5, 6 y 7 de febrero de 2026
Atención Primaria.
Distensión abdominal postingesta.
Enfoque individual
Antecedentes personales: mujer de 71 años con hipotiroidismo primario autoinmune, glucemia basal alterada, hipercolesterolemia, diverticulosis colon izquierdo, histerectomía y anexectomía tras el último parto.
Anamnesis: desde hace un año presenta sensación de hinchazón post pandrial, regurgitación y acidez ocasional; se ha retirado (por iniciativa propia) la lactosa y cree ir mejor. Su padre tenía molestias similares y luego tuvo un cáncer por lo que está preocupada.
Exploración física: abdomen globuloso, blando y depresible, no doloroso, ruidos peristálticos normales, no masas ni megalias palpables.
Solicitamos ecografía como prueba básica para valorar posible patología abdominal estructural.
Hallazgos ecográficos
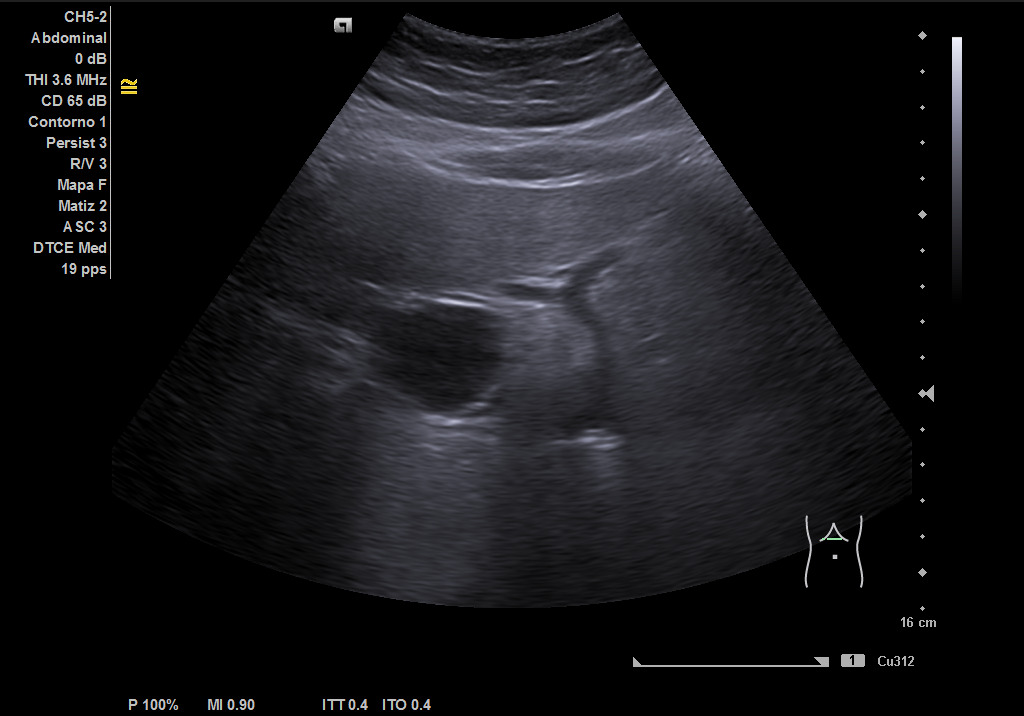
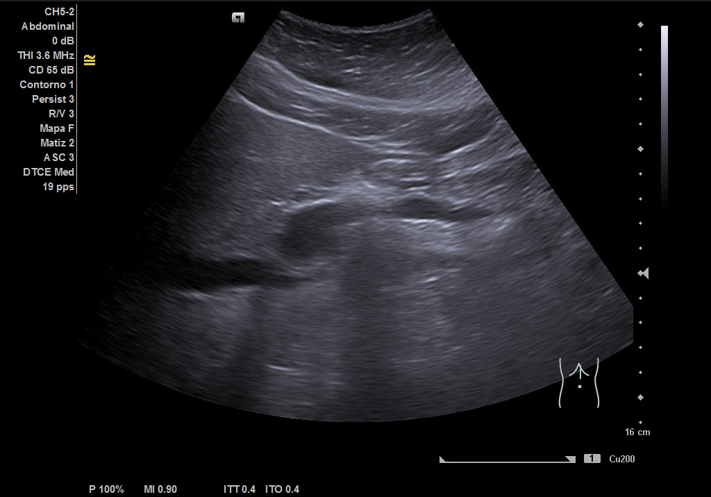
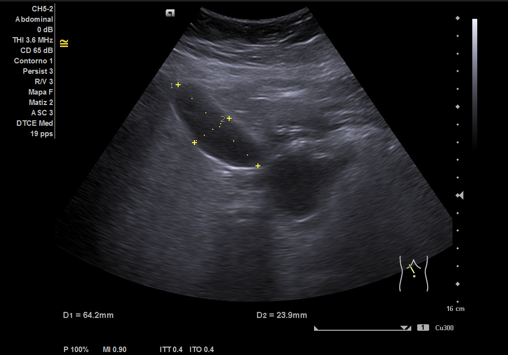
Ecografía clínica: hígado de tamaño y contornos conservados, con aumento difuso de la ecogenicidad, sin presencia de lesiones focales en las porciones visualizadas. Vesícula biliar alitiásica de tamaño y paredes normales. Vía biliar no dilatada. Imagen redondeada de 36,5 mm hipoecoica homogénea que muestra flujo con el Doppler que corresponde con porta extrahepática. Páncreas parcialmente visualizado sin alteraciones valorables. Bazo de tamaño conservado. Ambos riñones normoposicionados, de tamaño y grosor cortical conservados con buena diferenciación corticosinusal. Vejiga replecionada de paredes lisas. No líquido libre intrabdominal. Imagen redondeada de 36,5 mm hipoecoica homogénea que muestra flujo con el Doppler que corresponde con porta extrahepática. Conclusión: esteatosis hepática grado II, imagen redondeada de 36.5mm hipoecoica homogénea que muestra flujo con el Doppler que corresponde con porta extrahepática.
Ecografía: esteatosis hepática moderada e imagen altamente sugestiva de aneurisma de la vena porta extrahepática, permeable y de unos 39 mm aproximadamente.
Pruebas complementarias
Hemograma normal, bioquímica con perfil hepático y renal normales, proteína C reactiva y VSG normales. Helicobater Pylori en heces negativo. Solo Ldl C 146 mg/dl.
Juicio clínico, diagnóstico diferencial, concordancia con el hospital (en su caso)
Aneurisma de vena porta extrahepática.
Tratamiento, planes de actuación
Interconsulta no presencial a Cirugía Cardiovascular (CCV), quienes responden que la valorarán en consulta.
Evolución
Pendiente de valoración por CCV.
La ecografía clínica nos ha servido para detectar un hallazgo muy poco frecuente (el aneurisma de Porta supone un 3% de todos los aneurismas venosos) y cuyo manejo no está claro. Su detección puede contribuir a incrementar el conocimiento sobre el mismo.



