5, 6 y 7 de febrero de 2026
Servicio de Urgencias Hospitalarias.
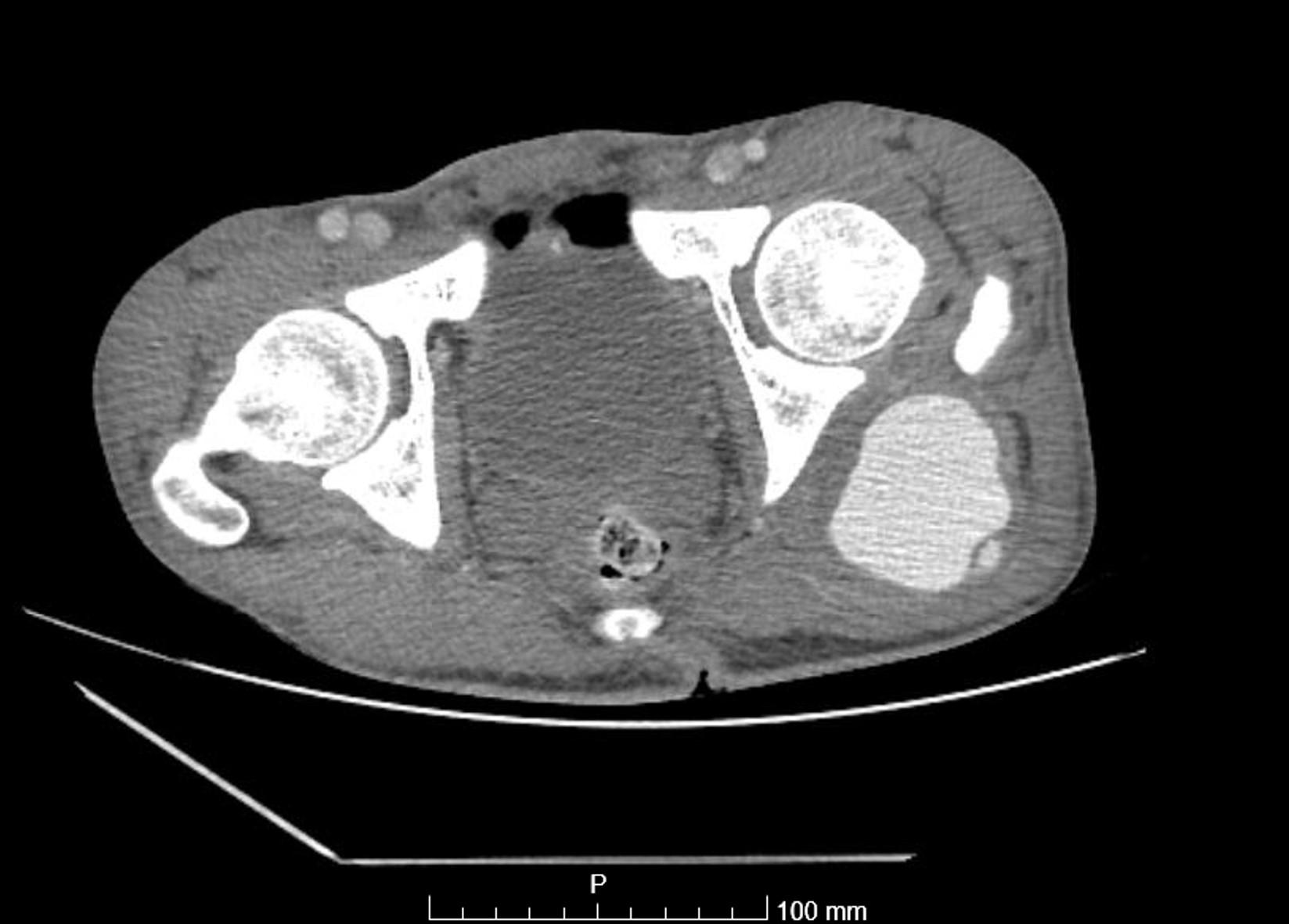
Hombre de 28 años que consulta por dolor en glúteo izquierdo tras caída hace un mes.
Enfoque individual
Pruebas complementarias:
Enfoque familiar y comunitario
Paciente magrebí con barrera idiomática que dificulta la anamnesis y ausencia de historia clínica previa.
Juicio clínico, diagnóstico diferencial, identificación de problemas
Pseudoaneurisma postraumático de arteria glútea izquierda.
Tratamiento y planes de actuación
Se pauta tratamiento analgésico y se deriva a servicio de radiología intervencionista de hospital de referencia para tratamiento endovascular. Resultando ser Pseudoaneurisma de arteria glútea anómala por arteria ciática persistente, se implanta stent cubierto excluyendo pseudoaneurisma.
Evolución
El caso se evalúa en comité Vascular posteriormente decidiendo mantener anatomía anómala del paciente ante resultado favorable. El paciente se encuentra estable, con pulsos positivos, es trasladado nuevamente a nuestro hospital para continuar tratamiento rehabilitador.
La arteria ciática persistente constituye una malformación vascular congénita excepcional, caracterizada por la permanencia anómala de este vaso embrionario que en condiciones normales involuciona para dar paso al desarrollo definitivo de la arteria femoral. Su interés radica en que presenta una marcada predisposición a desarrollar aneurismas, lo que le atribuye una importante relevancia clínica pese a su baja prevalencia. El diagnóstico puede facilitarse mediante el uso de la ecografía, ya que el signo del Yin-Yang en Eco-Doppler es un hallazgo característico.


