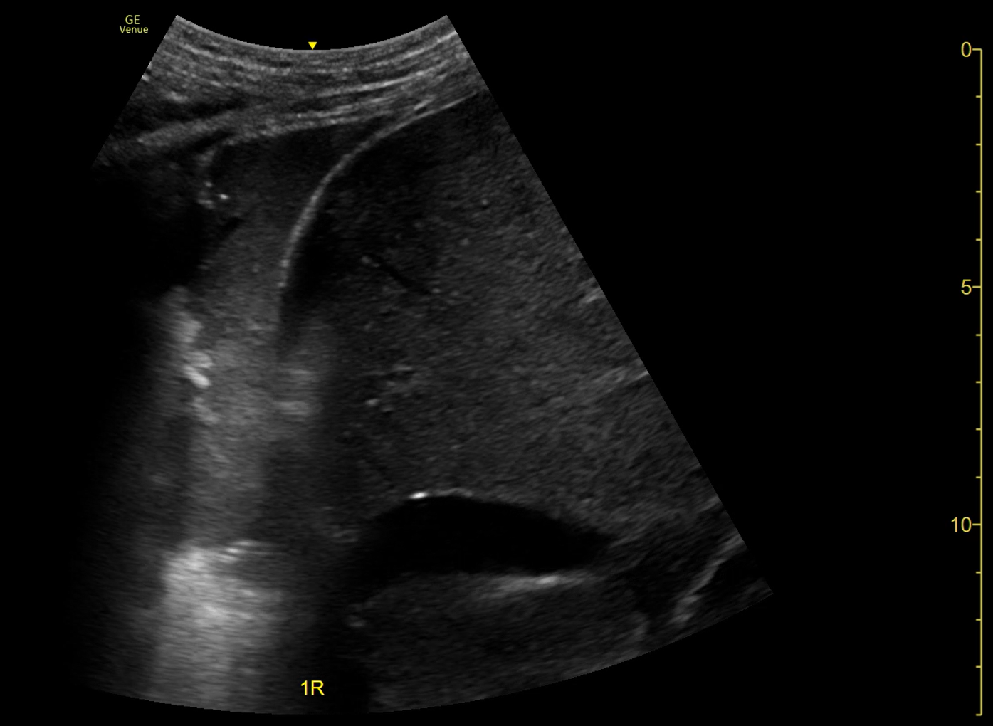
Ecografía pulmonar a pie de cama: Líneas A en ambos ápex y campos pulmonares. Imagen de hepatización pulmonar en base derecha.
Antigenuria: negativa.
Hemocultivos x2 cursados
Enfoque familiar y comunitario: estudio de la familia y la comunidad (si fuese necesario)
FINE III (Riesgo Moderado).
Juicio clínico, diagnóstico diferencial, identificación de problemas
Neumonía en lóbulo inferior derecho (LID).
Tratamiento y planes de actuación.
Tras resultados de pruebas complementarias y elevación de reactantes de fase aguda en analítica de sangre, se administra primera tanda antibiótica con Ceftriaxona 2 g ev en urgencias para posterior ingreso con Hospitalización a Domicilio (HaD) para terapia endovenosa (TADE).
Evolución
Tras ingreso en HaD la evolución fue favorable con resolución del cuadro agudo.
En este caso, la ecografía en la urgencia ayudó a objetivar la condensación neumónica en LID que no se conseguía ver en la Rx torax PA previamente realizada, que junto a la alta sospecha clínica de posible infección respiratoria, ayudó a iniciar el tratamiento antibiótico dirigido y evitar pruebas complementarias innecesarias.

