V Jornadas de Ecografía de la semFYC

9 y 10 de febrero de 2024

Comunicaciones: Casos clínicos

¿Cólico biliar simple o complicado? (póster)

Ámbito del caso

Atención Primaria. 

Motivos de consulta

«Vengo a por la baja».

Historia clínica

Enfoque individual

  • Atención Primaria: no AP de interés para la consulta actual.
  • Anamnesis: mujer de 55 años. Epigastralgia intermitente que aparece sobre todo postprandrial desde hace meses. Afebril. No coluria ni acolia. No irradiación hacia tórax, cuello ni MSI. Náuseas sin vómitos. Pérdida de 7 kg por dieta baja en grasas. No astenia.
  • EF: Blando y depresible. RHA presentes. Doloroso a la palpación en epigastrio e HCD con Murphy positivo. 
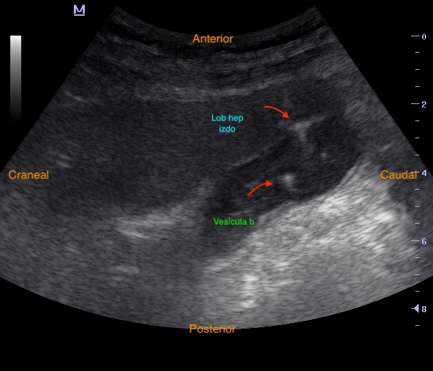
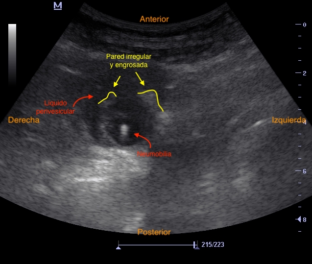
  • Motivo de ecografía: dolor en HCD con Murphy positivo.

Hallazgos ecográficos

Se visualiza vesícula biliar con contenido hiperecogénico en su interior sugestivo de cálculos biliares, pared anterior engrosada (0,35 mm), con líquido perivesicular y fenómeno de ring-down en su interior (posible neumobilia). Colédoco distal dilatado, con signo del doble cañón, sin clara dilatación de conductos biliares intrahepáticos.

Pruebas complementarias

  • Pendiente de ecografía reglada y AS general.

Juicio clínico, diagnóstico diferencial, identificación de problemas

Colecistitis aguda enfisematosa VS colecistitis subaguda.

Tratamiento y planes de actuación

Se deriva a SUH para valoración por cirugía.

Evolución

Ingreso a cargo de cirugía para colecistectomía. Analítica sanguínea anodina y ecografía reglada urgente confirma diagnóstico de colecistitis aguda.

Conclusiones (y aplicabilidad para la Medicina de Familia)

Utilidad de la ecografía clínica en dolor abdominal agudo sugestivo de cólico biliar para realizar diagnóstico diferencial y manejo terapéutico posterior.
 
 
 

Comunicaciones y ponencias semFYC: 2026; Comunicaciones: Casos clínicos. ISSN: 2339-9333

Autores

Martínez Martinez, Juan Jose
CS Álvarez de La Riva. Orihuela. Alicante
Llor TorÁ , Gloria
CS Álvarez de La Riva. Orihuela. Alicante
Bernabéu González de la Higuera, Itziar
Cs Orihuela I. Alicante