V Jornadas de Ecografía de la semFYC

9 y 10 de febrero de 2024

Comunicaciones: Casos clínicos

Distensión abdominal en Atención Primaria (oral)

Ámbito del caso

Atención Primaria.

Motivos de consulta

Distensión abdominal.

Historia clínica

Enfoque individual

Mujer de 71 años con antecedentes de diabetes mellitus tipo 2, en tratamiento con Efficib 50/1000mg, acude a la de consulta por aumento progresivo del diámetro abdominal, molestias ocasionales en hipogastrio y aumento su estreñimiento habitual. Ha ganado 4 kg de peso, sin edemas ni otros signos. 

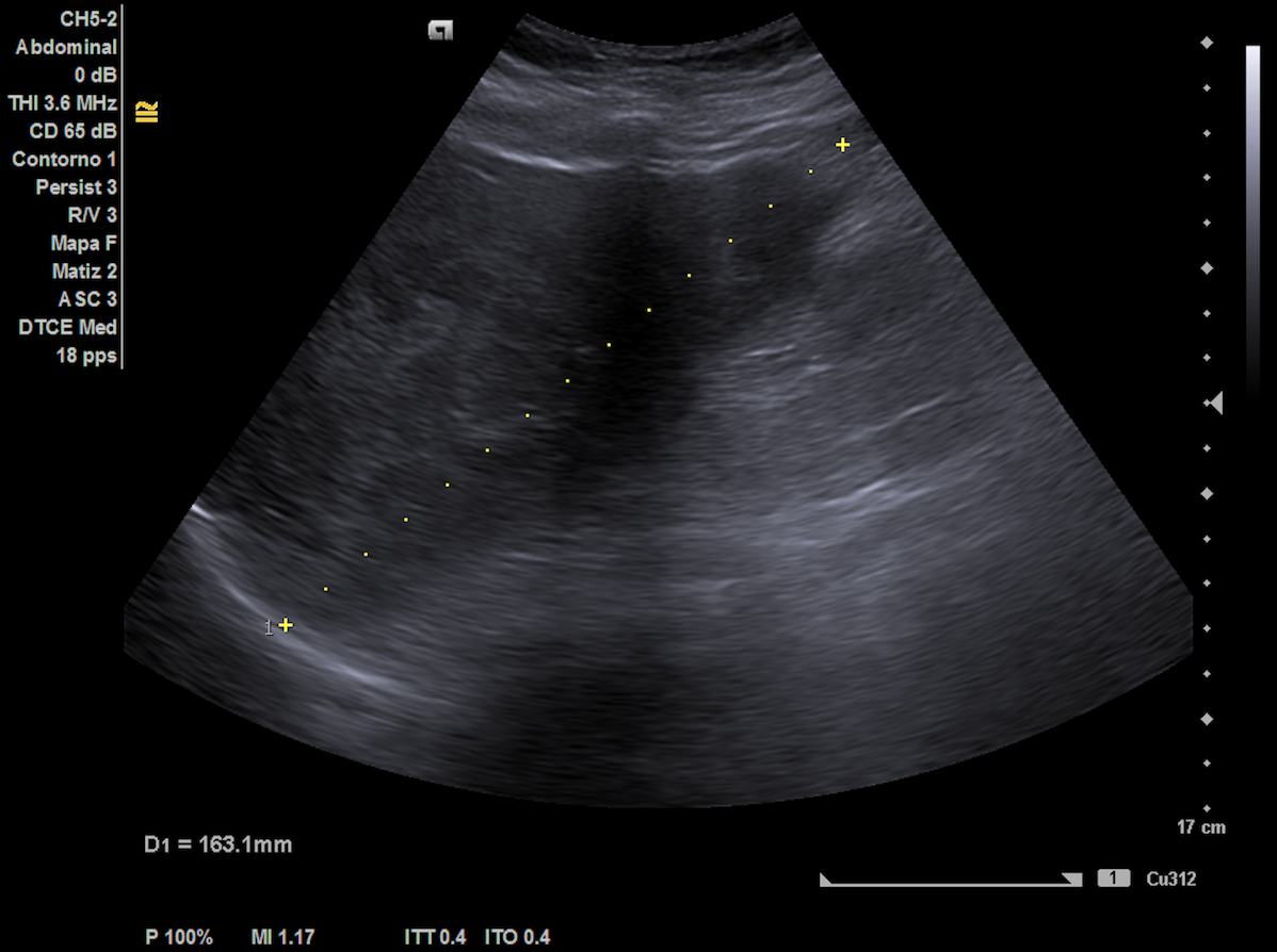
Exploración física: abdomen distendido moderadamente depresible, no doloroso a la palpación. Hepatomegalia con percusión timpánica de ascitis. En miembros inferiores, edemas hasta tercio tibial medio-proximal sin signos de trombosis venosa profunda y pulsos presentes. Ante esto, se decide realizar ecografía abdominal en ese momento, cuyos hallazgos motivaron la derivación a urgencias.

