5, 6 y 7 de febrero de 2026
Mujer de 43 años que acude a consulta de atención primaria por notarse un pequeño bulto en el cuello.
Enfoque individual
Sin antecedentes médicos relevantes previos. La paciente informa de cuadro pseudogripal previo hace unas semanas.
A la exploración física se aprecia pequeño nódulo cervical derecho doloroso a la palpación.
Se decide completar la exploración física con ecografía.
Hallazgos ecográficos
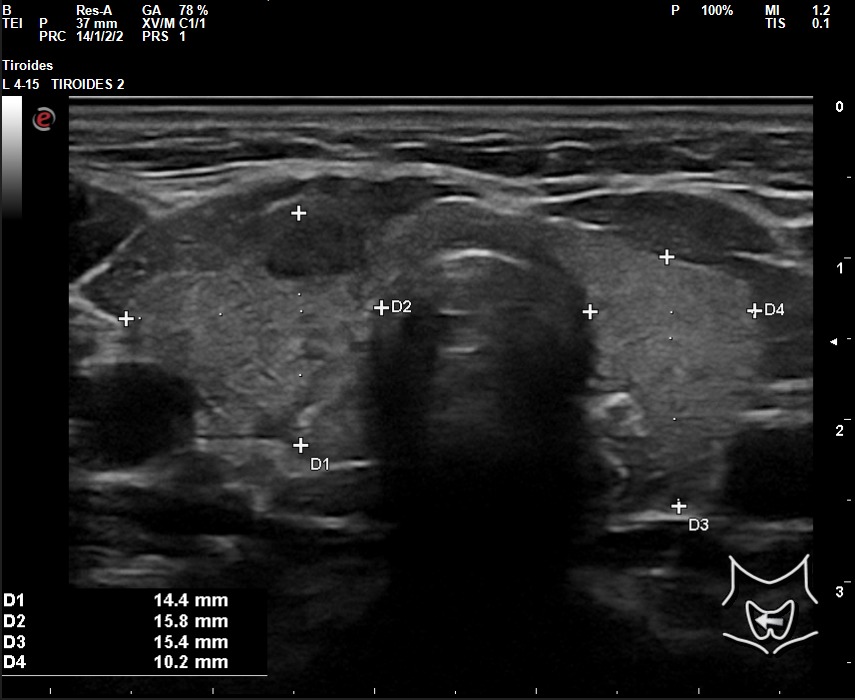
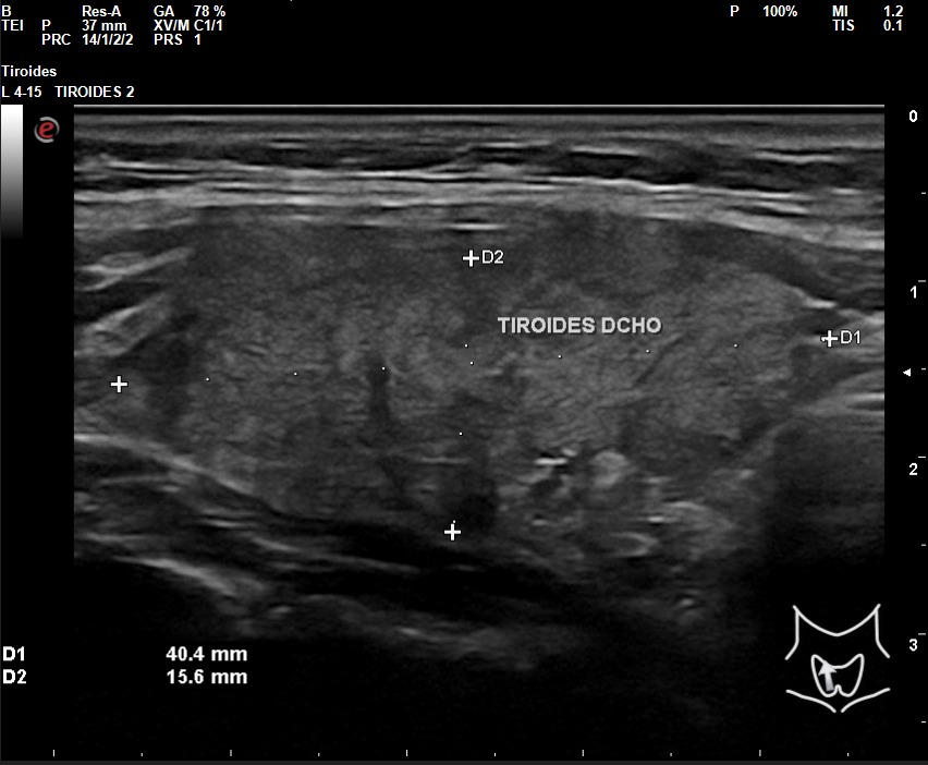
A la exploración ecográfica se observa en lóbulo tiroideo derecho áreas irregulares hipoecoicas sensibles a la sonopalpación con el transductor, con un ligero incremento de la actividad Doppler, asociado a la presencia de adenopatías de características reactivas y/o inflamatorias.
Pruebas complementarias
No realizadas.
Juicio clínico, diagnóstico diferencial, concordancia con el hospital (en su caso)
Diagnóstico de Tiroiditis subaguda o de De Quervain. Tiroiditis más común en adultos jóvenes o de mediana edad, de etiología viral, precedida por un cuadro de infección respiratoria aguda las semanas previas.
Tras unos pródromos de mialgias, odinofagia y febrícula, los pacientes refieren dolor en el cuello y, a veces, inflamación local, que se puede presentar en forma aguda o subaguda en varias semanas.
Los hallazgos ecográficos en otro contexto clínico, sin el dolor a la sonopalpación y sin el antecedente de posible viriasis previa, podrían ser muy parecidos al de un nódulo tiroideo sospechoso de malignidad: hipoecoico, márgenes irregulares, etc.
Tratamiento, planes de actuación
Por las razones previas descritas es aconsejable hacer un seguimiento y rexaminar a la paciente en unos 3 a 6 meses, ya que si dichos cambios en la ecoestructura del lóbulo tiroideo derecho no resuelven cabría la posibilidad de diagnóstico de nódulo tiroideo de características malignas y habría que derivar para valorar biopsia de la lesión.
Evolución
En proceso de seguimiento.
La ecografía clínica resulta útil en el manejo de la patología tiroidea en Atención Primaria. En el caso clínico que nos ocupa pudimos diagnosticar una tiroiditis subaguda de De Quervain dentro de un contexto clínico previo de infección respiratoria.
La tiroiditis subaguda de De Quervain es una patología frecuentemente infradiagnosticada, que sin el apoyo visual ecográfico podría pasar desapercibida y confundida con una simple faringitis, o en el caso de ser derivada a consulta especializada, llegan tarde, mal o con la clínica y lesión florida prácticamente en resolución.



