V Jornadas de Ecografía de la semFYC

9 y 10 de febrero de 2024

Comunicaciones: Casos clínicos

Carcinoma renal a pie de cama (póster)

Ámbito del caso

Atención Primaria.

Motivos de consulta

Hematuria macroscópica.

Historia clínica

Enfoque individual

  1. Antecedentes personales: Varón de 84 años, sin deterioro cognitivo, hipertenso, diabético tipo II y con hiperplasia benigna de próstata, con el siguiente tratamiento crónico: Valsartán, Metformina, Atorvastatina y Tamsulosina/Dutasterida.
  2. Anamnesis: El paciente se encuentra parcialmente inmovilizado por gonalgia derecha (caída accidental hace 15 días con contusión a dicho nivel), por lo que acudimos a su domicilio para valorarlo. El paciente refiere dos episodios autolimitados de hematuria macroscópica. Niega fiebre, clínica miccional, abdominal ni otra sintomatología acompañante.
  3. Exploración física: Exploración abdominal sin presencia de masas palpables, signos de peritonismo ni otros hallazgos relevantes. Examen pélvico y tacto rectal sin alteraciones patológicas.
  4. Se trata de un escenario clínico donde la ecografía permite descartar patologías importantes y/o confirmar etiología responsable de la clínica.

Hallazgos ecográficos

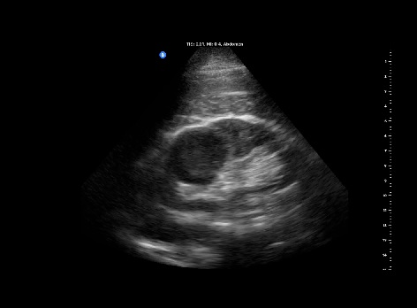
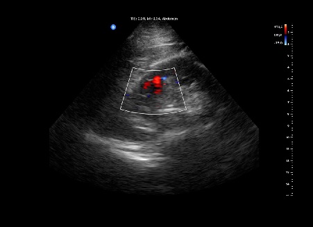
Se realiza con sonda ecográfica portátil. Se inicia el estudio ecográfico del abdomen a nivel de la línea axilar media derecha, donde realizamos cortes longitudinales y transversales. En el riñón derecho se observa, a nivel del polo superior, una lesión sólida heteroecoica, hipoecogénica respecto al parénquima circundante, redondeada, de bordes bien definidos, sin refuerzo posterior (figura 1), de 4,10 x 4,56 cm (figura 2) y con vascularización (Doppler positivo) (figura 3).

Pruebas complementarias

  • Se solicita tomografía computarizada abdominal de forma preferente, que es informado como masa renal derecha de aproximadamente 41 mm de diámetro, sospechosa de neoplasia renal maligna como 1ª posibilidad, sin evidencia de invasión del espacio perirrenal, afectación ganglionar ni enfermedad a distancia. 

Juicio clínico, diagnóstico diferencial, identificación de problemas

  • Juicio clínico: Masa renal derecha a estudio.
  • Diagnóstico diferencial: Quiste complicado, angiomiolipoma, hematoma renal.

Tratamiento y planes de actuación

Pendiente de cirugía.

Evolución

Se remite de forma preferente a consulta ambulatoria de Urología donde es incluido en lista de espera quirúrgica.  

Conclusiones (y aplicabilidad para la Medicina de Familia)

La hematuria constituye un motivo de consulta relativamente frecuente en Atención Primaria y su etiología es muy variada. En este caso, la ecografía clínica es una herramienta muy valiosa que nos permite, en el propio domicilio del paciente, realizar un acercamiento diagnóstico, y que, por tanto, llevemos a cabo un abordaje más precoz de una patología grave, como el carcinoma renal.
 
 
 

Comunicaciones y ponencias semFYC: 2026; Comunicaciones: Casos clínicos. ISSN: 2339-9333

Autores

Pérez Prada, Julia
CS Pola de Siero. Asturias
Méndez Esteban, Beatriz
Consultorio Periférico Colloto. Oviedo. Asturias
Carretero González, Irene
CS Pola de Siero. Asturias