5, 6 y 7 de febrero de 2026
Caso atendido en un servicio de Urgencias hospitalarias, con continuidad asistencial desde Atención Primaria.
Dolor abdominal persistente en hemiabdomen inferior y fosa ilíaca izquierda.
Enfoque individual
Hombre de 53 años, sin alergias conocidas ni antecedentes relevantes salvo episodio previo de colitis infecciosa. Consulta por dolor continuo en flanco izquierdo e hipogastrio, febrícula aislada y malestar general, sin diarrea ni vómitos recientes. A la exploración presenta buen estado general, constantes normales y abdomen blando pero doloroso en hipogastrio y fosa ilíaca izquierda, con signos de irritación peritoneal localizada.
Analítica con leucocitosis (22.500/µL; 84% neutrófilos) y proteína C reactiva 18,7 mg/l.
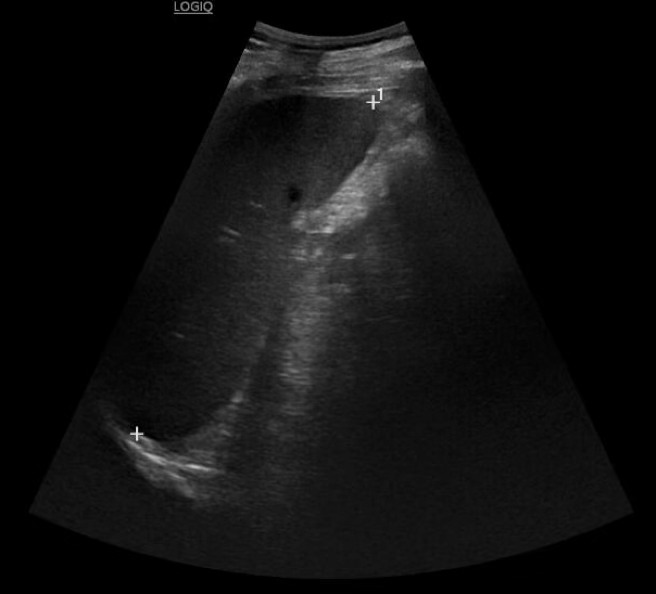
La ecografía abdominal urgente muestra engrosamiento parietal del colon descendente-sigma-recto, aumento de ecogenicidad de la grasa pericólica e hiperemia, compatibles con colitis izquierda.
Se realiza tomografía computarizada abdominal con contraste, identificando un absceso pericólico de 2,8×5,7 cm en sigma, cambios inflamatorios mesentéricos y signos sugestivos de pileflebitis.
Enfoque familiar y comunitario
Sin condicionantes familiares o sociales relevantes. Adecuada capacidad de autocuidado. Se refuerza educación en signos de alarma y necesidad de seguimiento desde Atención Primaria.
Juicio clínico, diagnóstico diferencial, identificación de problemas
Diagnóstico orientado inicialmente a colitis infecciosa complicada o diverticulitis aguda. Se consideran menos probables otras etiologías como colitis inflamatoria, neoplasia, isquemia o apendagitis epiploica por la evolución clínica y los hallazgos ecográficos y radiológicos.
Problemas principales: absceso pericólico, pileflebitis y riesgo de progresión séptica.
Tratamiento y planes de actuación
Ingreso para antibioterapia de amplio espectro, monitorización analítica y valoración para drenaje radiológico o punción-aspiración con obtención de cultivo.
Evolución
Estabilidad hemodinámica y mejoría clínica inicial, pendiente de drenaje guiado y controles evolutivos mediante imagen.
La ecografía abdominal urgente permitió identificar precozmente un proceso inflamatorio colónico, orientar el diagnóstico diferencial y priorizar la realización rápida de tomografía, detectando una complicación abscesificada. Este caso destaca el valor de la ecografía en Medicina de Familia como herramienta accesible, resolutiva y clave para mejorar la seguridad, optimizar derivaciones y reducir tiempos asistenciales.



