5, 6 y 7 de febrero de 2026
Atención Primaria.
Dolor persistente en hemiabdomen izquierdo de tres meses de evolución.
Enfoque individual
Mujer de 20 años, previamente sana, que refiere dolor progresivo en flanco y fosa iliaca izquierda, de características sordo‑punzantes, sin cortejo vegetativo ni relación con ingesta. Sin síntomas urinarios, ginecológicos ni otros asociados.
Sin antecedentes médicos, quirúrgicos ni ginecológicos relevantes. No consumo de tóxicos. Exploración física: abdomen blando, no distendido, con dolor electivo a la palpación profunda en flanco izquierdo. Sin defensa ni signos de peritonismo. Puño-percusión renal negativa. Analítica sanguínea (hemograma, bioquímica, PCR) y urinaria completamente normales, descartando infección urinaria, litiasis complicada, inflamación sistémica, patología ginecológica aguda o enfermedad diverticular.
Hallazgos ecográficos
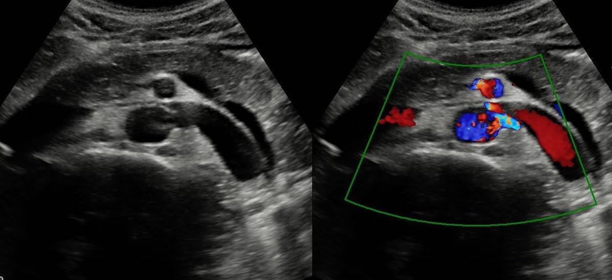
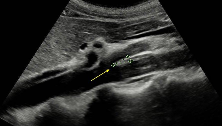
Ecografía clínica: La ecografía abdominal realizada en consulta mostró riñones normotróficos, sin litiasis ni hidronefrosis. La vía urinaria y el parénquima renal eran normales. Al evaluar grandes vasos abdominales se observó dilatación proximal de la vena renal izquierda y estrechamiento marcado en el ángulo formado entre la arteria mesentérica superior y la aorta, hallazgo sugestivo de síndrome de cascanueces. No se identificaron alteraciones anexiales ni signos de diverticulitis.
Pruebas complementarias
Confirmación radiológica hospitalaria de sospecha clínica.
Juicio clínico, diagnóstico diferencial, concordancia con el hospital (en su caso)
Dolor abdominal secundario a congestión venosa renal por síndrome de Cascanueces. Se descartaron cólico nefrítico, pielonefritis, patología diverticular, enfermedad inflamatoria intestinal y procesos ginecológicos agudos.
Tratamiento, planes de actuación
Manejo conservador con analgesia y seguimiento estrecho, dada la ausencia de hematuria, proteinuria o repercusión renal.
Evolución
A las cuatro semanas la paciente mostraba notable mejoría con resolución casi completa del dolor. Posteriormente, requirió cirugía por persistencia de sintomatología nuevamente.
La ecografía clínica en Atención Primaria permitió identificar de forma precoz un síndrome vascular infrecuente, optimizando la derivación y evitando pruebas más invasivas o costosas. Este caso refuerza la utilidad diagnóstica de la ecografía a pie de consulta, favoreciendo la eficiencia y la capacidad resolutiva del médico de familia.

