X Jornadas de Actualización en Medicina de Urgencias y VI Jornadas de Ecografía de la semFYC
6-7-8 de febrero de 2025
Servicio de Urgencias.
Dolor lumbar.
Enfoque individual: antecedentes personales, anamnesis, exploración, pruebas complementarias, etc.
Paciente de 49 años, APP: hiperuricemia no controlada, múltiples episodios de cólico renal (CRU). dolor de aparición progresiva en región lumbar de 10 días de evolución, intensidad moderada-fuerte, carácter cólico, que se irradia hacia la región inguinal ipsilateral. El dolor está asociado a mareos, náuseas sin vómitos. A pesar de recibir tratamiento con relajantes musculares y antiinflamatorios por su médico de familia, el dolor empeora, y presenta orina colúrica y fétida por lo que acude a urgencias.
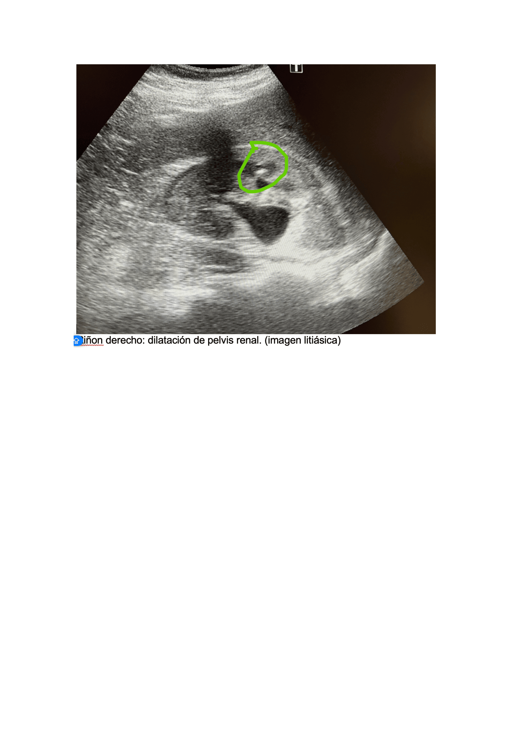
Exploración física, fiebre (39,5 °C) y taquicardia (FC: 120), puño-percusión positiva en la fosa lumbar derecha, sugiriendo una patología renal. Se realiza POCUS) que revela un riñón derecho aumentado de tamaño con una imagen lítica compatible con un cálculo renal de 1,2 cm x 8 mm, junto con dilatación de la pelvis renal (hidronefrosis grado I-II). Una tomografía computarizada (TAC) confirma los hallazgos y muestra un cálculo renal de 4 mm en la zona vesicoureteral distal, no obstruyendo totalmente la vía urinaria.
Enfoque familiar y comunitario: estudio de la familia y la comunidad (si fuese necesario)
No es necesario.
Juicio clínico, diagnóstico diferencial, identificación de problemas
Cólico Renoureteral sin datos de alarma
Tratamiento y planes de actuación.
Evolución
Urología: evidencia mejoría del cuadro clínico, niega fiebre, dolor. Refiere expulsión de pequeño cálculo tras 5 días de tratamiento. Ecografía, Riñón de tamaño normal, homogéneo, se evidencia imagen litiásica que deja sombra acústica posterior de 1,2 cm x 9 mm aprox. que no compromete vía urinaria, no dilatación de pelvis renal. Se deja tratamiento con tamsulosina durante 3 meses hasta nueva valoración. Control con su médico de familia, solicitar seguimiento de niveles ácido úrico y si alteración pautar tratamiento.



