5, 6 y 7 de febrero de 2026
Enfoque individual
Varón de 83 años, exfumador, con antecedentes de HTA, EPOC leve con bronquiectasias, aneurisma de aorta estable y episodios previos de rectorragias intervenidos en 2012. En tratamiento con Enalapril, AAS, Atorvastatina, Relvar Ellipta y Omeprazol. Consulta por astenia de dos meses, pérdida de 5 kg y anorexia intermitente, síntomas que asocia a bajo ánimo. Niega sangrado u otra clínica acompañante.
En la exploración presenta buen estado general, eupneico, con auscultación cardiopulmonar normal y abdomen blando sin masas ni megalias. La analítica muestra anemia ligera (11.7 g/dl, previa 13.3), leve ferropenia con IST normal y resto de parámetros dentro de la normalidad.
Hallazgos ecográficos
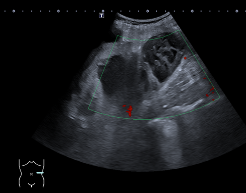
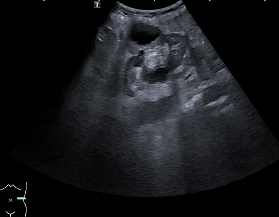
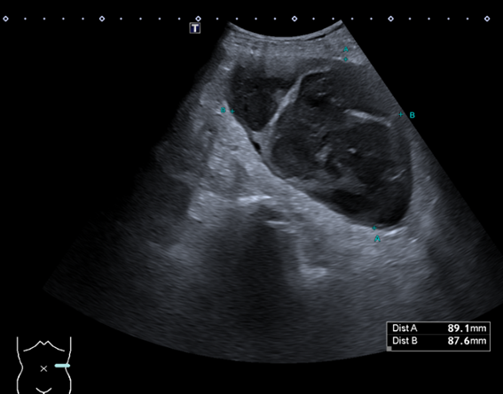
Ante la persistencia de los síntomas, se realiza ecografía en Atención Primaria, identificándose una lesión ovalada de unos 9 cm adyacente al riñón izquierdo, heterogénea, con áreas quísticas y sin flujo Doppler. La revisión de imágenes antiguas revela un quiste simple de gran tamaño en la misma localización, por lo que se sospecha complicación del mismo. Se deriva a Medicina Interna para estudio.
Pruebas complementarias
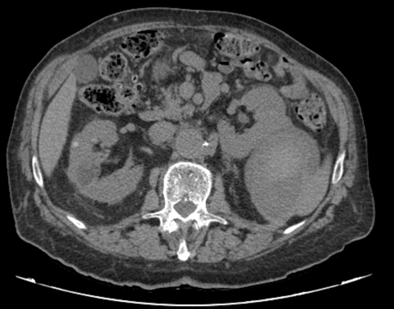
En el ámbito hospitalario se completa la evaluación con TAC abdominopélvico con contraste, que confirma la existencia de una gran lesión pararrenal izquierda de morfología quística, heterogénea y con contenido hemático, compatible con quiste renal hemorrágico. Se observan otros quistes simples y hemorrágicos en ambos riñones. La analítica realizada hospitalariamente no muestra cambios relevantes respecto a la de Atención Primaria y las endoscopias son normales.
Juicio clínico, diagnóstico diferencial, concordancia con el hospital (en su caso)
Dada la ausencia de alteraciones significativas en la analítica, se concluye con el diagnóstico de quiste renal hemorragico izquierdo como principal causa.
Tratamiento, planes de actuación
Se contacta con el paciente y su hija para comunicar los resultados. Este se encuentra bien, asintomático sin incidencias. Se procede a derivar a Urología para valorar posibilidad de tratamiento del mismo.
Evolución
Finalmente se realiza exéresis quirúrgica de la lesión bajo anestesia general, sin incidencias. Dado el buen estado clínico y la estabilización analítica posterior.
En la actualidad, el paciente permanece estable y asintomático, en seguimiento por Urología. El caso destaca el valor de la ecografía en Atención Primaria, la revisión longitudinal de la historia clínica y la capacidad del médico de familia para orientar de forma eficaz estudios complejos, evitando pruebas invasivas innecesarias y mejorando la coordinación con otros niveles asistenciales.



