V Jornadas de Ecografía de la semFYC

9 y 10 de febrero de 2024

Comunicaciones: Casos clínicos

De cólico nefrítico a tumor vesical (póster)

Ámbito del caso

Atención Primaria, CUAP.

Motivos de consulta

Antecedente de cólico nefrítico.

Historia clínica

Enfoque individual

Mujer de 52 años sin AMC, fumadora. Profesión: administrativa. Antecedentes: rinoplastia, safenectomía.

Diciembre/2022 consultó en CUAP por dolor cólico en fosa lumbar derecha, sin fiebre ni vegetatismo. Exploración física sin alteraciones. Tira de orina: hematúria, sin nitritos ni leucocituria. Colico nefrítico tratado con analgesia. Reconsultó a los 3 días al añadirse fiebre, con dolor en hipogastrio difuso. Exploración física normal. Tira de orina con leucocitos, nitritos y hematúria: ++++. Cursado urinocultivo (UC) y sedimento. Orientado como Cólico complicado/Pielonefritis, se pauta cefixima y analgesia, con mejoría del cuadro.

UC: E. coli sensible a todos los antibióticos.

A los 6 meses acude a consulta de Atención Primaria por otros motivos. Se aconseja realizar ecografía.

Hallazgos ecográficos

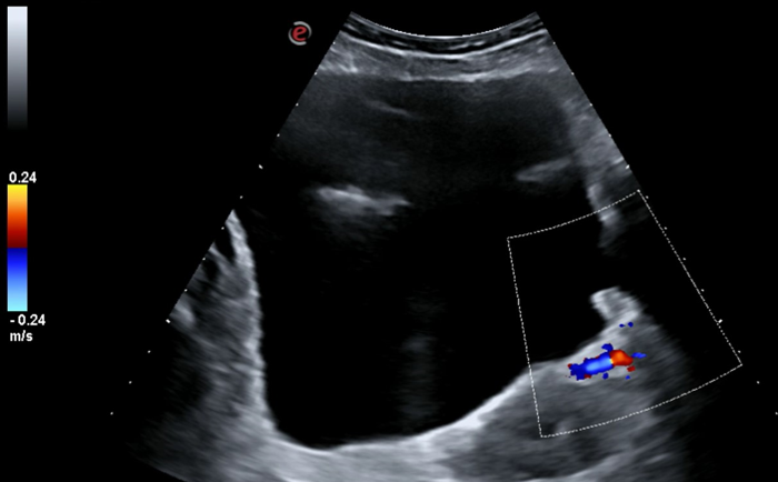
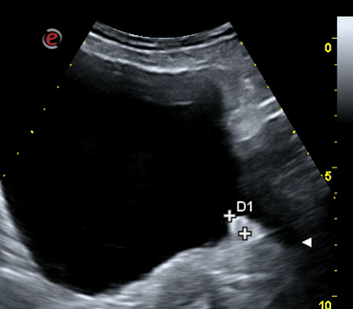
Ecografía renovescal realizada en consulta Atención Primaria: sin alteraciones salvo discreto engrosamiento en pared vesical posterior izquierda, de forma polipoide 9 x 9 mm, no captante de Doppler.

Orientación diagnóstica: sospechamos Tumor vesical.

Pruebas complementarias

Derivamos a Urología.

Otras pruebas, evolución y seguimiento

Citología Negativa.

Citoscopia tumor de 0,5 cm en pared posterior.

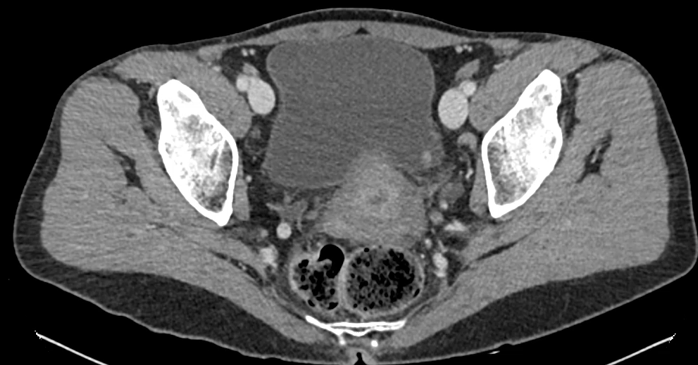
URO-TC solicitado para estudio diagnóstico inicial y por historia de cólico nefrítico sin evidencia de litiasis: Engrosamiento nodular en la pared postero-supero-lateral izquierda de la vejiga urinaria sospechoso de neoplásico de 8 x 5 mm. Ganglios subcentimétricos en región retroperitoneal, territorios ilíacos e inguinales bilaterales, destacando uno borderline (9-10 mm) periaórtico izquierdo, inespecíficos y a controlar evolutivamente.

Juicio clínico, diagnóstico diferencial, identificación de problemas

Tumor vesical.

Tratamiento y planes de actuación

Se realiza RTU de tumor: CU BG pTa único 5 mm.

Interpretación: CU se refiere a la categoría del riesgo (basada en tamaño, grado y profundidad invasiva) en nuestro caso bajo riesgo. BG es la variante histológica (células basales). Y pTa indica que está en la capa más superficial.

Evolución

Control a los 2 meses: asintomática.

Conclusiones (y aplicabilidad para la Medicina de Familia)

Ante un cólico nefrítico es aconsejable realizar una ecografía. La posibilidad de realizar una ecografía de control del cólico nefrítico en Atención Primaria sin larga lista de espera permitió el diagnóstico precoz de la patología de la paciente, antes de que el tumor infiltrara o metastizara.

 


Comunicaciones y ponencias semFYC: 2026; Comunicaciones: Casos clínicos. ISSN: 2339-9333

Autores

González Prieto, Ma Isabel
EAP Ramon Turro 10 B. Barcelona
Ballester Torrens, Mar
EAP Ramon Turro 10 B. Barcelona
Bartolozzi , Elena
EAP Ramon Turro 10 B. Barcelona