X Jornadas de Actualización en Medicina de Urgencias y VI Jornadas de Ecografía de la semFYC
6-7-8 de febrero de 2025
Antecedentes personales relevantes, anamnesis, exploración física y lugar que ocupa en ella la ecografía
Paciente masculino de 75 años con antecedentes personales: exfumador (50 paquetes/año), enolismo de 3 UBEs/día, dislipemia en tratamiento, EPOC moderado enfisematoso en tratamiento con LAMA y sin cardiopatías conocidas.
Explica dolor abdominal y sensación de plenitud pospandrial de dos meses de evolución. No otra clínica digestiva o sistémica acompañante.
A la exploración física destaca una abdomen globuloso y doloroso a la palpación en meso e hipogastrio.
Palpación de masa pulsátil a nivel de mesogastrio.
Tras la anamnesis dirigida, y ante los hallazgos durante la exploración física y en las pruebas complementarias, se cita al paciente en el ambulatorio para realizar una ecografía abdominal de carácter preferente por nuestro equipo de Atención Primaria.
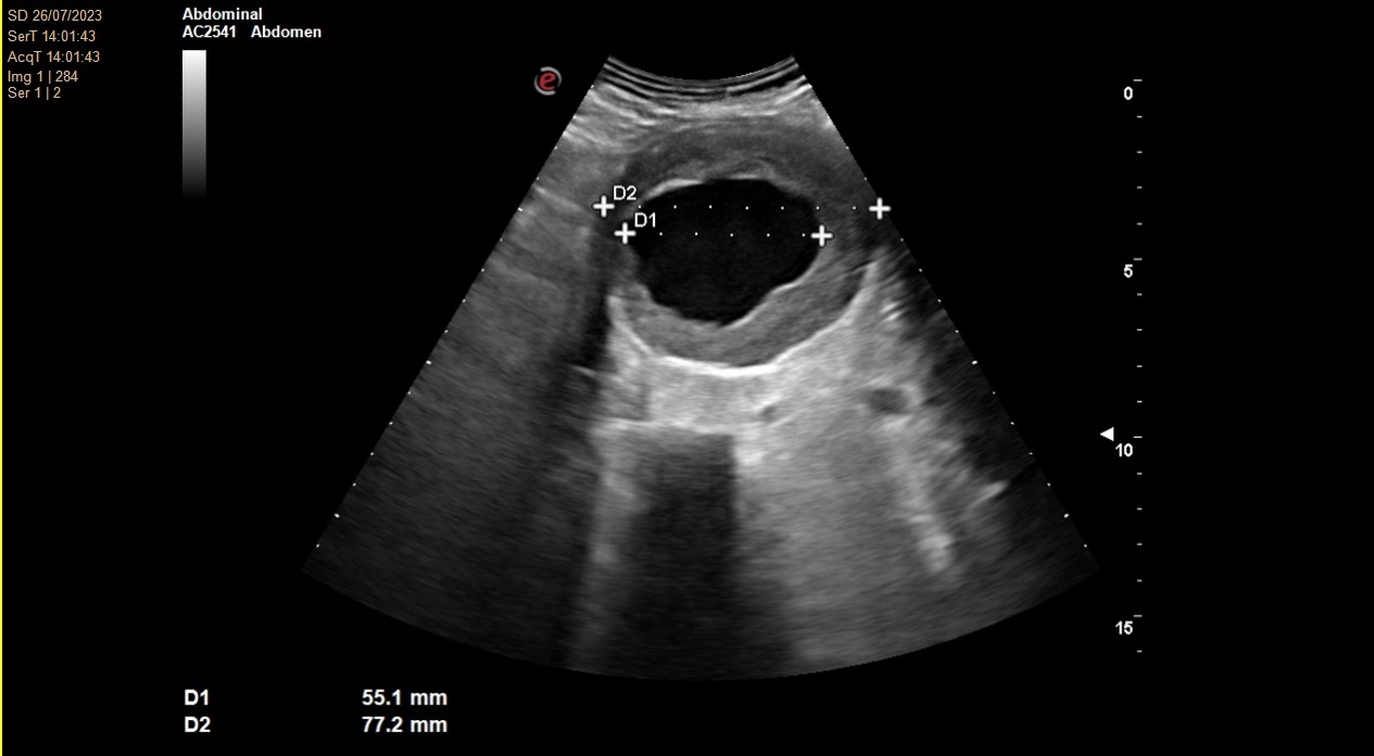
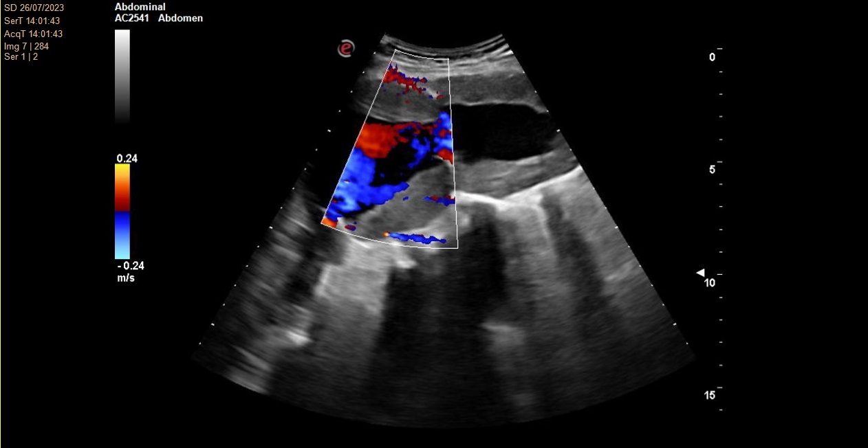
Descripción de los hallazgos ecográficos y las imágenes más relevantes para la resolución del caso
No se consigue visualizar el lóbulo hepático izquierdo ni páncreas por interposición de gas intestinal. Lóbulo hepático derecho de ecogenicidad y ecoestructura normal. Vesícula biliar de paredes finas y lisas sin contenido en su interior. Vía biliar no dilatada. Se visualiza una arteria aorta a nivel abdominal de un tamaño de 78 x 77 mm en su diámetro máximo.
