5, 6 y 7 de febrero de 2026
Atención Primaria.
Resultado de analítica.
Enfoque individual
Paciente hombre de 65 años, hipertenso, diabético y con antecedente de hiperplasia benigna prostática y fibrilación auricular, anticoagulado, que acude a resultados de analítica pedida de rutina.
Se observa marcada trombocitopenia e hipertransaminasemia, por lo que se dirige la anamnesis del paciente hacia el síndrome constitucional: presenta cuadro de pérdida de peso progresiva (no cuantificada) de meses de evolución, acompañado de malestar general. No astenia, no pérdida de apetito ni sudoración nocturna. Exploración física con marcada esplenomegalia.
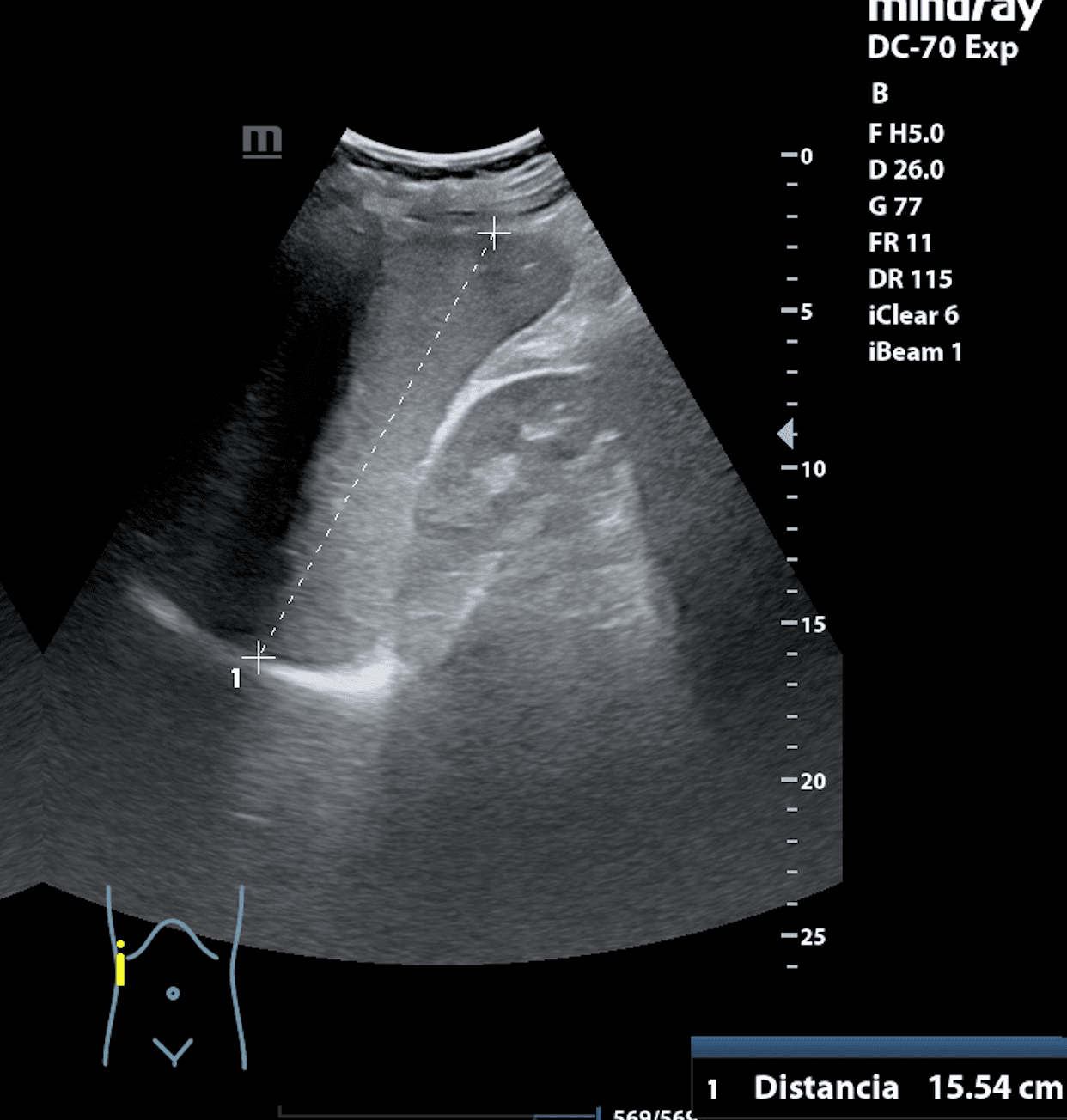
Se decide realizar ecografía abdominal ese mismo día dado que el paciente tiene dificultades por trabajo para acudir a consulta.
