5, 6 y 7 de febrero de 2026
Enfoque individual
Antecedentes personales:
Anamnesis: hombre de 95 años, que vive solo y es autónomo para las actividades básicas de la vida diaria. Presenta una frecuencia cardíaca (FC) controlada entre 55-70 y tensión arterial (TA) habitualmente baja.
Acude para el control de la insuficiencia cardíaca y el aumento del tratamiento diurético que le habían pautado en urgencias hospitalarias, donde había acudido por un aumento progresivo de disnea, ortopnea y aumento de edemas, de varios días de evolución, con una radiografía de tórax donde se objetivaba un pequeño derrame pleural izquierdo (izdo).
Exploración física: Peso: 61,8 (5 kilogramos más de lo habitual), TA 90/66 (habitual), FC 72, auscultación cardíaca arrítmica, auscultación pulmonar (AP) con buena ventilación general, extremidades inferiores (EEII) con edemas en ambas piernas con fóvea, hasta tercio medio.
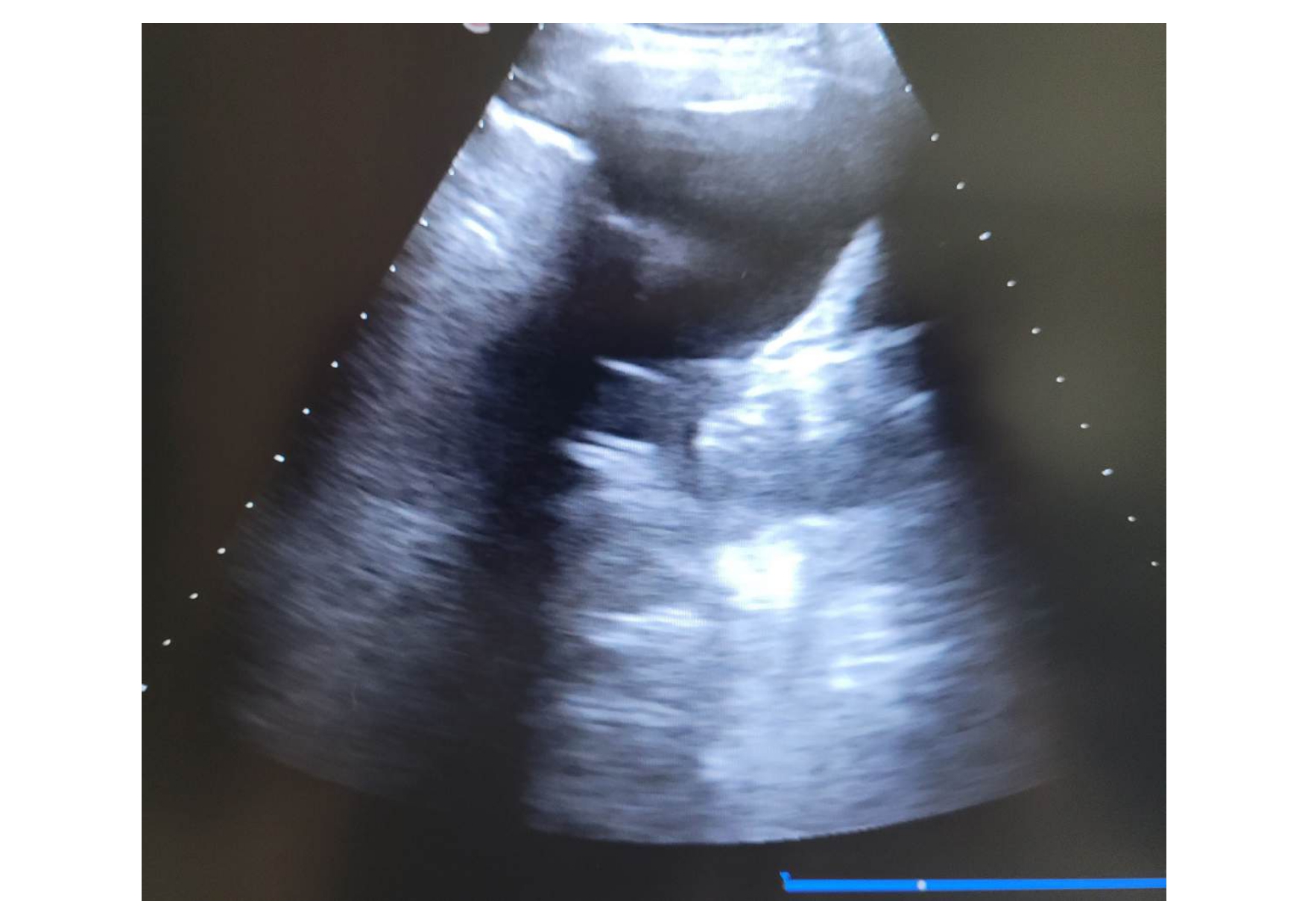
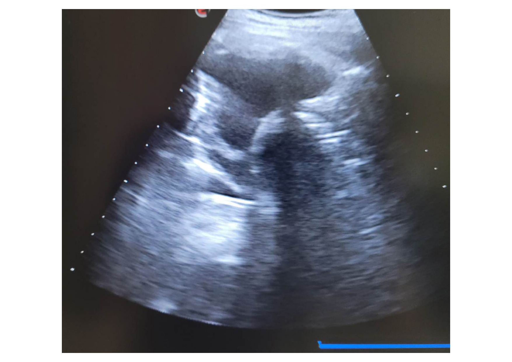
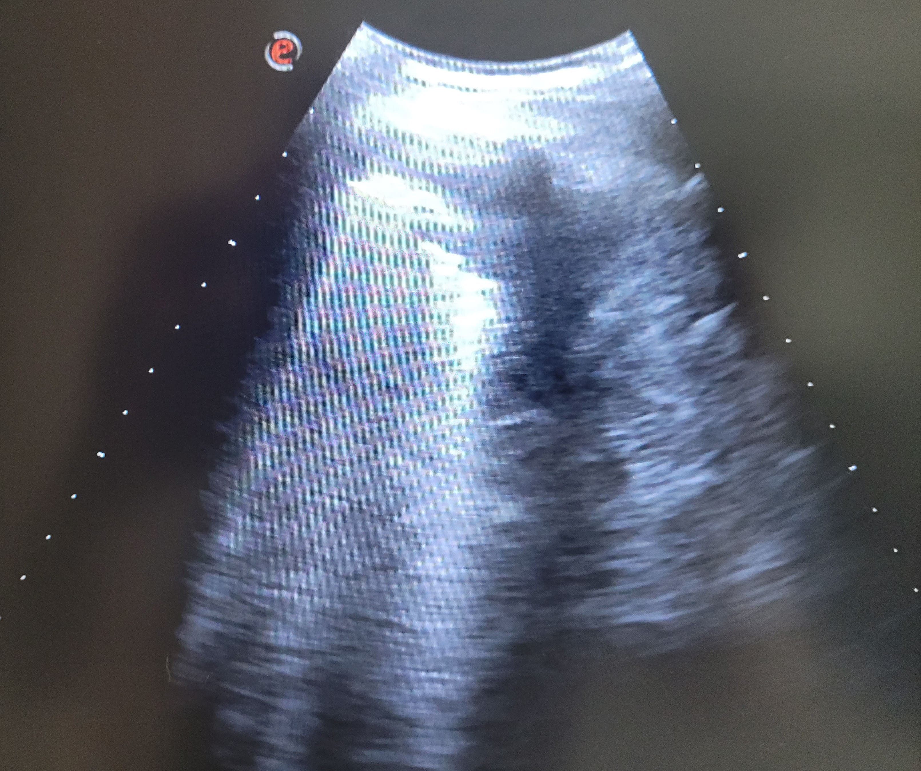
Lugar que ocupa la ecografía: control de la insuficiencia cardíaca y derrame pleural, ajustando el tratamiento diurético, controlando la evolución con la ecografía pulmonar.
Hallazgos ecográficos
Se realiza una ecografía pulmonar, donde se observa un derrame pleural bilateral, de mayor cuantía a nivel izdo, con “signo de medusa” a ese nivel, con líneas B en áreas 6 y 12.
Pruebas complementarias
Analítica para el control de la función renal y de los iones.
Pro-BNP: 6180.
Juicio clínico, diagnóstico diferencial, concordancia con el hospital
Derrame pleural en el contexto de una IC.
Tratamiento, planes de actuación
Como a pesar del tratamiento con eplerenona y el aumento de furosemida, la evolución del derrame era lenta, fue necesario el triple bloqueo con diuréticos, añadiendo hidroclorotiazida, para conseguir la resolución del cuadro clínico y la desaparición del derrame pleural, controlando al paciente a lo largo de varias semanas.
Evolución
Se mantuvo la hidroclorotiazida, porque al retirarla, se reprodujo nuevamente la disnea y el derrame pleural.
Gracias a la ecografía pulmonar, hemos podido diagnosticar y resolver un derrame pleural bilateral, evitando así un ingreso hospitalario, que con mucha probabilidad se hubiese producido, si nos llegamos a fiar exclusivamente de la AP, peso y edemas, los cuales se normalizaron antes de la resolución del derrame.



