5, 6 y 7 de febrero de 2026
Enfoque individual
HTA en tratamiento
ECO cardio al alta con VI no dilatado, FEVI 50%, hipocinesia septal, apical, y anteroseptal, IT moderada y probabilidad intermedia de HTP.
En los 2 meses previos a la visita refiere astenia y disnea a moderados esfuerzos, sin ortopnea, DPN ni edemas.
Su médico de cabecera le solicita analítica donde destaca alteración de los enzimas hepáticos de nueva aparición, y lo cita para hacer una ecografía abdominal.
Justo antes de realizar la ecografía el paciente explica un aumento del volumen abdominal, progresivo de 1 semana de evolución.
Hallazgos ecográficos
Exploración física:
TA 129/82, Sat O2 97%, FC 75x’, FR 24x’.
Abd: globuloso, con semiología de ascitis.
AC: rítmico, sin soplos, con ingurgitación yugular.
AR: MVC, con crepitantes bibasales.
Edemas maleolares en 1/3 inf de ambos miembros inferiores.
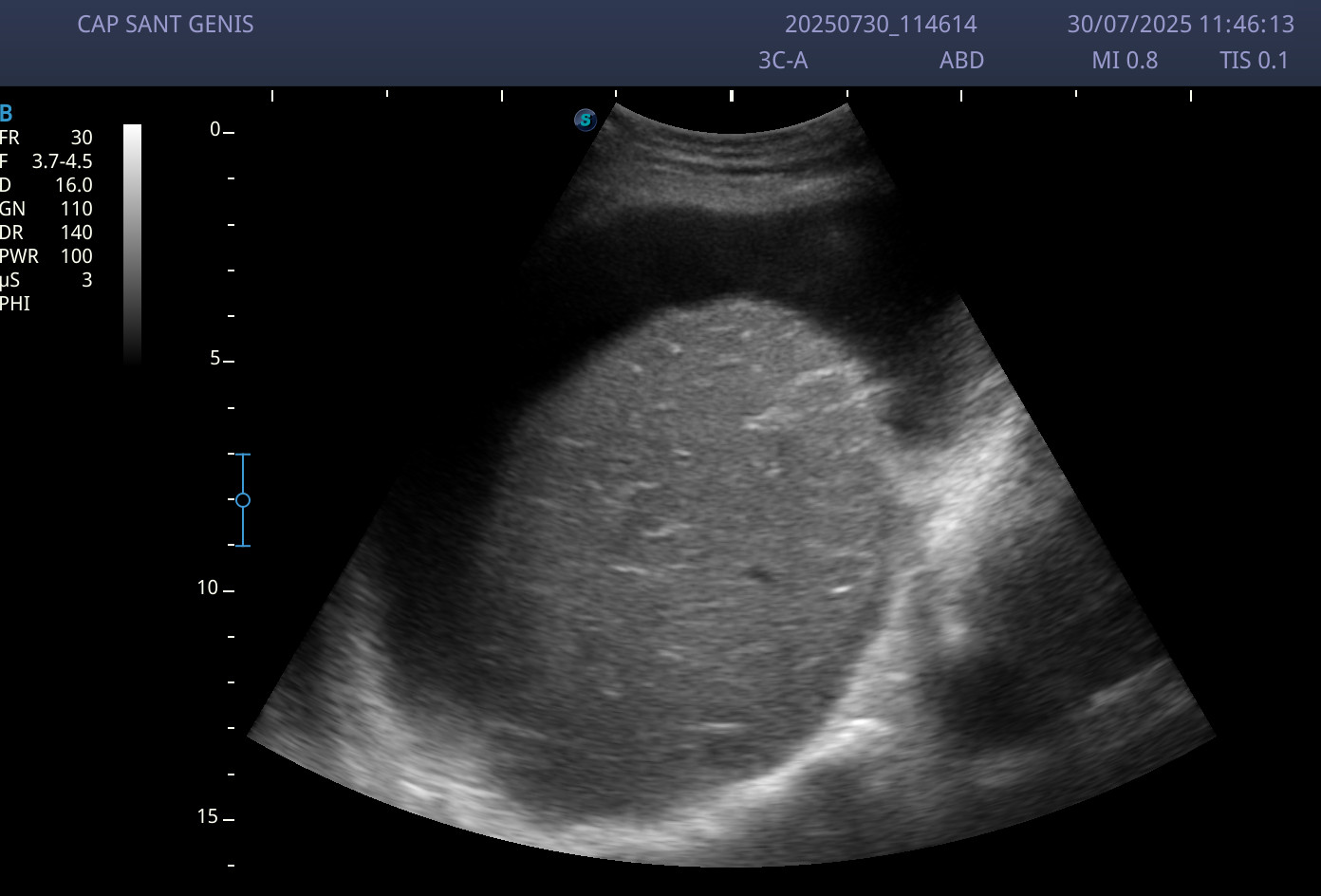
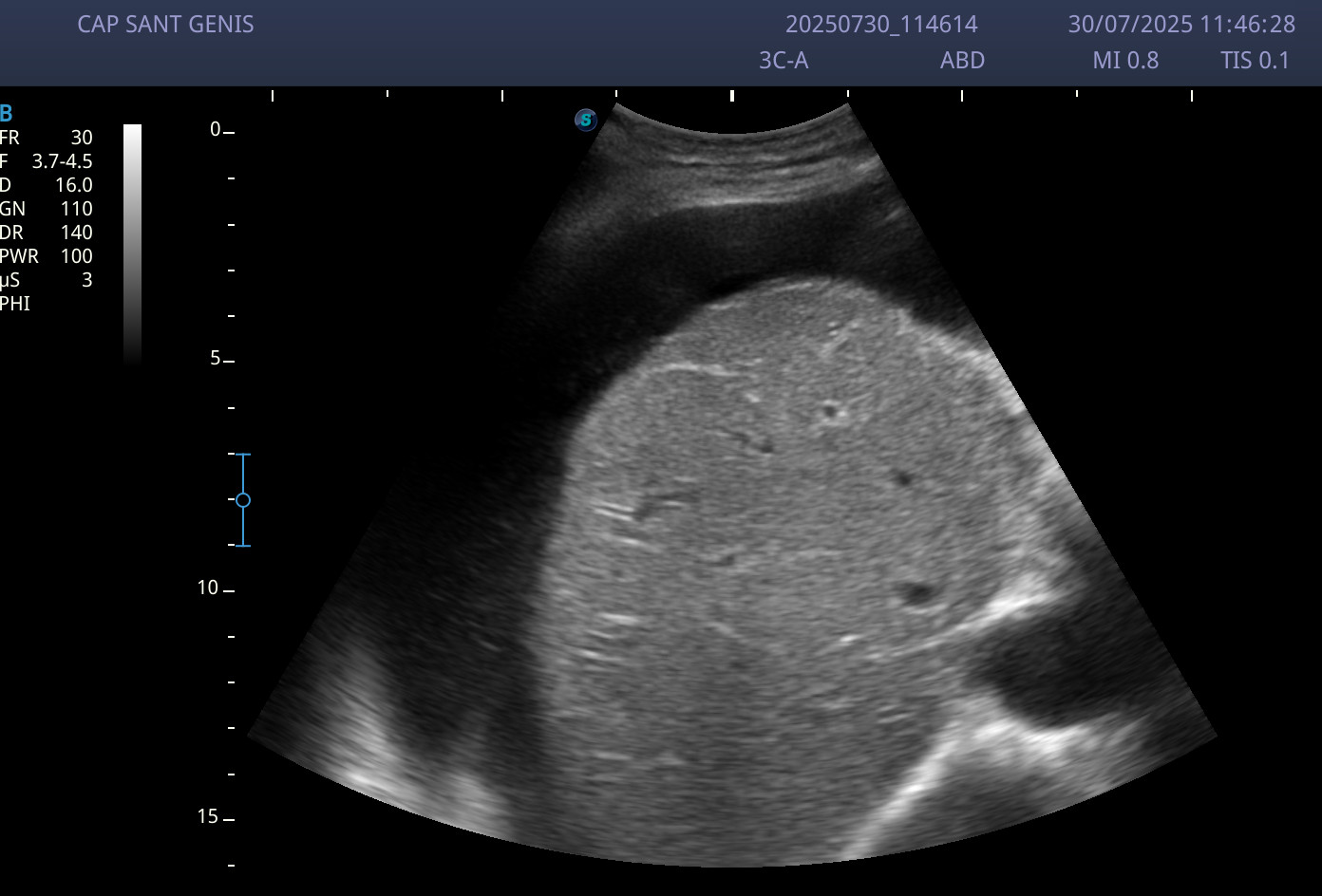
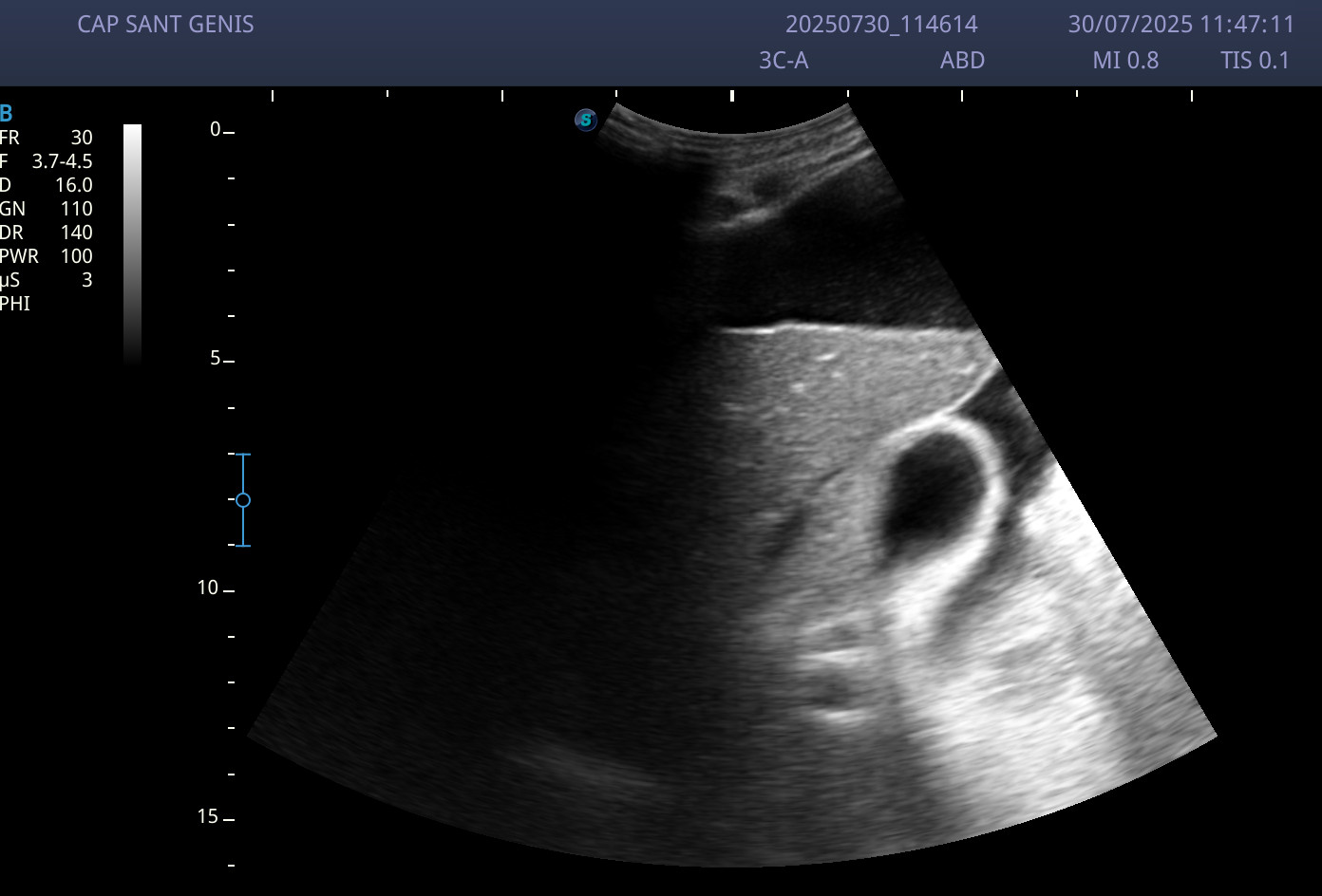
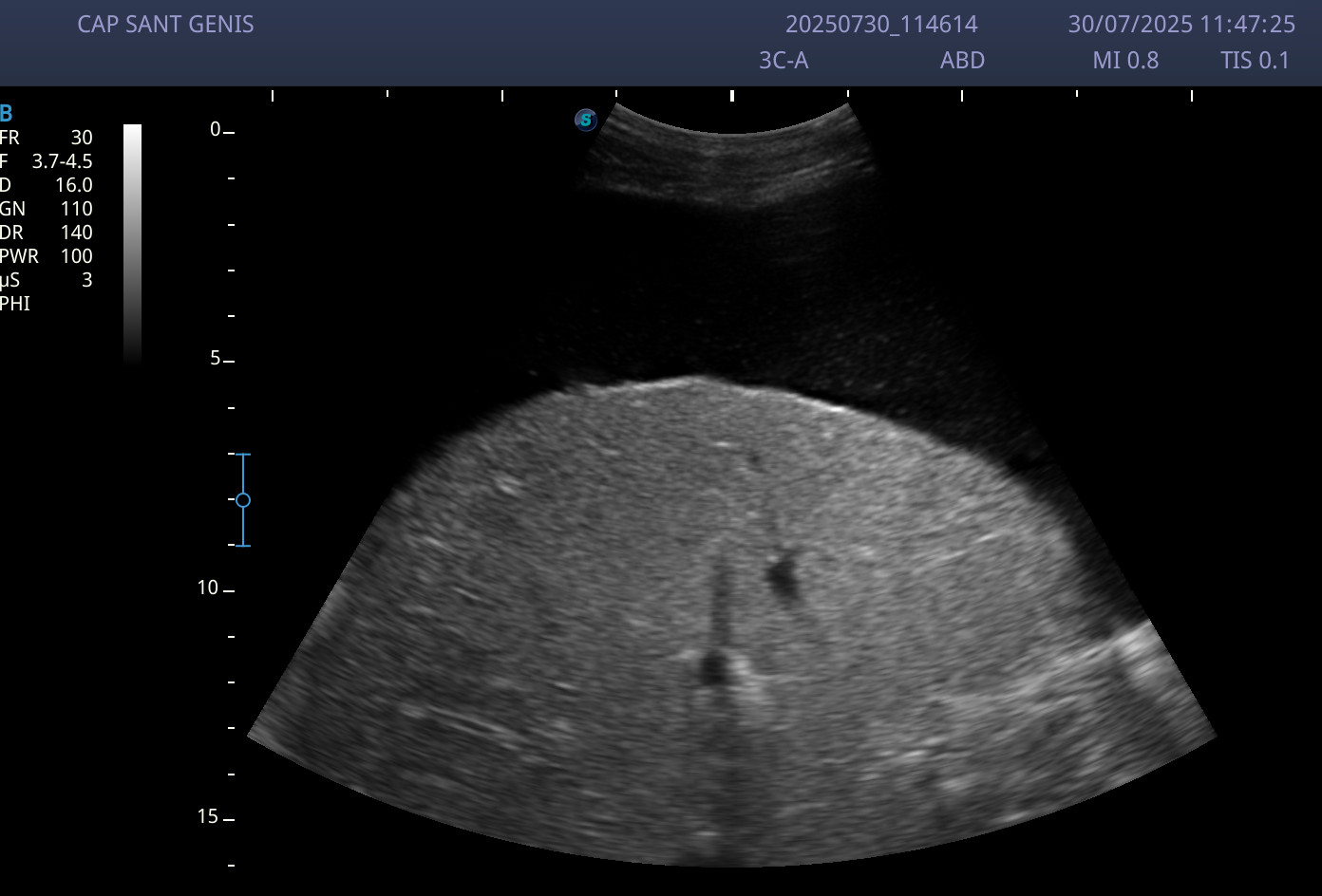
Ecografía abdominal: abundante ascitis perivisceral, y sobre todo a nivel perihepático.
Pruebas complementarias
En urgencias hospitalarias: pro-BNP 2144.
Rx tórax: Cardiomegália y derrame pleural D.
Juicio clínico, diagnóstico diferencial, concordancia con el hospital (en su caso)
Ante la sospecha de ascitis secundaria a insuficiencia cardíaca congestiva se deriva al paciente a urgencias hospitalarias.
Ante los hallazgos ecográficos, y el resto de exploraciones complementarias ingresa con el diagnóstico de Insuficiencia cardíaca descompensada.
Tratamiento, planes de actuación
Ante los hallazgos ecográficos, y el resto de exploraciones complementarias ingresa con el diagnóstico de Insuficiencia cardíaca descompensada.
Evolución
El paciente requirió ingreso para efectuar tratamiento deplectivo, y reajustar la medicación.
Se trata de un paciente, que aunque tenía historia de patología cardíaca, presentó una clínica que en principio, parecía más de etiología abdominal, y la ecografía resultó clave para reorientar el origen de cuadro que presentaba el paciente.



