5, 6 y 7 de febrero de 2026
Atención Primaria, Urgencias.
Dolor e inflamación en pierna derecha postraumático; posteriormente, dolor pleurítico.
Enfoque individual
Hombre de 61 años, hipertenso. Consulta por dolor e inflamación en MID tras caída. A la exploración: tumefacción gemelar y calor local. Se realiza ecografía que descarta TVP y muestra rotura fibrilar en músculo sóleo con hematoma intramuscular de 3 cm. Se pauta tratamiento conservador y control evolutivo. Dos semanas después consulta por dolor pleurítico izquierdo sin fiebre ni disnea. A la auscultación: disminución del murmullo vesicular basal. Realizamos ecoscopia que revela derrame pleural moderado, lo que motiva primera derivación a Urgencias para descartar complicación respiratoria.
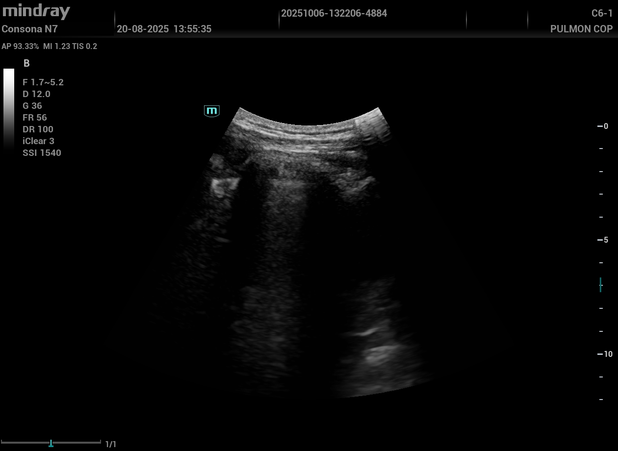
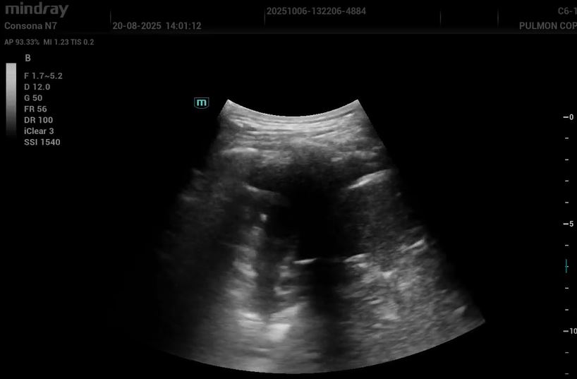
Hallazgos ecográficos
Eco pulmonar: colección anecoica con pérdida parcial del deslizamiento; compatible con derrame pleural de cuantía moderada.
Pruebas complementarias
En la primera visita hospitalaria, Rx tórax: infiltrado basal izquierdo y derrame pleural; diagnóstico de neumonía y alta con antibiótico.
A los pocos días, ante persistencia del dolor pleurítico, el paciente acude de nuevo. Se decide ampliar estudio con Dímero D (solicitado en AP): 2,1 mg/L.
Ante el resultado y los antecedentes de inmovilización, se realiza segunda derivación a Urgencias con sospecha de TEP.
En Urgencias se realiza Angio-TAC que muestra trombos segmentarios/subsegmentarios en LSD y derrame pleural moderado.
Juicio clínico, diagnóstico diferencial, concordancia con el hospital (en su caso)
Embolia pulmonar aguda en contexto de inmovilización por desgarro muscular +/- Neumonía adquirida en comunidad en LII asociada a derrame pleural ipsilateral en resolución +/- infarto pulmonar asociado.
Diagnóstico diferencial: neumonía con derrame paraneumónico, derrame postraumático o neoplásico.
Alta concordancia con la sospecha generada desde Atención Primaria gracias al uso de la ecografía y al Dímero D solicitado.
Tratamiento, planes de actuación
Inicialmente, diagnóstico ecográfico de rotura fibrilar, manejo conservador. Posteriormente, ante dolor pleurítico y hallazgo ecográfico de derrame, primera derivación a Urgencias. Tras persistencia clínica, solicitud de Dímero D y segunda derivación como sospecha de TEP. Ingresa a cargo de Neumología iniciando anticoagulación con enoxaparina.
Evolución
Evolución favorable durante ingreso. Alta domiciliaria con anticoagulación oral y seguimiento en Neumología.
Este caso demuestra que la ecografía en Atención Primaria no solo orienta, sino que cambia el destino del paciente, aportando seguridad y eficiencia al acto clínico. La ecografía transforma la exploración en evidencia, y la sospecha en certeza, pudiendo detectar lo grave antes de que sea urgente.


