X Jornadas de Actualización en Medicina de Urgencias y VI Jornadas de Ecografía de la semFYC
6-7-8 de febrero de 2025
Antecedentes personales relevantes, anamnesis, exploración física y lugar que ocupa en ella la ecografía
Paciente de 43 años, que como únicos antecedentes personales, consta seguimiento en Ginecología por lesión anexial derecha de 37 mm, abandono de seguimiento coincidiendo con pandemia Covid-19. G1C1 (gemelar). Sin otros antecedentes de interés.
Acude a consulta porque desde hace unas semanas, al acostarse, tiene molestias que describe como pinchazos y nota bulto en abdomen. Niega dolor. No náuseas ni vómitos acompañantes. Hábito intestinal normal, sin productos patológicos. No fiebre. No clínica miccional ni otra sintomatología acompañante.
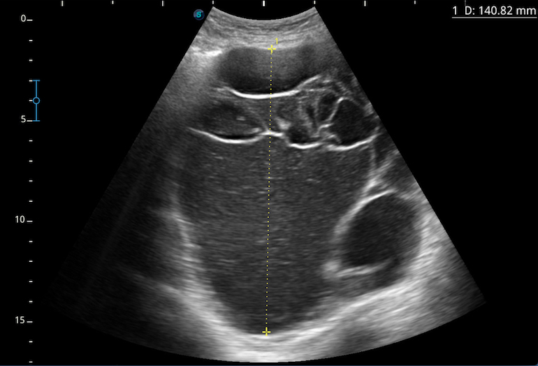
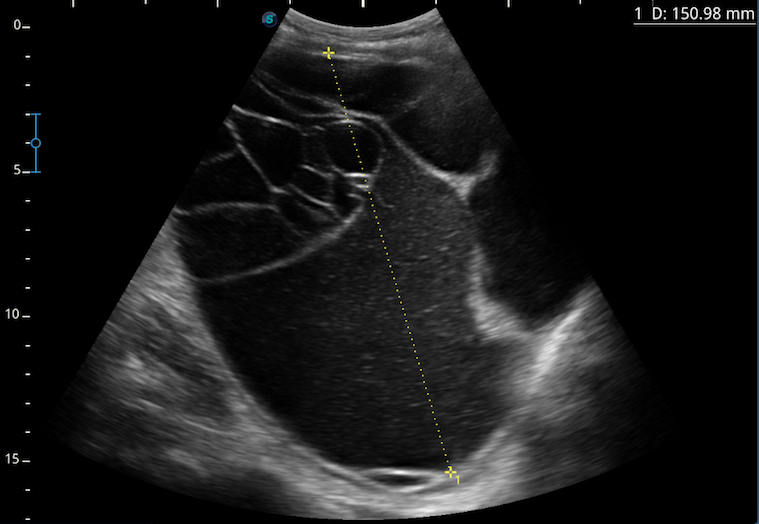
En la exploración se aprecia abdomen distendido, depresible, no doloroso a la palpación. Sin signos de irritación peritoneal. Se palpa masa a nivel de pelvis hasta hipogastrio. Resto de exploración sin alteraciones. Ante estos hallazgos en la exploración se realiza ecografía abdominal en consulta, visualizando una formación con múltiples tabiques que parece depender de ovario derecho y que ocupa toda la pelvis, desplazándose hasta el ombligo. Ante la sospecha de origen ovárico se deriva a la paciente a Ginecología para completar el estudio.
Descripción de los hallazgos ecográficos y las imágenes más relevantes para la resolución del caso
En la ecografía abdominal se evidencia una masa quística, de contornos bien delimitados, multitabicada de unos 15 cm que depende de ovario derecho y que ocupa toda la pelvis, desplazándose hasta hipogastrio.
Otras pruebas complementarias realizadas (si existen)
Se realizó ademas de la ecografía abdominal, una ecografía transvaginal, analítica incluyendo marcadores tumorales y TAC abdominopélvico.
Juicio clínico, diagnóstico diferencial, concordancia con el hospital (en su caso)
El juicio clínico fue de Cistadenoma mucinoso ovárico.
El diagnóstico diferencial, comprende quiste ovárico, endometrioma, teratoma, cistoadenoma y cistoadenocarcinoma serosos o mucinosos, el tumor mucinoso metastásico, entre otros.
Decisiones adoptadas: tratamiento, planes de actuación
Ante el resultado de las pruebas complementarias se decide realizar una Laparotomía exploradora de cavidad abdominopélvica con realización de Anexectomía derecha y biopsia intraoperatoria.
Evolución y seguimiento
La Anatomía Patológica fue informada como Cistoadenoma mucinoso ovárico sin atipias, por lo que se decidió seguimiento en Ginecología.
Ante una masa anexial, son de gran importancia una correcta anamnesis y exploración, pero esto, sumado a una valoración ecográfica inicial, resultará diferencial a la hora de contribuir a una mejor aproximación diagnóstica y posterior toma de decisiones.