Hallazgos ecográficos
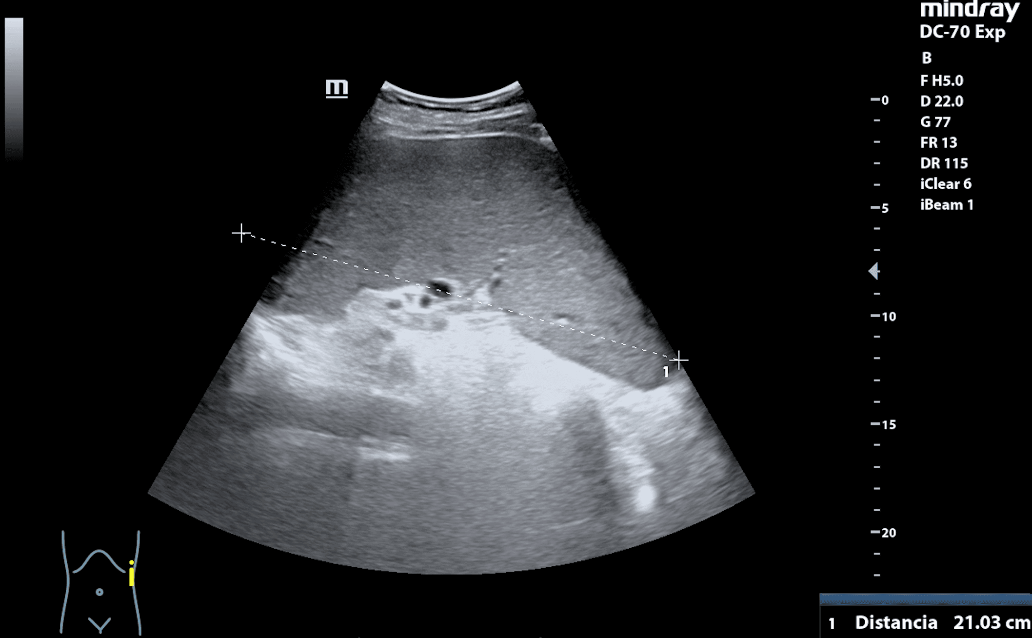
Hepatomegalia y esplenomegalia de 21,03 cm. Adenopatías retroperitoneales.
Pruebas complementarias
Se realiza PET/TAC con hallazgo de adenopatías mediastínicas, retroperitoneales en su mayoría en espacio paracelíaco así como esplenomegalia de 21,7 cm.
Juicio clínico, diagnóstico diferencial, concordancia con el hospital (en su caso)
Ante sospecha de proceso linfoproliferativo se decide derivación a medicina interna para completar estudio. Diagnóstico de linfoma estadio IV.
Tratamiento, planes de actuación
Derivación a medicina interna para completar estudio.
Evolución
Paciente en seguimiento con hematología en el momento actual.
Utilizar la ecografía también como una herramienta que favorece la accesibilidad en pacientes con barreras de acceso al sistema sanitario. Su inmediatez y utilidad para la orientación diagnóstica hizo posible en este caso orientar en un solo día el caso de un paciente de difícil seguimiento.


