5, 6 y 7 de febrero de 2026
Urgencias Hospitalarias.
Dolor torácico.
Enfoque individual
Hombre de 38 años de edad con barrera idiomática marcado consulta por dolor torácico tipo opresivo de 2 días de evolución con empeoramiento a la inspiración profunda y movilización de la caja torácica. Afebril. No síntomas de infección respiratoria. Sobreesfuerzo físico en puesto laboral.
Buen estado general. Normocoloreado. Normohidratado. Afebril.
A la auscultación cardiopulmonar rítmico sin soplos audibles y murmullo vesicular conservado sin ruidos sobreañadidos.
Enfoque familiar y comunitario
No necesario.
Juicio clínico, diagnóstico diferencial, identificación de problemas
Tratamiento y planes de actuación
Evolución
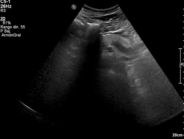
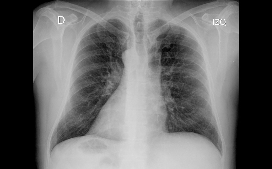
El paciente presentó mejoría rápida del dolor torácico tras analgesia, permaneciendo hemodinámicamente estable y sin nueva sintomatología. Los exámenes de laboratorio y la radiografía de tórax no mostraron alteraciones. La ecografía torácica/abdominal evidenció un situs inversus total como hallazgo incidental, sin relación con el cuadro clínico. Durante la observación evoluciona asintomático, con adecuada ventilación y sin dolor, por lo que se decide alta con educación respecto a su condición anatómica y recomendaciones para seguimiento.
La integración de un examen físico completo, en conjunto con los hallazgos característicos del electrocardiograma y la confirmación estructural mediante ecocardiograma, permite establecer con precisión el diagnóstico de situs inversus. El examen físico orienta desde los primeros momentos al identificar la posición anómala de los ruidos cardíacos y, el electrocardiograma aporta patrones eléctricos sugestivos de inversión anatómica. Finalmente, el ecocardiograma y Rx confirman la disposición especular de las estructuras torácicas y cardíacas.



