5, 6 y 7 de febrero de 2026
Urgencias hospitalarias.
Dolor lumbar izquierdo.
Enfoque individual
Hombre de 35 años que acude al Servicio de Urgencias por dolor lumbar izquierdo irradiado hacia el abdomen con náuseas sin vómitos de horas de evolución. No diarrea. Afebril. Refiere que el dolor no cede a pesar de tratamiento con metamizol magnésico.
Antecedentes personales: fumador de 40 cigarros al día, no hipertensión arterial, no diabetes mellitus, no dislipemia. No alergias medicamentosas conocidas.
Exploración física: Regular estado general, normocoloreado, normohidratado, eupneico en reposo. Tensión arterial: 142/88 mmHg, Frecuencia cardíaca 78 latidos por minuto, SatO₂ 98%, Temperatura 36,8 °C. Puñopercusión renal izquierda positiva. Abdomen blando y depresible, no signos de irritación peritoneal. Dolor a la palpación en fosa ilíaca izquierda.
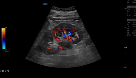
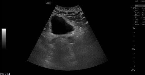
Pruebas complementarias:
Juicio clínico, diagnóstico diferencial, identificación de problemas
Ureterohidronefrosis grado I-II izquierda secundaria a litiasis en el uréter distal.
Tratamiento y planes de actuación
Tratamiento en urgencias: analgesia intravenosa (dexketoprofeno y tramadol), antihemético (ondansetron).
Tratamiento al alta: Buena hidratación, ciprofloxacino, dexketoprofeno y metamizol magnésico, escalar a tramadol si necesario, tamsulosina.
Evolución
El paciente se encuentra clínica y hemodinámicamente estable por lo que se decide alta a domicilio. Indicación de volver a urgencias si aparece fiebre, dolor incoercible o anuria.
La ecografía se ha vuelto una herramienta clave en urgencias para valorar a los pacientes con posible cólico renal. Aunque no siempre permite ver todos los cálculos de forma directa, sí ofrece información muy útil: muestra si hay hidronefrosis, permite intuir si existe una obstrucción importante y ayuda a detectar situaciones que podrían complicar el cuadro, como una infección asociada. Su rapidez, disponibilidad y el hecho de no usar radiación la convierten en la primera prueba ideal.