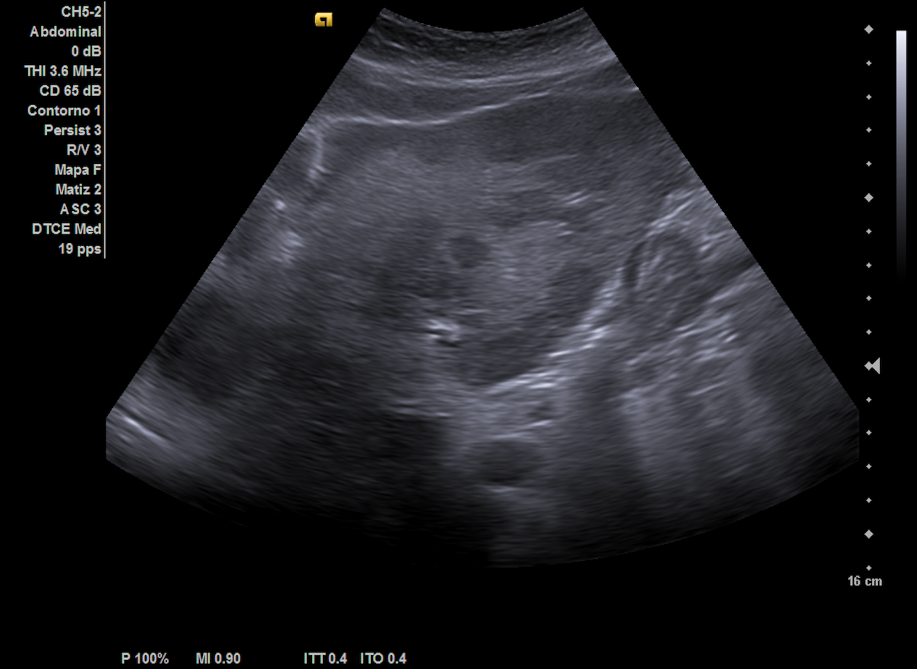
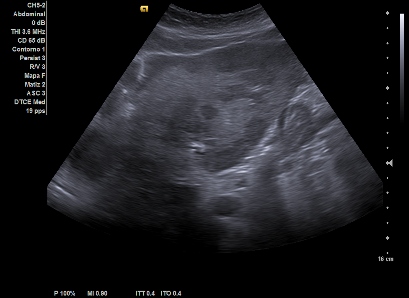
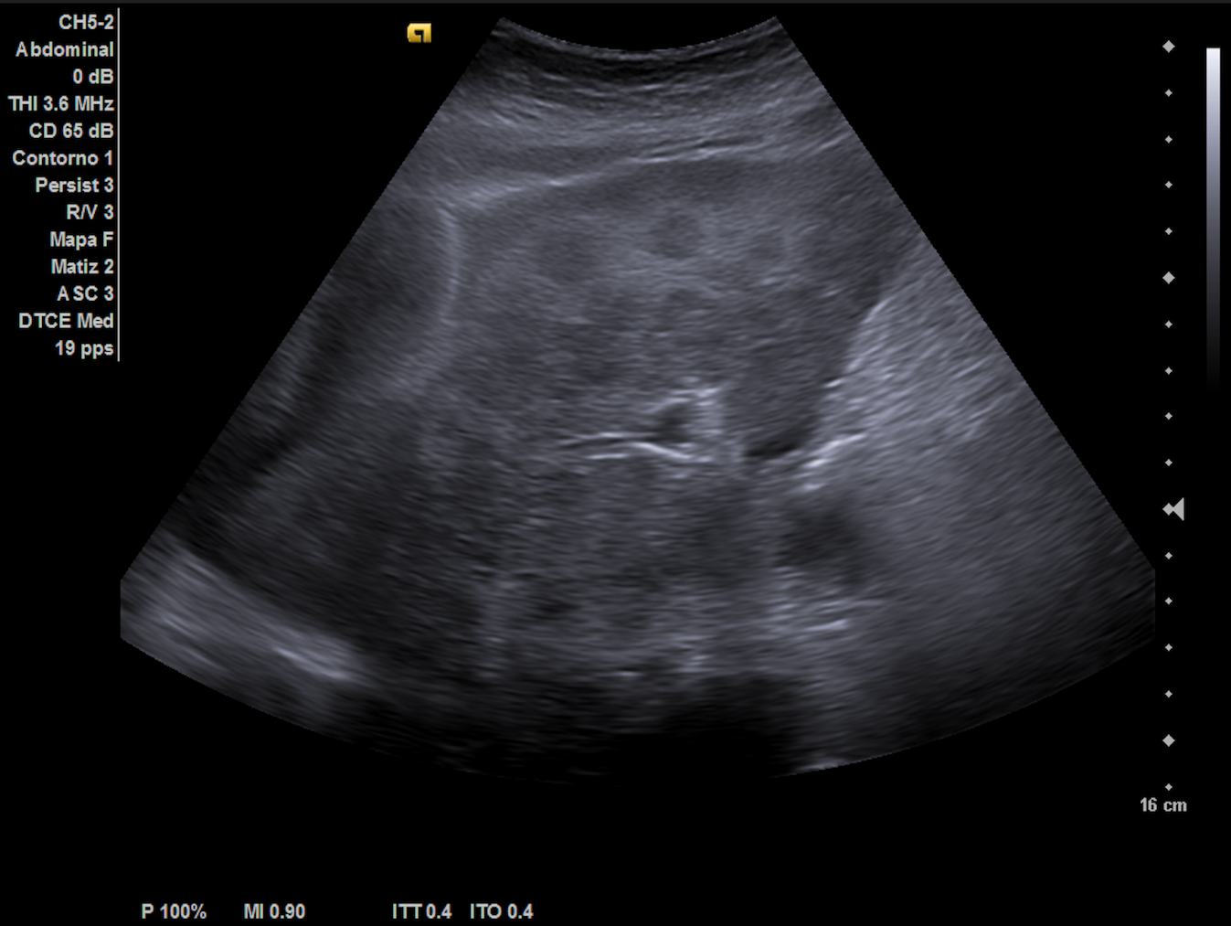
Hallazgos ecográficos

