X Jornadas de Actualización en Medicina de Urgencias y VI Jornadas de Ecografía de la semFYC
6-7-8 de febrero de 2025
Atención Primaria.
Dolor costal derecho.
Antecedentes personales relevantes, anamnesis, exploración física y lugar que ocupa en ella la ecografía
Mamografía de junio del 2023: hallazgos normales/benignos.
Por transaminitis leve, el 2022 se realizó ecografía en primaria: esteatosis hepática leve.
Mujer de 62 años que consultó en junio del 2024 por dolor costal derecho, de inicio súbito y sin traumatismo previo. Como sabe que su médico de cabecera hace ecografías en el centro, le solicitó dicho estudio ya que había leído que podría tener un esguince costal. Niega otra sintomatología. A la exploración física presentaba leve dolor a la palpación abdominal profunda en hipocondrio derecho, motivo por el que se decide realizar ecografía abdominal en primaria, a fin de descartar patología vesicular.
Descripción de los hallazgos ecográficos y las imágenes más relevantes para la resolución del caso
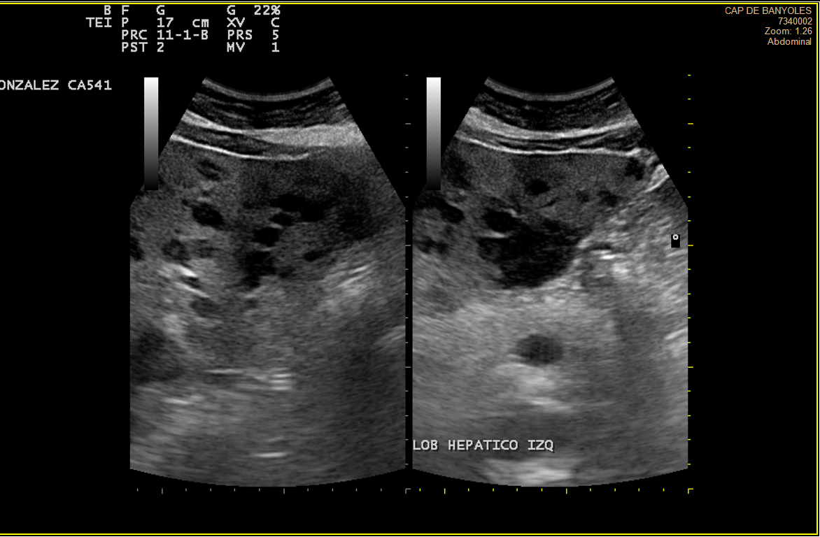
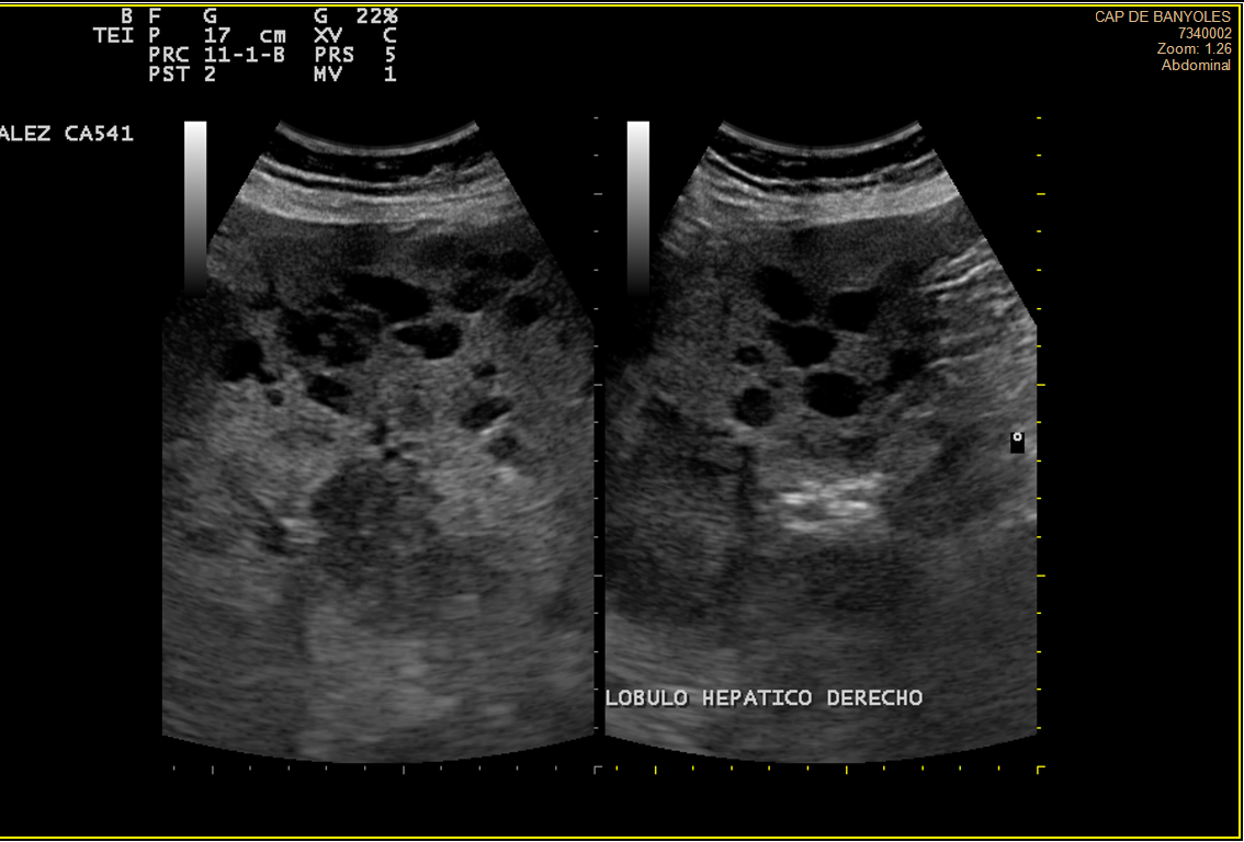
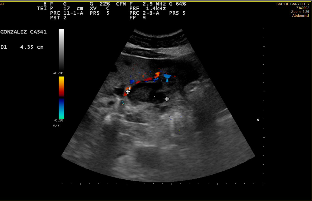
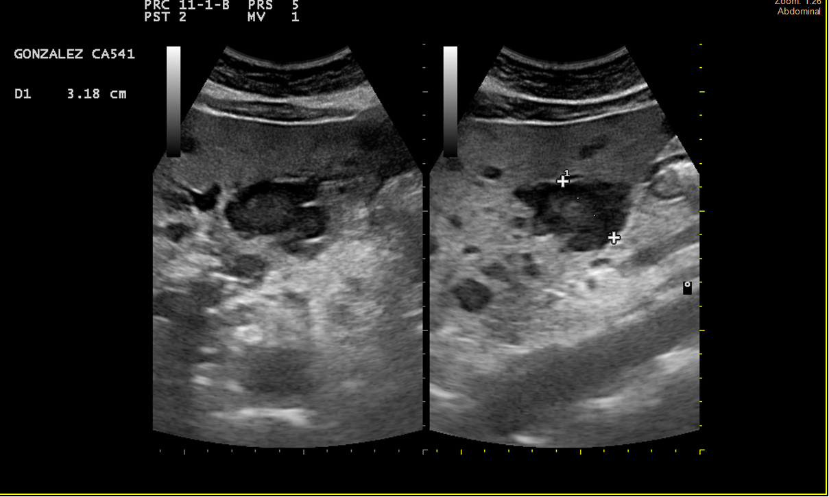
Alteración difusa de la ecoestructura hepática, presentando múltiples imágenes hipoecoicas, de diversos tamaños, resaltando una lesión en lóbulo hepático derecho de 3cm, tabicada y con ecos en su interior, con componente vascular asociado. Vesícula de aspecto normal.
Otras pruebas complementarias realizadas (si existen)
TAC Abdominal: Hemangiomatosis hepática difusa sobre hepatopatía esteatósica.
Analítica: GOT 568 U/L, GPT 123 U/L, GGT 1179 U/L, FA 349 U/L, BT: 13,9 mg/dl.
