5, 6 y 7 de febrero de 2026
Atención Primaria.
Revisión de resultados de resonancia magnética cervical solicitada para estudio de cervicalgia mecánica.
Enfoque individual
Mujer de 18 años sin antecedentes personales de interés que acude para valorar la RM columna cervical realizada el 17/08/2025. El estudio es normal, pero identifica de forma incidental un nódulo heterogéneo en el lóbulo tiroideo derecho de 18×17 mm asociado a ganglios laterocervicales, recomendando correlación ecográfica. En la exploración física no se aprecia bocio, aunque se palpa nódulo en lóbulo derecho. Analítica previa con TSH 1,69 mUI/L. Se informa a la paciente de los hallazgos y se realiza ecografía tiroidea a pie de cama.
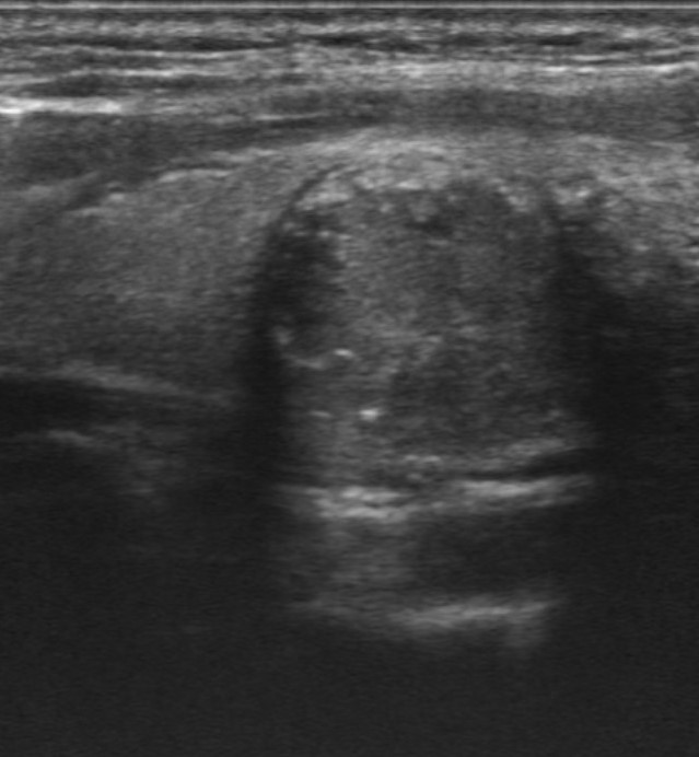
Hallazgos ecográficos
Nódulo de 16,9×15,1 mm, sólido, hipoecoico, de bordes mal definidos, más alto que ancho y con microfocos ecogénicos y calcificación periférica en anillo. Se clasifica como TIRADS 5, altamente sospechoso de malignidad e indicativo de PAAF al superar los 10 mm.
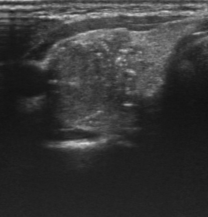
Pruebas complementarias
Ecografía reglada el 06/10/2025 confirma nódulo hipoecoico bien delimitado con septos refringentes. Se realiza PAAF el 09/10/2025. Citología del 16/10/2025: frotis hipercelular con pseudopapilas, núcleos irregulares y pseudoinclusiones, compatible con carcinoma papilar (Bethesda V).
Juicio clínico, diagnóstico diferencial, concordancia con el hospital (en su caso)
Nódulo tiroideo derecho TIRADS 5, sospechoso de carcinoma papilar, con total concordancia entre Atención Primaria y hospitalaria.
Tratamiento, planes de actuación
Derivación preferente a Endocrinología tras contacto inmediato vía busca. Se solicita ecografía reglada y se remite para valoración quirúrgica.
Evolución
El 11/11/2025 se realiza tiroidectomía total. Alta con levotiroxina 100 µg/día. El 16/11/2025 acude a urgencias por parestesias; se objetiva hipocalcemia secundaria a hipoparatiroidismo postquirúrgico, tratándose con gluconato cálcico IV. El 19/11/2025 presenta buena evolución y herida quirúrgica adecuada, con ligera disfonía.
La ecografía en Atención Primaria permitió identificar de forma precoz un nódulo maligno, agilizando el proceso diagnóstico-terapéutico y reforzando la capacidad resolutiva del médico de familia. Este caso evidencia cómo la disponibilidad inmediata de ecografía en consulta no solo mejora la eficiencia diagnóstica, sino que también contribuye significativamente a la seguridad del paciente y a una coordinación asistencial más eficaz.



