5, 6 y 7 de febrero de 2026
Mujer 75 años acude a consulta por cuadro disnea de medianos esfuerzos desde hace 1 mes progresivo. Ligera astenia acompañante achacada a mal descanso nocturno refiere.
Enfoque individual
AP - asma intermitente moderada pero controlada con LAMA+GCI, HTA con ARA-2.
EF: FC 85 Sat 92% TA 142/87 T 36º.
AC rítmica con soplo sistólico II/VI
AP Hipoventilacion campo izdo desde base hasta campos medios y crepitantes en base derecha.
Abdomen blando depresible, algo distendido sin dolor.
Dado ese hallazgo tan anormal, decidimos usar la ecografía pulmonar en consulta.
Hallazgos ecográficos
ECO pulmonar: gran derrame pleural unilateral izdo con «signo de la medusa» presente, cuantificamos 740 ml de liquido pleural.
Asimismo en base derecha, visualizamos múltiples confluencias de líneas B.
Pruebas complementarias
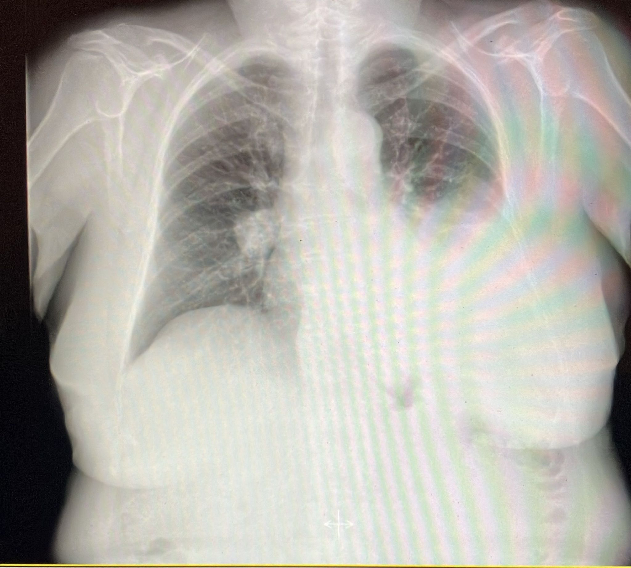
Realizamos RX tórax urgente donde se confirma el derrame pleural unilateral izdo. Derivamos al paciente a urgencias para ingreso a estudio.
Juicio clínico, diagnóstico diferencial, concordancia con el hospital (en su caso)
Durante el ingreso, se completa el estudio con TC toracoabdominal donde se confirma el origen derrame maligno de un linfoma MALT mediastínico.
Tratamiento, planes de actuación
Realizaron una toracocentesis diagnóstica y posteriomente iniciaron tratamiento quimioterápico.
Evolución
Evolución favorable con
Durante la consulta de AP; tenemos muchas presiones externas, vamos con retraso, pero nunca podemos relajarnos en la exploración y dar por alto un hallazgo anormal porque puede ser la clave para la salud del paciente.

