X Jornadas de Actualización en Medicina de Urgencias y VI Jornadas de Ecografía de la semFYC
6-7-8 de febrero de 2025
Mujer de 54 años. Acude a urgencias del hospital por dolor abdominal de varios días de evolución en progresión. Presentaba una distensión abdominal, ascitis, edema y tumefacción de EEII desde hace 1 mes.
Enfoque individual: antecedentes personales, anamnesis, exploración, pruebas complementarias, etc.
Acudió a CAM por distensión abdominal. En Eco nivel IV: útero normal. Ovario derecho normal. Ovario izquierdo: Lesión sólida mal delimitada de límites irregulares y vascularización escasa (score 1/4) de dudosa dependencia de 28 x 19 x 25 mm. Ascitis moderada hasta cúpulas diafragmáticas.
Enfoque familiar y comunitario: estudio de la familia y la comunidad (si fuese necesario)
Se le realizó un TC toracoabdominal unos días antes: Lesión sólida del anejo izquierdo con moderada cantidad de ascitis y derrame pleural derecho. Importante derrame pericárdico que condiciona estasis hepático. Aumento de densidad de morfología alargada adyacente a los segmentos VI-VII que podría corresponder a implante. Pequeñas adenopatías retroperitoneales.
Juicio clínico, diagnóstico diferencial, identificación de problemas
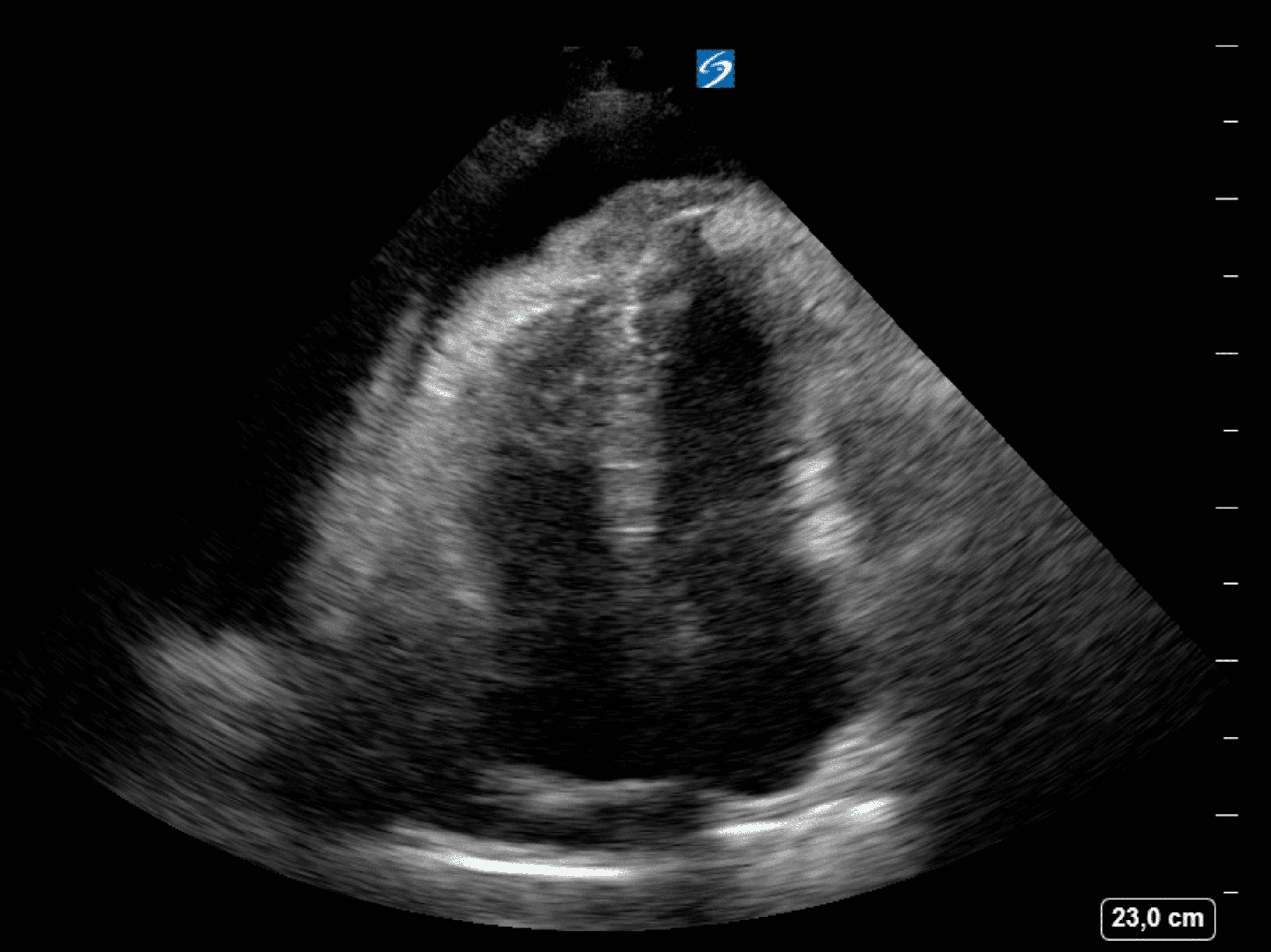
Se canaliza vía periférica para extracción de AS (x4), se administra SSF 500 ml iv. En urgencias se realiza un ecocardiograma EcoTT donde se visualiza un derrame pericárdico masivo, de hasta 6 cm a nivel inferior, circunferencial y con fibrina/implante a nivel del pericardio. Datos de colapso de cavidades derechas, swinning heart, variación de flujo transmitral 40% y TT 50%. VC dilatados, con colapso disminuido. Función biventricular normal.
ECG: sinusal RX: Cardiomegalia, senos costofrénicos libres, sin infiltrados ni condensaciones.
Realizada IC a Cardiología.
Tratamiento y planes de actuación.
Deciden ingreso en Observación para pericardiocentesis evacuadora programada en UCC el día 6/10/2022.
Valorado por INP a Cardiologia, se solicita ETT y consulta en cardiooncologia.
Evolución
Debido a los resultados de las imágenes y la posibilidad de repetición y recidiva del derrame así como la falta de diagnóstico de la enfermedad subyacente se decide ingreso en MI para completar estudio y vigilancia sintomática.
La relevancia de la Ecografía clínica en los servicios de Urgencia para realizar diagnósticos de un modo rápido y más acertado se está imponiendo con fuerza en los últimos años.
La realización de difusión de protocolos dirigidos en el servicio es necesaria por la importancia de una homogenización de esta herramienta en el personal de un servicio de Urgencias.
Con este caso queremos mostrar la importancia de las ecografías seriadas para ofrecer un diagnóstico clínico evolutivo y un pronóstico más acertado.
