5, 6 y 7 de febrero de 2026
Atención Primaria.
Paciente que acude por hematuria, dolor lumbar bilateral y malestar general.
Enfoque individual
Hombre de 77 años con antecedentes de exfumador, hipertensión y polimialgia reumática que acude por hematuria, dolor lumbar bilateral de horas de evolución acompañado de sensación de náuseas, vómito alimenticio y malestar general importante. No dolor abdominal, no fiebre, no síndrome miccional.
A la exploración: AC y AP normal. Abdomen: blando, depresible, ligeramente doloroso a la palpción, sin masas ni megalias y peristaltismo positivo. Puñopercusión negativa. TA 101/60.
Se decide hacer ecografía abdominal con sospecha inicial de origen urológico.
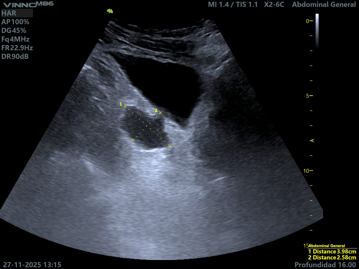
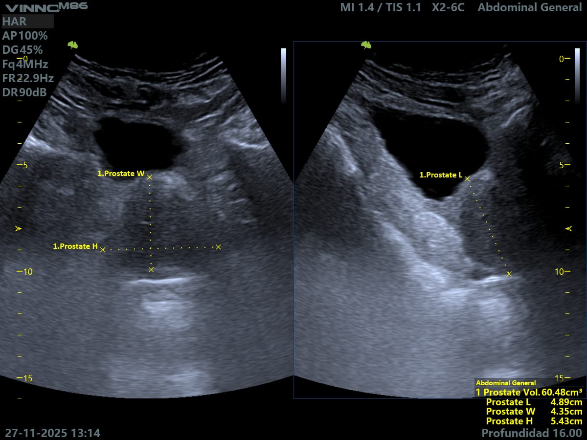
Hallazgos ecográficos
Ecografía: hipertrofia benigna de próstata con volumen de 60,48 cm cúbicos y divertículo vesical de 3,98 x 2,58 cm.
Pruebas complementarias
En centro de salud. Tira reactiva de orina positiva para leucocitos y hematíes.
En hospital: analítica: PCR 67,8 mg/l, leucocitos 15,32 x 10x9/l, perfil hepático. ALT 146U/L, GOT 176U/L, BrT 1,6MG7dl. Rx tórax dentro de la normalidad. PCR coronavirus, gripe y VRS negativo. Sedimiento orina positivo para leucocitos y hematíes con posterior urocultivo positivo para E. Colli.
Juicio clínico, diagnóstico diferencial, concordancia con el hospital (en su caso)
Ante la clínica de hematuria, dolor lumbar y hallazgo de divertículo vesical en ecografía se orienta como posible diagnóstico de ITU complicada.
Como diagnóstico diferencial ante el dolor abdominal y peristaltismo positivo se aconseja valoración por cirugía.
Tratamiento, planes de actuación
Ante la hipotensión y malestar importante del paciente se deriva al paciente al hospital.
Tras valoración por urología y cirugía, y tras pruebas complementarias hospitalarias se orienta como origen urológico y queda ingresado con diagnóstico de sepsis urológica y en tratamiento con antibiótico de amplio espectro.
Evolución
Tras remisión de la infección urinaria se hace seguimiento por médico de familia de recurrencias de infecciones urinarias y se valora por servico de urología la intervención quirúrgica del divertículo vesical.
El divertículo vesical puede retener orina, lo que crea un entorno propicio para el crecimiento bacteriano y aumenta el riesgo de infección. El diagnóstico rápido ecográfico del divertículo ayuda para tomar decisiones más precisas en el tratamiento de la infección urinaria ya que no es un tratamiento únicamente antibiótico, sino que hay que evaluar la necesidad de cirugía.


