X Jornadas de Actualización en Medicina de Urgencias y VI Jornadas de Ecografía de la semFYC
6-7-8 de febrero de 2025
Atención Primaria y hospitalaria.
Enfoque individual: antecedentes personales, anamnesis, exploración, pruebas complementarias, etc.
Mujer, 80 años. Independiente para ABVD, sin deterioro cognitivo. No alergias conocidas. Exfumadora desde hace 4 años. Hipertensión arterial, dislipemia, colecistectomía por colelitiasis múltiple. Tratamiento crónico con manidipino 10 mg y rosuvastatina 5 mg.
Acude por bultoma dolorosos en región cervical izquierda desde hace 48 horas. No lo relaciona con traumatismo ni picadura. Niega fiebre ni otra clínica infecciosa acompañante, así como síndrome constitucional.
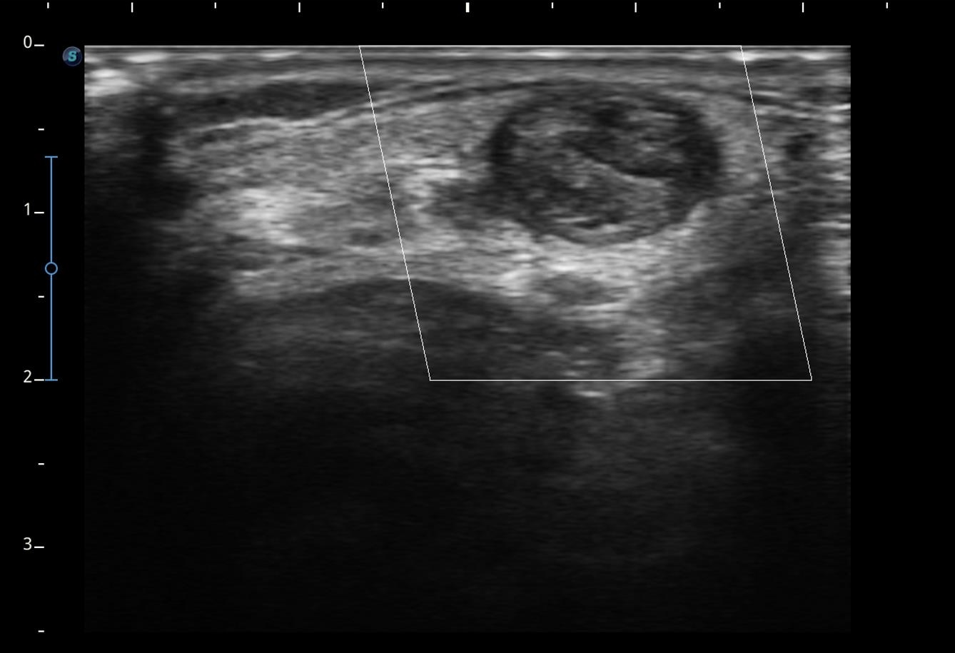
Tumoración cervical con eritema y calor local, dolorosa a la palpación a nivel de yugular, siguiendo trayecto lineal.
Auscultación cardíaca: rítmica sin soplos.
Auscultación pulmonar: subcrepitantes derechos hasta campos medios.
Miembros inferiores sin edema ni datos de trombosis venosa profunda.
Se realiza ecografía clínica objetivándose ausencia de flujo en el interior de la luz, con imagen ecogénica en el interior compatible con trombo, no colapsándose a la presión con el transductor.
Enfoque familiar y comunitario: estudio de la familia y la comunidad (si fuese necesario)
Buen soporte familiar.Juicio clínico, diagnóstico diferencial, identificación de problemas
Sospechamos de trombosis venosa yugular externa (VYE). Se deriva a servicio de Urgencias para completar estudio.
Diagnóstico diferencial:
Tratamiento y planes de actuación
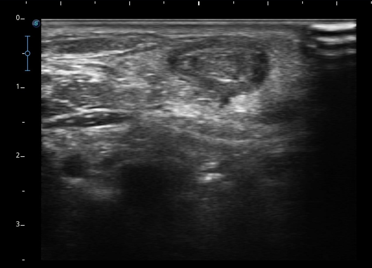
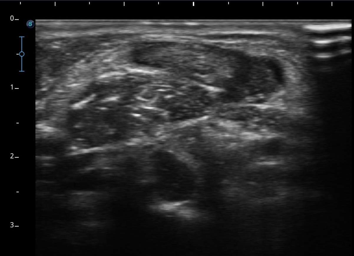
Se realiza analítica de sangre (Dímero D 2029 ng/ml) y radiografía de tórax anodina. Se realiza eco-doppler cervical observándose trombosis de vena yugular externa izquierda al menos hasta su confluencia yugulosubclavia. Vena yugular izquierda no visualizada. Venas subclavia, axilar y braquiales izquierdas permeables sin datos de trombosis.
Se confirma nuestra sospecha diagnóstica: obstrucción total venosa central (OTVC) trombótica de la vena yugular externa.
Se inicia anticoagulación con HBPM y se ingresa a cargo de Medicina Interna.
Evolución
Se amplía estudio analítico (ANAs positivos nucleolares) y se realiza body-TC que descartan origen secundario. Se solicitó estudio de trombofilias en el que resultó portadora heterocigota para el gen de protrombina.Se inició tratamiento con anticoagulante (Apixabán) y mantiene seguimiento en consulta específica.
La trombosis de la VYE es una afección poco frecuente que puede estar asociada a diversas causas, como trauma, infecciones, trastornos de la coagulación o compresión. Un diagnóstico temprano y el tratamiento adecuado son clave para un pronóstico favorable, por lo que la ecografía puede ser un buen aliado para el diagnóstico en Atención Primaria.



