V Jornadas de Ecografía de la semFYC

9 y 10 de febrero de 2024

Comunicaciones: Casos clínicos

Descubrimiento de origen de pancreatitis por ecografía (póster)

Ámbito del caso

Atención Primaria

Motivos de consulta

Dolor abdominal. 

Historia clínica

Enfoque individual

Varón de 71 años, que sufrió 2 episodios de pancreatitis aguda idiopáticas hace más de 20 años. Padece reflujo-gastroesofágico (ERGE) tratado con Omeprazol. Acude a consulta día 12/05/2023 por dolor intenso desde hace 24 horas, en hipocondrio izquierdo e irradiado hacia epigastrio y espalda, sin náuseas, vómitos ni fiebre. Exploración: Normohidratado con leve ictericia mucocutánea; abdomen blando, doloroso a la palpación en epigastrio/flanco izquierdo, sin signos de irritación peritoneal. Resto de exploración normal.

Hallazgos ecográficos

  • Ecografía-abdominal (15/05): Vesícula de paredes finas sin contenido. Resto normal.
  • Ecografía clínica-AP (31/05): páncreas poco visible, hiperecoico, no delimitado; porta de 9 mm con vía biliar ligeramente dilatada (3,9 mm), vesícula con barro biliar, paredes finas.
  • Ecografía-abdominal (25/08): Leve dilatación de vía biliar intra y extrahepática, con colédoco de hasta 9 mm. Colelitiasis y barro biliar sin colecistitis.

Pruebas complementarias

  • Analítica (12/05): Bilirrubina total (BT) 2.18 (directa 1.43, indirecta 0.75), GPT 204, GOT 192, GGT 433, FA 218, Amilasa 507, PCR 0.29, leucocitos 12.720 (neutrófilos 11.880). 
  • Analítica (04/06): BT 5.59 (directa 5.31, indirecta 0.28), GPT 335, Amilasa 539, PCR 7.85, leucocitos 11.240 (neutrófilos 10.630). 
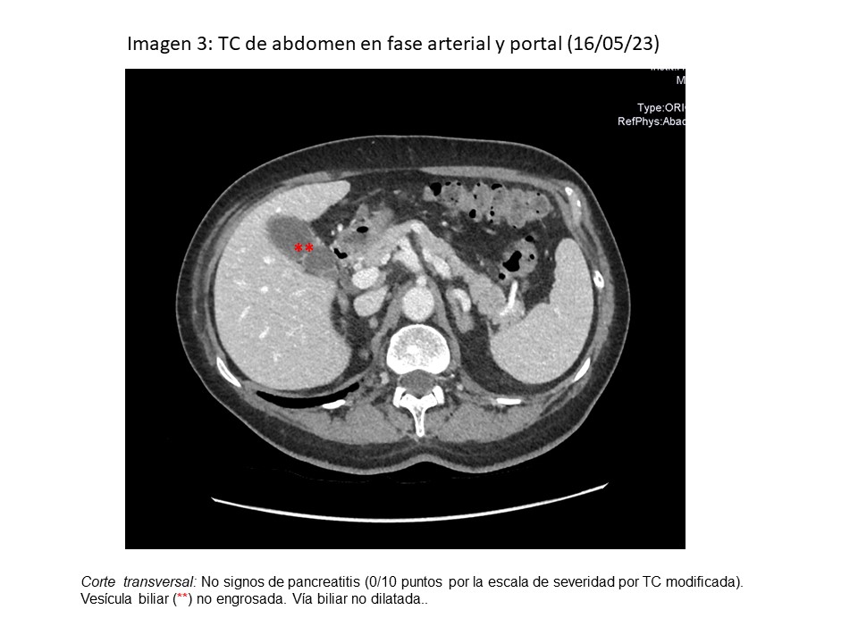
  • TC abdomen en fase arterial-portal (16/05): normal.
  • TC abdominopélvico (4/06/2023): dilatación de vía biliar intra y extrahepática, por litiasis.

Juicio clínico, diagnóstico diferencial, identificación de problemas

Pancreatitis aguda de origen biliar.
Diagnóstico diferencial: epigastralgia por ERGE/cólico biliar.

Tratamiento y planes de actuación

Se deriva a urgencias hospitalarias indicando ingreso, ante hallazgos descritos, iniciándose analgesia y dieta absoluta, con buena evolución clínica. Se cataloga como pancreatitis biliar ante las alteraciones analíticas, solicitándose ecoendoscopia para completar estudio.

Evolución

En los siguientes 4 meses, consulta repetidamente por episodios similares con ictericia más evidente y en ocasiones Murphy dudoso. Analíticamente: aumento progresivo de enzimas hepáticas e hiperbilirrubinemia directa. En las pruebas de imagen, comienzan a visualizarse alteraciones en vía biliar, sin datos de colecistitis aguda. Se decide realizar colecistectomía programada, con evolución satisfactoria.

Conclusiones (y aplicabilidad para la Medicina de Familia)

En este caso, el paciente padeció pancreatitis idiopáticas, debido a que el estudio etiológico no mostró alteraciones, incluso el TC previo fue normal. Sin embargo, en los episodios últimos se logró identificar la causa, siendo de origen biliar, gracias a la realización de una ecografía en el punto de atención (eco-POCUS), efectuada durante la consulta. Por tanto, la ecografía nos permite orientar el diagnóstico del episodio clínico en el momento de mayor sintomatología, situación que podemos evidenciar en Atención Primaria.

 

 
 
 

Comunicaciones y ponencias semFYC: 2026; Comunicaciones: Casos clínicos. ISSN: 2339-9333

Autores

Farah-Addine Farah-Addine, Hasna
CS San Antón. Cartagena
Pascual Martínez-Fresneda, Macarena
CS San Antón. Cartagena
Muñoz Ureña, Alfonso Miguel
CS San Antón. Cartagena