5, 6 y 7 de febrero de 2026
Enfoque individual
Hombre de 82 años alérgico a betalactámicos, dislipémico, hipertenso y EPOC, que es valorado en Urgencias por un cuadro catarral, tras el cual se ajusta medicación domiciliaria y se pauta levofloxacino 500 mg/día durante 5 días, ante la sospecha de reagudización con criterios de infección sobreañadida.Hallazgos ecográficos
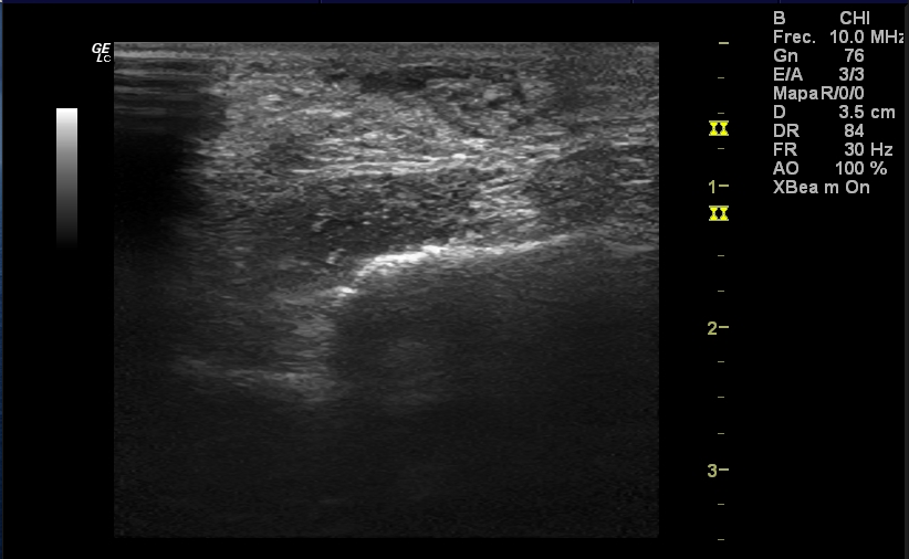
Rotura del espesor completo de ambos tendones Aquíleos, a 4 cm del borde superior del calcáneo aproximadamente, con retracción del cabo proximal y GAP entre ambos cabos de 3 cm. No se ve derrame articular, aunque sí cierto edema de tejido celular subcutáneo.Pruebas complementarias
No se realizan más pruebas complementarias en el Centro de Salud.Juicio clínico, diagnóstico diferencial, concordancia con el hospital (en su caso)
Rotura completa de ambos tendones de Aquiles como efecto adverso del levofloxacino.Tratamiento, planes de actuación
Se solicita RM de ambos tobillos y consulta virtual a Traumatología para que valoren citar de manera preferente en su servicio.Evolución
El paciente es valorado 10 días después por parte de Traumatología, que trata de manera conservadora con botas ortopédicas tipo walker.