Resonancia hepática con contraste hepatoespecífico: proceso neoformativo de primario desconocido con diseminación hepática, adrenal izquierda, adenopática retroperitoneal y axilar izquierda. Por las características de las lesiones hepáticas y presencia de adenopatías/implantes en región axilar, recomendamos valoración por la unidad de mama.
Ecografía mamaria: masa en plano posterior de la cola axilar izquierda de 32 x 20 mm, no visible a la mamografía que podría corresponder a una neoformación (BIRADS 4C).
Estudio anatomopatológico: carcinoma infiltrante ductal, grado histológico III.
Juicio clínico, diagnóstico diferencial, concordancia con el hospital (en su caso)
Metástasis quística hepática por neoplasia de origen desconocido.
Decisiones adoptadas: tratamiento, planes de actuación
Derivación al circuito de diagnóstico rápido de patología mamaria.
Evolución y seguimiento
El 30/07/24 la paciente presenta empeoramiento generalizado, requiriendo ingreso hospitalario, siendo finalmente éxitus el 07/08/24.
Algunas veces los pacientes acuden al médico de cabecera poniéndole un diagnóstico a su sintomatología y solicitando directamente pruebas diagnósticas.
Como médicos de cabecera tenemos la responsabilidad de hacer una anamnesis y exploración física adecuada para determinar la necesidad de pruebas complementarias.
Sin embargo algunas veces podemos encontrarnos hallazgos en la ecografía de primaria que no esperábamos cuando nos planteamos la pregunta clínica inicial.
La ultrasonografía en primaria es una herramienta potente, que ayuda al médico de primaria a orientar la actitud diagnóstico-terapéutica de la patología que en un principio podría parecer banal.



