X Jornadas de Actualización en Medicina de Urgencias y VI Jornadas de Ecografía de la semFYC
6-7-8 de febrero de 2025
Incrementar la capacidad resolutiva del médico de Atención Primaria utilizado la ecografía clínica. Utilizarla como herramienta de apoyo al diagnóstico para descartar patología orgánica y optimizar una derivación hospitalaria.
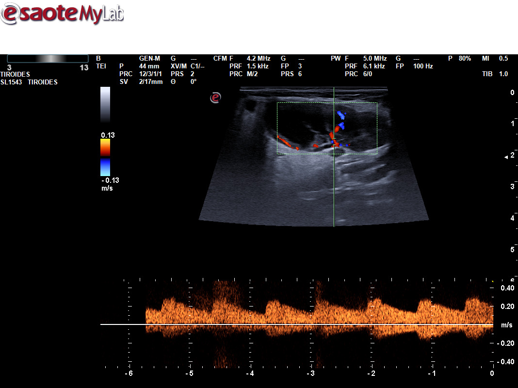
A través de distintos casos clínicos queremos valorar la importancia de la ecografía clínica en pacientes que consultan por la aparición de una masa cervical. Tras valorar a varios pacientes que han consultado por una masa cervical, hemos realizado una sesión clínica formativa sobre el aprendizaje de la ecografía cervical. Durante este periodo hemos podido diagnosticar diferentes patologías utilizando ecografía clínica y apoyándonos en otras pruebas complementarias, como un tumor de Merkel, un tumor de Warthin, una mononucleosis infecciosa, inflamación de un ganglio linfático por infección, un adenoma pleomorfo en glándula submandibular, malformación vascular, microlitiasis parotídeas, tuberculosis y un mieloma múltiple.
La ecografía no solo proporcionó datos clínicos, sino que también fue una herramienta para construir confianza y tranquilidad en un momento de incertidumbre.
La ecografía es una herramienta valiosa para obtener información detallada sobre una masa cervical y ayudar en la toma de decisiones clínicas.
La ecografía ayuda a determinar las características de la masa, como su tamaño, forma y consistencia, lo que puede ayudarnos en la sospecha de patología maligna.
Permite distinguir entre diferentes tipos de tejidos, como quistes, ganglios linfáticos inflamados o tumores, lo que es crucial para un diagnóstico adecuado.
Si se necesita realizar una biopsia o drenaje, la ecografía puede guiar al médico para que lo haga de manera más precisa.
En algunos casos, se utiliza para seguir la evolución de la masa a lo largo del tiempo, observando si hay cambios en su tamaño o características.
También, ayuda a ver si la masa está afectando a estructuras cercanas, lo que puede ser relevante para el tratamiento.



