5, 6 y 7 de febrero de 2026
Atención Primaria.
Enfoque individual
Mujer de 65 años. AP: HTA, DLP y DM tipo 2 en tratamiento.
La paciente acudió el día anterior a Urgencias por glucemia de 672 mg/dl con cetonuria pero sin acidosis. Tras control de glucemia le dan el alta con tratamiento habitual.
En la analítica de urgencias también se objetiva FG 34 ml/min/1,73 m2, casi un 50% menos de la función renal de analítica previa.
En la exploración física se objetiva molestia generalizada a la palpación abdominal que aumenta en hipogastrio. Puño-percusión positiva bilateral. Edemas bilaterales en extremidades inferiores. Se decide realizar ecoscopia a pie de cama para valoración renal y vesical.
Hallazgos ecográficos
Primera imagen: sonda convex. Izquierda, proyección transversal de vejiga. Derecha, proyección longitudinal de vejiga. Aplicamos ecuación diámetro transversal x longitudinal x 0,525 y se confirma globo vesical de aproximadamente 725 ml.
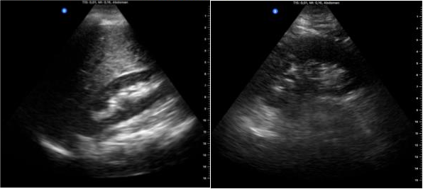
Segunda imagen: sonda convex. Izquierda, riñón izquierdo donde se objetiva el seno renal con dilatación de los cálices renales que confluyen parcialmente al igual que en el riñón derecho (imagen derecha).
Pruebas complementarias
Tira de glucemia > 500 y cetonemia capilar 0.1.
Analítica de sangre: FG 31 ml/min/1,73 m2, Cr 1,64 mg/dl, glucemia 681 mg/dl.
Sistemático de orina: glucosuria, hematuria microscópica, leucocitos +++.
Urocultivo: E. Coli positivo.
Juicio clínico, diagnóstico diferencial, concordancia con el hospital (en su caso)
Juicio clínico:
Diagnóstico diferencial: Proceso canceroso VS Litiasis renal VS Pielonefritis VS Enfermedad renal diabética VS Insuficiencia cardíaca.
Tratamiento, planes de actuación
Evolución
Dada de alta con analítica normalizada y se repitió ecoscopia 10 días después del alta, objetivando resolución de las alteraciones de ambos riñones (imagen 3). Glucemias en rango con buena adherencia a medicación oral y 20UI de insulina.
La ecografía es de gran utilidad para observar patología urgente como en este caso, y realizar un diagnóstico diferencial que ayuda a tomar decisiones. Mejora la eficiencia diagnóstica y permite realizar seguimiento por imagen de la resolución de las alteraciones en ciertas patologías como la renal.


