5, 6 y 7 de febrero de 2026
Enfoque individual
Hombre de 84 años que acude por disminución del nivel de conciencia, hipotonía y pérdida de esfínteres, acompañado de dolor lumbar y abdominal.
Antecedentes personales: fibrilación auricular, hipertensión, dislipemia, fumador. No toma su medicación.
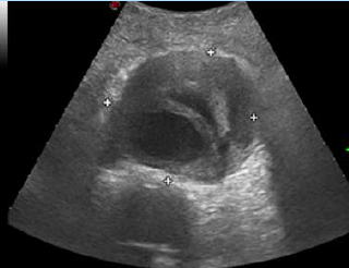
Exploración física: Palidez, sudoración profusa. Tensión arterial 60/45 mmHg, frecuencia cardiaca 140 lpm, saturación 90%, glucemia 104, Afebril. Glasgow 12. Ausculatación normal. Se evita palpación abdominal por sospecha vascular. Se realiza ecografía clínica a pie de cama objetivándose dilatación aneurismática mayor de 5 cm, con imagen hiperecogénica periférica compatible con trombo mural organizado, y luz central anecoica, flujo residual.
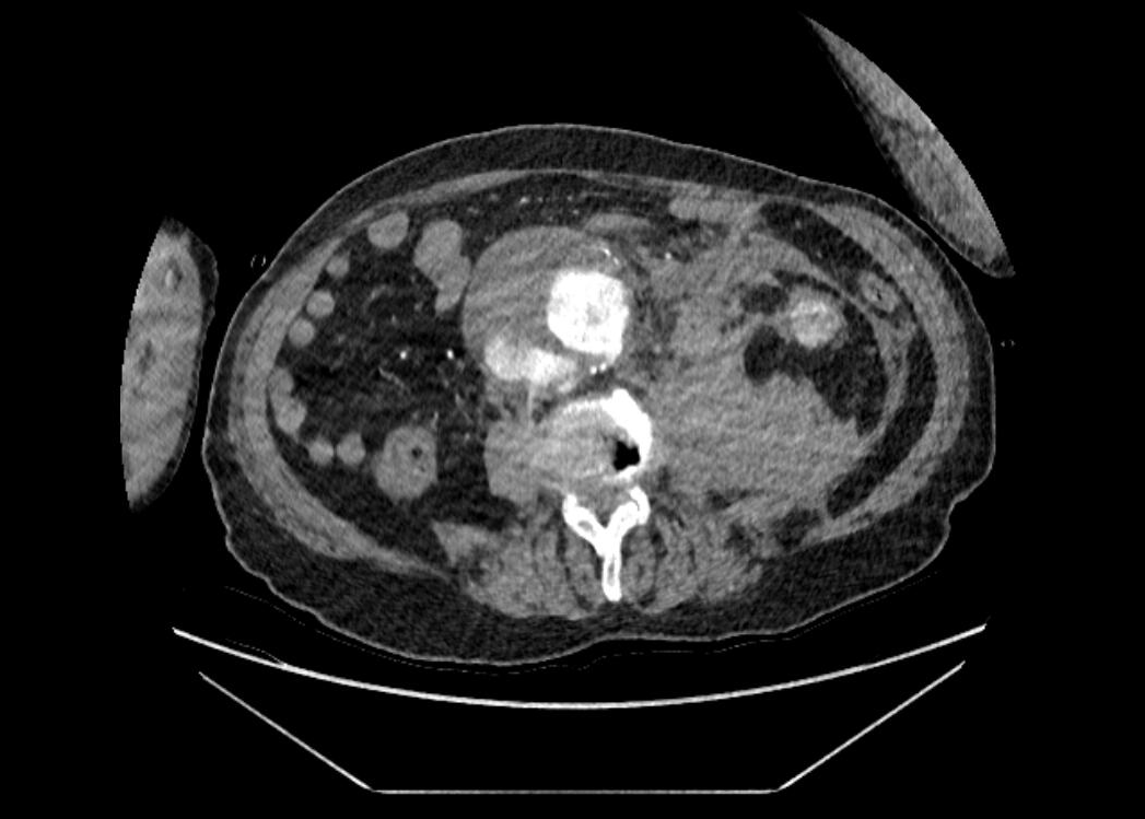
Pruebas complementarias: TC toracoabdominal: extenso hematoma retroperitoneal secundario a rotura de aneurisma de aorta abdominal infrarrenal (AAA) de 8,1 cm con extensión craneocaudal de 10 cm con trombo mural.
Enfoque familiar y comunitario
El paciente procede de una zona rural, con controles médicos irregulares y marcada falta de adherencia al tratamiento.
Juicio clínico, diagnóstico diferencial, identificación de problemas
Juicio clínico: Rotura aneurisma de aorta abdominal (infrarrenal).
Diagnósticos diferenciales: disección aórtica, hemorragia digestiva, hematoma retroperitoneal por anticoagulación, infarto agudo, arritmia, shock séptico.
Tratamiento y planes de actuación
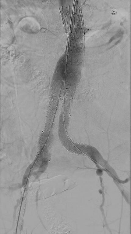
Se contacta con UCI iniciando protocolo de transfusión masiva y drogas vasoactivas y se traslada a Hospital de referencia para tratamiento definitivo por cirugía vascular, colocándose una endoprótesis.
Evolución
Evolución favorable en UCI, dado de alta con ajuste de tratamiento y educación sanitaria.
El diagnóstico precoz y la actuación inmediata en patologías tiempo-dependientes son fundamentales para mejorar la supervivencia. En este contexto, la ecografía clínica a pie de cama adquiere un papel esencial, al permitir identificar de forma rápida hallazgos compatibles con dilatación aórtica o sospecha de rotura. Se denomina aneurisma a la dilatación arterial superior al 50% de su diámetro, siendo el aneurisma de aorta abdominal infrarrenal el más frecuente, especialmente en varones mayores de 65 años. Puede presentarse como dolor lumbar o abdominal brusco, simulando lumbociatalgia o cólico nefrítico. La rotura alcanza mortalidades del 80–90%. El manejo depende del tamaño y la clínica, destacando en Atención Primaria el control de factores de riesgo y la mejora de la adherencia terapéutica.


