5, 6 y 7 de febrero de 2026
Atención Primaria.
Bulto indoloro en cuero cabelludo.
Enfoque individual
Paciente de 94 años, independiente para las actividades básicas e instrumentales de la vida diaria, con antecedenetes personales de Hipertensión, Diabetes Mellitus tipo 2 y EPOC estable, que acude por aparición brusca y crecimiento acelerado de un bulto indoloro en cuero cabelludo, localizado en región parietal izquierda. La paciente refiere haber sido valorada y drenada previamente en un hospital privado bajo la sospecha de absceso, presentando posteriormente sangrado espontáneo.
A exploración física presenta una lesión blanda, de aproximadamente 3 cm, indolora, sin eritema, sin calor local ni fluctuación, con ulceración central en posible relación con intento previo de drenaje.
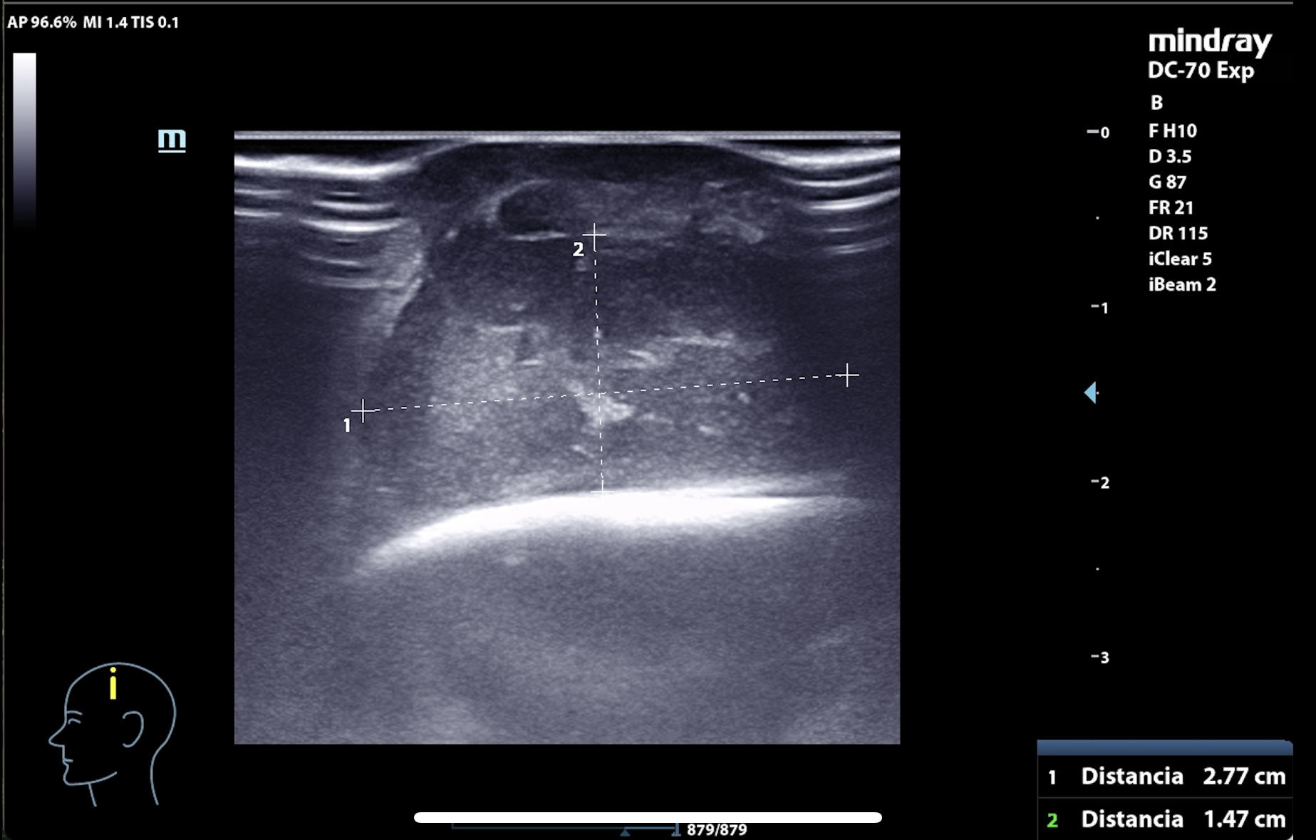
Hallazgos ecográficos
Se realiza en consulta ecografía, donde, para evitar la contaminación, se utiliza una funda estéril con gel conductor en su interior y clorhexidina entre la sonda y el cuero cabelludo como conductor líquido.
La imagen muestra una lesión heterogénea, con bordes netos, pero sin cápsula, microcalcificaciones en su interior y zonas hipoanecogénicas de necrosis líquida interna, así como vascularización interna intensa en Doppler. El patrón sugería proceso infiltrativo, por lo que se priorizó derivación urgente a dermatología.
Pruebas complementarias
Dermatología realizó una biopsia incisional, cuyo resultado en Anatomía Patológica mostró infiltración de la dermis y la hipodermis por un linfoma B difuso de células grandes tipo pierna (CD30 positivo, Ki67 80%). Posteriormente, el PET-TC evidenció una lesión localizada a nivel cutáneo, sin extensión clara a otros territorios ganglionares.
Juicio clínico, diagnóstico diferencial, concordancia con el hospital (en su caso)
Por su rápido crecimiento y aspecto infiltrativo, se consideraron quiste triquilemal proliferante, carcinoma epidermoide, carcinoma de Merkel y lesión linfoproliferativa cutánea. La biopsia confirmó un linfoma B difuso de células grandes, concordante con los hallazgos ecográficos.
Tratamiento, planes de actuación
Hematología valoró el caso y, dado que no era candidata a quimioterapia por edad, se optó por radioterapia local, que la paciente recibió con buena tolerancia.
Evolución
Como resultado, presentó una evolución favorable y mantuvo un buen estado general en los controles posteriores.
La ecografía en Atención Primaria fue decisiva para evitar un nuevo drenaje, reconocer la naturaleza sólida e infiltrativa de la lesión y acelerar el diagnóstico definitivo. Este caso destaca el papel esencial de la ecografía en AP para mejorar la capacidad resolutiva, optimizar derivaciones detectar lesiones malignas que pueden simular abscesos.