Pruebas complementarias:

Ecografía hepática: hígado de tamaño normal con ecoestructura heterogénea, lesiones focales con halo hipoecoico en ambos lóbulos, sugerentes de metástasis. Las imágenes ecográficas del ingreso coincidían con nuestra descripción.

TC abdominopélvico con contraste: metástasis hepática, ascitis, nódulo mamario derecho y una pequeña adenopatía axilar derecha.

Pruebas complementarias

Analítica: Hb: 14,5 g/dL, Hto: 43,4%, plaquetas: 209,1 x 103/ uL, urea: 120 mg/dL, GOT: 243 U/L, GPT: 136 U/L, GGT: 868u/L, FA: 604 u/L, LDH: 675 u/L, bilirrubina directa: 4,4 mg/dl.

Juicio clínico, diagnóstico diferencial, identificación de problemas

Juicio clínico

Nuestra sospecha fue un proceso neoplásico metastatizado en hígado. En el hospital, el diagnóstico fue insuficiencia hepática severa secundaria a crisis visceral, probablemente por tumor mamario. 

Diagnóstico diferencial

Tumor primario hepático, hiperplasia nodular regenerativa o adenoma hepático.

Tratamiento y planes de actuación

Tratamiento paliativo/sintomático.

Evolución

La paciente ingresó en medicina interna y posteriormente en oncología, para agilizar el estudio diagnóstico e inicio de terapia antineoplásica. Sin embargo, el deterioro clínico fue muy rápido. Esto contraindicó por completo la terapia antineoplásica y de acuerdo con la paciente se optó por un manejo exclusivamente paliativo/sintomático.

Conclusiones (y aplicabilidad para la Medicina de Familia)

El fallo hepático fulminante secundario a metástasis hepáticas por cáncer de mama es un cuadro raro, y la mayoría se diagnostican post mortem. Consideramos que, aunque en este caso la ecografía no supuso una mejora en el manejo y pronóstico de la paciente, sí permitió agilizar el diagnóstico de un proceso poco sintomático y que de no ser por esta prueba no habría llegado o lo habría hecho en un contexto más infausto. Así, proporcionó tiempo a la paciente y a su familia para asimilar el desenlace.


Comunicaciones y ponencias semFYC: 2026; Comunicaciones: Casos clínicos. ISSN: 2339-9333

Autores

Lax Plaza, Marta
CS de Ceutí. Murcia
Gallego Belando, Soledad
CS de Ceutí. Murcia
Benzal Rodríguez, Patricia
CS de Molina Sur. Murcia