5, 6 y 7 de febrero de 2026
Mujer de 41 años, sin antecedentes médicos de interés ni ingesta de fármacos, acude por dolor en región maleolar externa en pierna izquierda, tras traumatismo perforante con rama de árbol durante paseo por el monte hace 7 días y extracción de restos en domicilio. Valorada hace 4 días en PAC por persistencia de dolor en región. Sin mejoría tras inicio de tratamiento antibiótico y antiinflamatorio. Afebril.
Enfoque individual
No antecedentes personales de interés.
Exploración física: dolor y leve edema con eritema discreto sin rubor en herida de región maleolar externa izquierda. No edema generalizado en miembro, pulsos distales presentes, sensibilidad y fuerza conservadas.
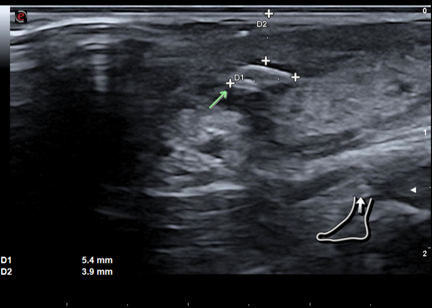
Decido realizar ecografía en cara lateral del tobillo izquierdo.
Hallazgos ecográficos
En la ecografía con sonda lineal, se aprecia material hiperecogénico de 5 mm en diámetro longitudinal en tejido subcutáneo, sin sombra acústica, con reborde anecogénico, a 4 mm de superficie de piel y signos de empedrado en tejido subutáneo. Compatible con cuerpo extraño en tejido subcutáneo con celulitis asociada.
Pruebas complementarias
No.Juicio clínico, diagnóstico diferencial, concordancia con el hospital (en su caso)
Reacción a cuerpo extraño en partes blandas.
Tratamiento, planes de actuación
Tras realización de ecografía se realiza derivación a cirugía general para extracción de cuerpo extraño. Continuar con antibioterapia hasta cita con cirugía.
Evolución
Tras extracción de cuerpo extraño, continuamos el seguimiento. Mala evolución de herida quirúrgica, dehiscencia, esfacelo y leve supuración. Se decide continuar con curas en centro de salud, antibiótico y cierre por segunda intención.
A pesar de tratamiento persistencia de dolor.
Solicito radiografía de tobillo: no se aprecian complicaciones en estructuras óseas.
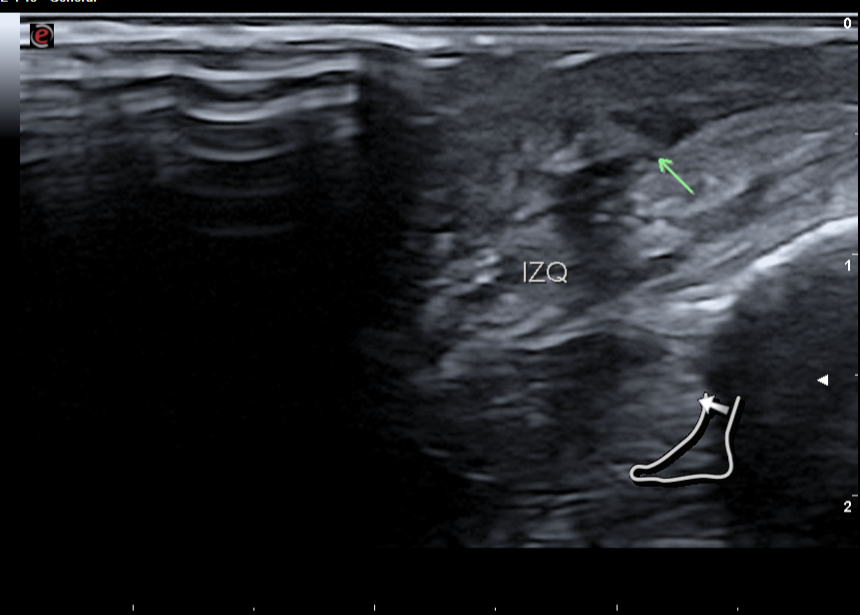
Solicito ecografía reglada tras no mejoría en 1 mes, con curas y cambios en tratamiento antibiótico, donde se aprecia cambios postquirúrgicos sin datos de colecciones y se aprecia posible remanente milimétrico de cuerpo extraño. Nueva derivación a cirugía general para valoración de reintervención.
La reacción a un cuerpo extraño en partes blandas es una entidad habitual, donde la sospecha diagnóstica principal se basa en la historia clínica y la exploración física. En este caso la accesibilidad de la ecografía clínica ha permitido tanto la confirmación del diagnóstico como la agilización de la derivación para la extracción del cuerpo extraño, además de permitir la monitorización y valoración de complicaciones asociadas a la patología.