Otras pruebas complementarias realizadas (si existen)
Analítica que muestra elevación de RFA y leucocitosis con neutrofilia.
Radiografía de tórax y abdomen sin hallazgos destacables.
Angio TC toracoabdominal en el que se observa una dilatación aneurismática de 73,8 mm de morfología fusiforme infrarenal hasta bifurcación ilíaca con trombosis mural concéntrica en toda su extensión.
Juicio clínico, diagnóstico diferencial, concordancia con el hospital (en su caso)
Aneurisma de aorta abdominal.
Decisiones adoptadas: tratamiento, planes de actuación
Derivación al servicio de ACV del Hospital de Bellvitge para valoración.
Durante la visita presencial se decide de forma conjunta con el paciente, la intervención quirúrgica como mejor opción de tratamiento.
Realizándose una resección del aneurisma de aorta infrarrenal con injerto aortobilíaco a ilíacas primitivas de Dacron.
Evolución y seguimiento
Se incluye al paciente en el programa ERAS, compuesto por un grupo de especialistas multidisciplinar destinado al seguimiento del paciente para una rápida recuperación de la intervención quirúrgica.
Posteriormente, continúa su seguimiento y control de FRCV a través de su MAP.
El desarrollo y la implementación de la ecografía a nivel de la Atención Primaria, llevada a cabo por los profesionales del ambulatorio del centro, permite mejorar, como ha sido en este caso, los tiempos tanto en el diagnóstico como en el tratamiento del paciente.
Pudiendo repercutir a su vez, en una disminución de la mortalidad en pacientes con patologías quirúrgicas.

