X Jornadas de Actualización en Medicina de Urgencias y VI Jornadas de Ecografía de la semFYC
6-7-8 de febrero de 2025
Servicios de Urgencias.
Dolor cadera izquierda.
Enfoque individual: antecedentes personales, anamnesis, exploración, pruebas complementarias, etc.
Hombre de 74 años. Independiente ABVD
AP:
El paciente reconsulta por dolor en la cadera izquierda de 2 días de evolución por caída sin TCE. El día anterior fue atendido en urgencias con radiografía sin fracturas. Hoy el paciente refiere impotencia funcional de cadera izquierda con dolor y 2 vómitos en domicilio. 
EF:
Destaca posición corporal lateralizada hacia la izquierda.
Dolor a la movilización cadera izquierda.
NRL: Claudicación ESI con pérdida de fuerza. EII no valorable por el dolor. Leve rigidez nucal.
Se reinterroga al paciente que refiere clínica de desviación izquierda de la marxa de 1 mes de evolución; previamente TCE occipital con pérdida de consciencia que fue atendido de urgencias con TAC craneal con resultados no patológicos.
PPCC:
A/S con INR de 2,11
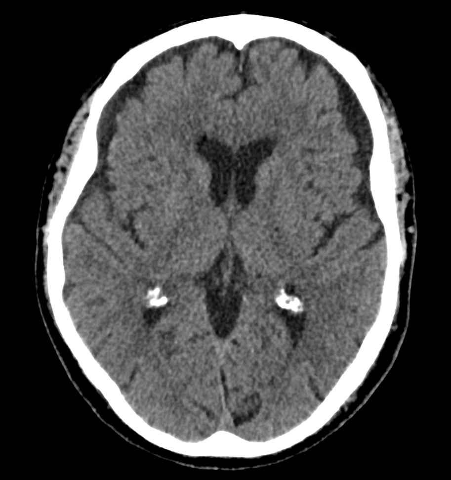
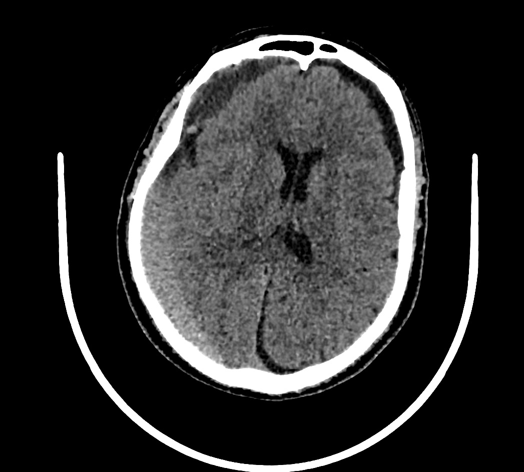
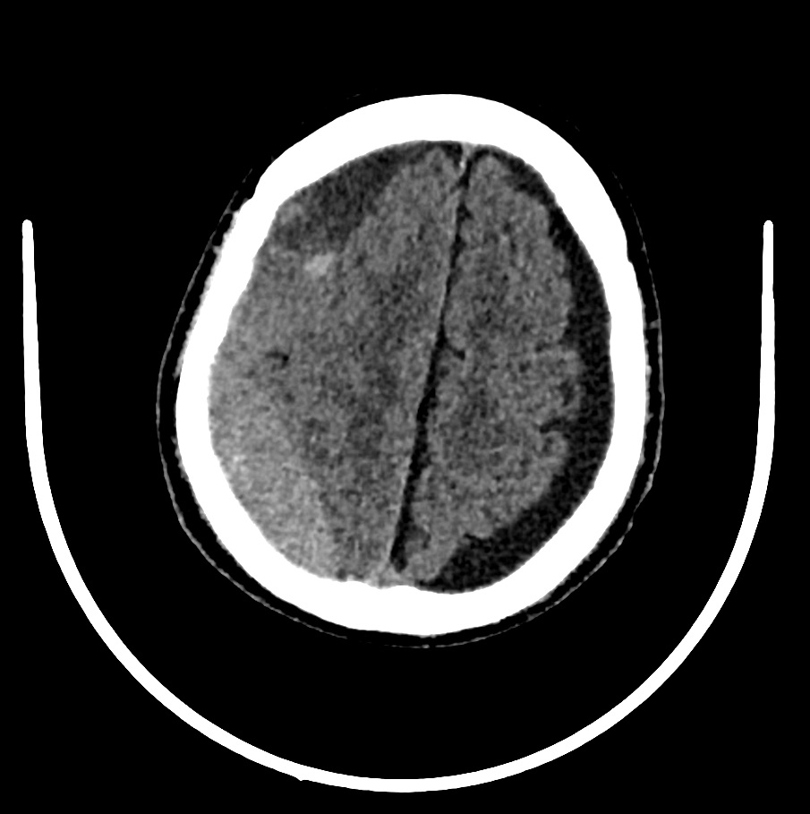
TAC cráneo: Hematoma subdural subagudo-crónico y efecto compresivo con obliteración de surcos frontoparietales.
