X Jornadas de Actualización en Medicina de Urgencias y VI Jornadas de Ecografía de la semFYC
6-7-8 de febrero de 2025
Atención Primaria.
Paciente mujer de 63 años que refiere aumento de volumen cervical anterior derecho.
Antecedentes personales relevantes, anamnesis, exploración física y lugar que ocupa en ella la ecografía
Paciente mujer de 63 años con antecedente personal de tiroiditis de Hashimoto y aumento de la grasa peritiroidea derecha que acude a consulta de su médico de familia por notarse aumento de volumen cervical anterior derecho de alrededor de una semana de evolución, negando dolor u otra clínica. A la exploración se palpa bocio ya conocido, con aumento de volumen cervical anterior derecho respecto de izquierdo, sin distinguir masa clara a la palpación. Es por la falta de claridad en la palpación que se decide realizar ecografía exploratoria durante el mismo acto clínico.
Descripción de los hallazgos ecográficos y las imágenes más relevantes para la resolución del caso
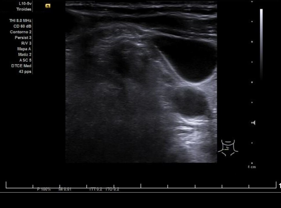
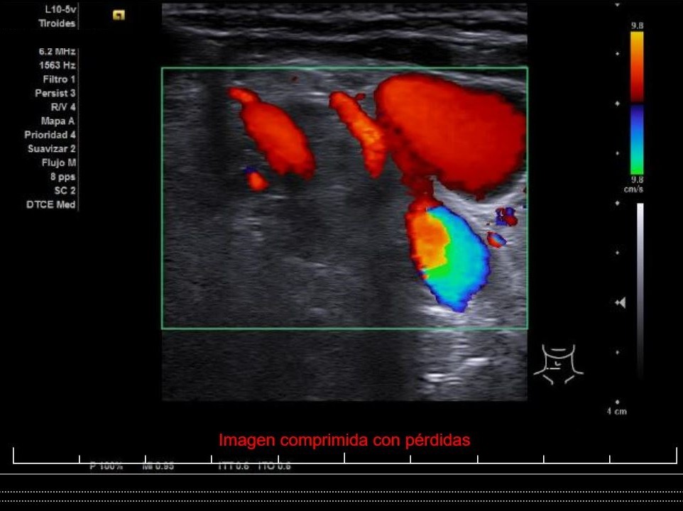
Se aprecia un tiroides de características ecográficas compatibles con tiroiditis, sin cambios respecto a ecografía previa, al igual que la grasa peritiroidea derecha, pero de manera incidental se observa un aumento del calibre fusiforme de la yugular externa derecha con respecto a la izquierda, con flujo vascular reducido.
Otras pruebas complementarias realizadas (si existen)
Ante la sospecha clínica y ecográfica de trombosis o flebectasia yugular se derivó a la paciente a urgencias, donde se realizó una ecografía reglada informada como normal, además de Eco-Doppler de troncos supraórticos también informada como normal.
Juicio clínico, diagnóstico diferencial, concordancia con el hospital (en su caso)
Flebectasia yugular derecha.
Decisiones adoptadas: tratamiento, planes de actuación
Tratamiento conservador.
Evolución y seguimiento
La paciente se mantiene asintomática por el momento.
La flebectasia yugular es la dilatación fusiforme o sacular de la vena, de etiología desconocida, diagnosticada habitualmente en la infancia, rara en adultos, secundaria a la delgadez de las paredes del vaso y que se hace evidente en situaciones en las que aumenta la presión dentro del mismo. Habitualmente se presenta como una masa blanda e indolora en el cuello, en ocasiones pulsátil y que varía de tamaño con las maniobras de Valsalva. De mayor a menor frecuencia se encuentra en la yugular interna, la externa y la anterior. El tratamiento de elección es el conservador.
En Atención Primaria tenemos que mantenernos alerta para diagnosticar lo más precozmente a nuestros pacientes, incluso en estadios presintomáticos, y para esto la ecografía clínica nos resulta una herramienta fundamental, que además puede aportar datos sobre la urgencia con la que deben de tomarse medidas.


