5, 6 y 7 de febrero de 2026
Dolor abdominal agudo.
Enfoque individual
Hombre de 83 años, con antecedentes de adenocarcinoma de próstata, sarcoma de alto grado en región escapular derecha con metástasis pulmonar y temblor parkinsoniano en estudio.
Acude a incidencias de nuestro Centro de Atención Primaria por dolor en hipogastrio de 24 horas de evolución (EVA 7/10), sin náuseas, vómitos ni cambios en el hábito deposicional. Tampoco refiere fiebre o sensación distérmica. No explica clínica miccional ni de otros aparatos o sistemas. Refiere hiporexia y distensión abdominal de semanas de evolución.
Exploración física: buen estado general. Auscultación cardiorrespiratoria sin alteraciones. Abdomen globuloso con eventración abdominal, presenta dolor a la palpación de fosa ilíaca derecha e hipocondrio derecho, Blumberg positivo y defensa abdominal. PPL bilateral negativa.
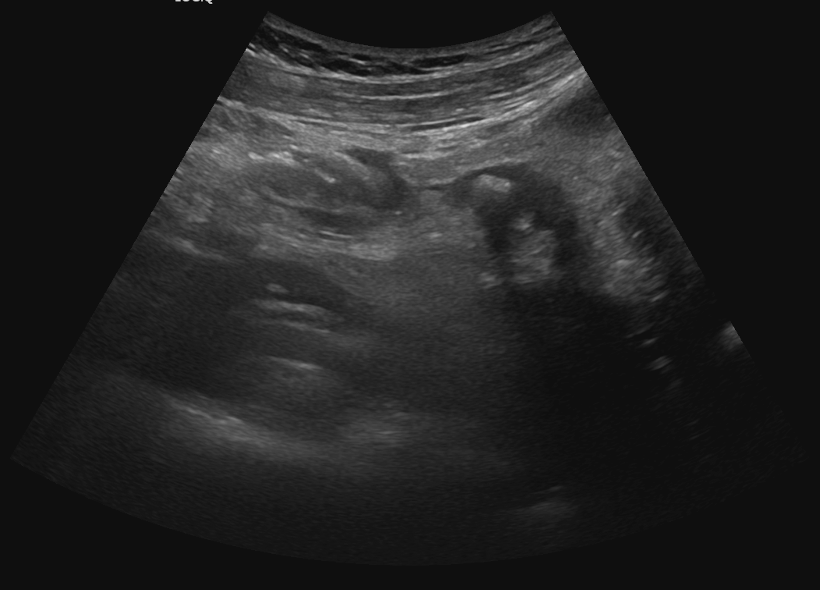
Hallazgos ecográficos
Se realiza ecografía clínica a pie de cama donde se evidencia vesícula alitiásica, Blumberg positivo con la sonda ecográfica, apéndice parcialmente visualizado con imagen hiperecogénica con sombra posterior que podría corresponder a apendicolito, sin signos de flemón.
Juicio clínico, diagnóstico diferencial, concordancia con el hospital (en su caso)
Orientación diagnóstica: apendicitis aguda
Diagnóstico diferencial: colecistitis aguda, apendicitis aguda, diverticulitis, obstrucción intestinal, isquemia mesentérica, cólico renal.
Tratamiento, planes de actuación
Se deriva a urgencias ante sospecha de apendicitis aguda, que acaba siendo confirmada mediante TAC.
Evolución
Al paciente se le realiza apendicectomía sin complicaciones.En las personas de edad avanzada la apendicitis se puede presentar de manera atípica, cursando de forma más insidiosa, sin fiebre y con síntomas menos evidentes. Es importante destacar el valor de la ecografía clínica en Atención Primaria, siendo esta una prueba accesible, rápida y coste-efectiva. En nuestro caso permitió un diagnóstico rápido y preciso, evitando retrasos diagnósticos y facilitando una derivación urgente y adecuada. Por consiguiente, queremos destacar la importancia de disponer de ecografía a pie de consulta para mejorar la capacidad resolutiva y reducir las complicaciones asociadas al diagnóstico tardío.