Enfoque familiar y comunitario: estudio de la familia y la comunidad (si fuese necesario)
Buen soporte familiar.
Juicio clínico, diagnóstico diferencial, identificación de problemas
1. Dada la clínica neurológica del paciente se plantean como diagnósticos:
2. Coxalgia
Tratamiento y planes de actuación.
Evolución
Buena evolución. Paciente con mejoría clínica progresiva. Colaborador.
Sentado en silla y camina de forma espontánea.
Balance motor adecuado 5/5 sin alteraciones.
GCS 15/15 Sin ninguna focalidad.
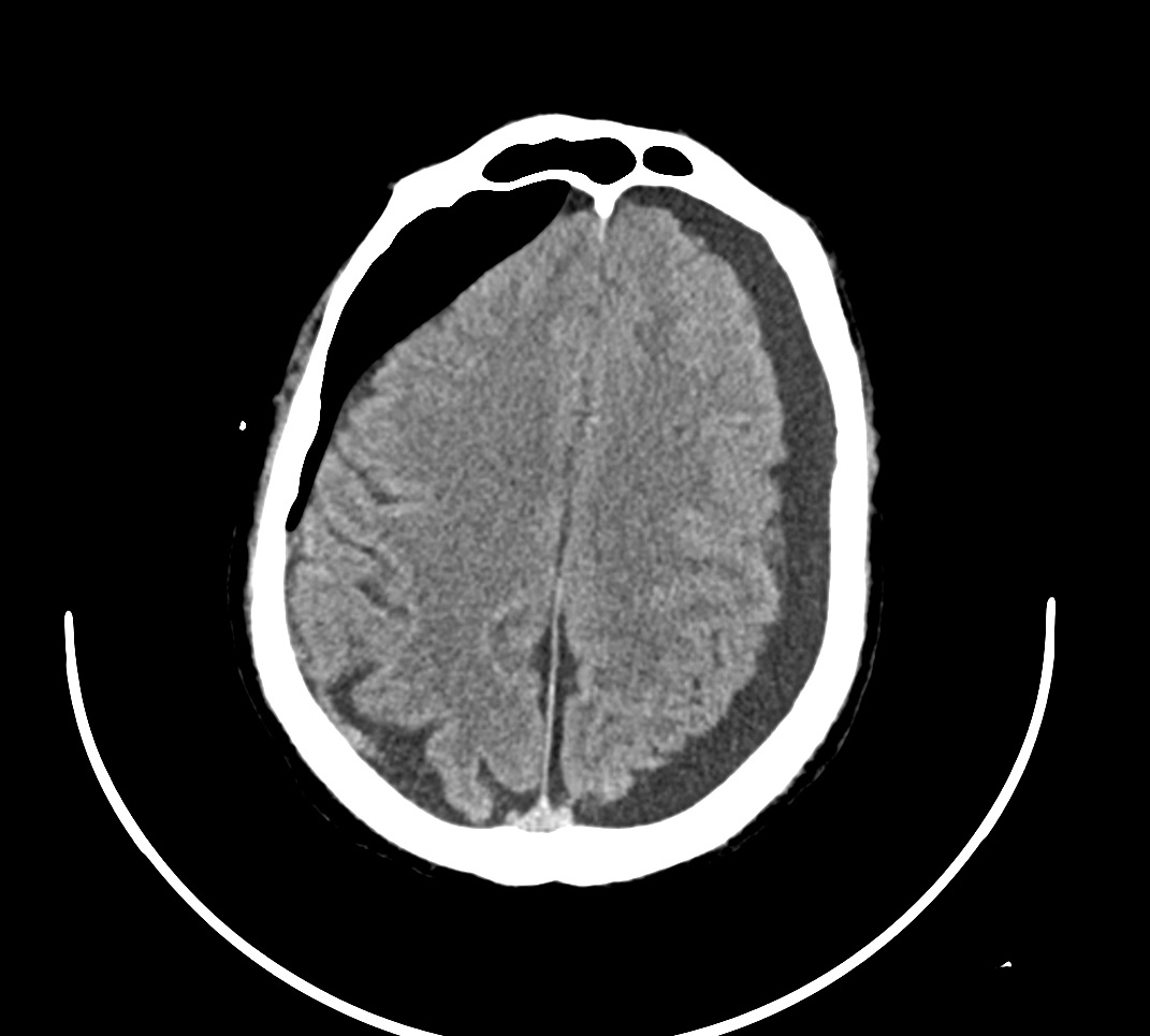
Último TAC de control: Resolución del HSD derecho.
Para la Medicina de Familia, este caso nos resalta la importancia de un seguimiento en los pacientes post TCE para confirmar su buena evolución o detectar precozmente alteraciones neurológicas potencialmente graves.



