5, 6 y 7 de febrero de 2026
Atención Primaria.
Disminución de la visión.
Enfoque individual
Hombre de 57 años, miopía intervenida con LASIK hace años, hipertensión arterial y dislipemia. Acude por sensación de visión en cortina en zona nasal derecha de 2 horas de evolución. Refiere inicio de fotopsias con posterior disminución de agudeza visual en región central y nasal derecha. Niega miodesopsias o cefaleas antes del episodio. No se objetivan lesiones corneales, no eritema conjuntival, movimientos oculomotores sin alteraciones. Campimetría por confrontación con disminución de la visión en región nasal derecha, temporal mantenida.
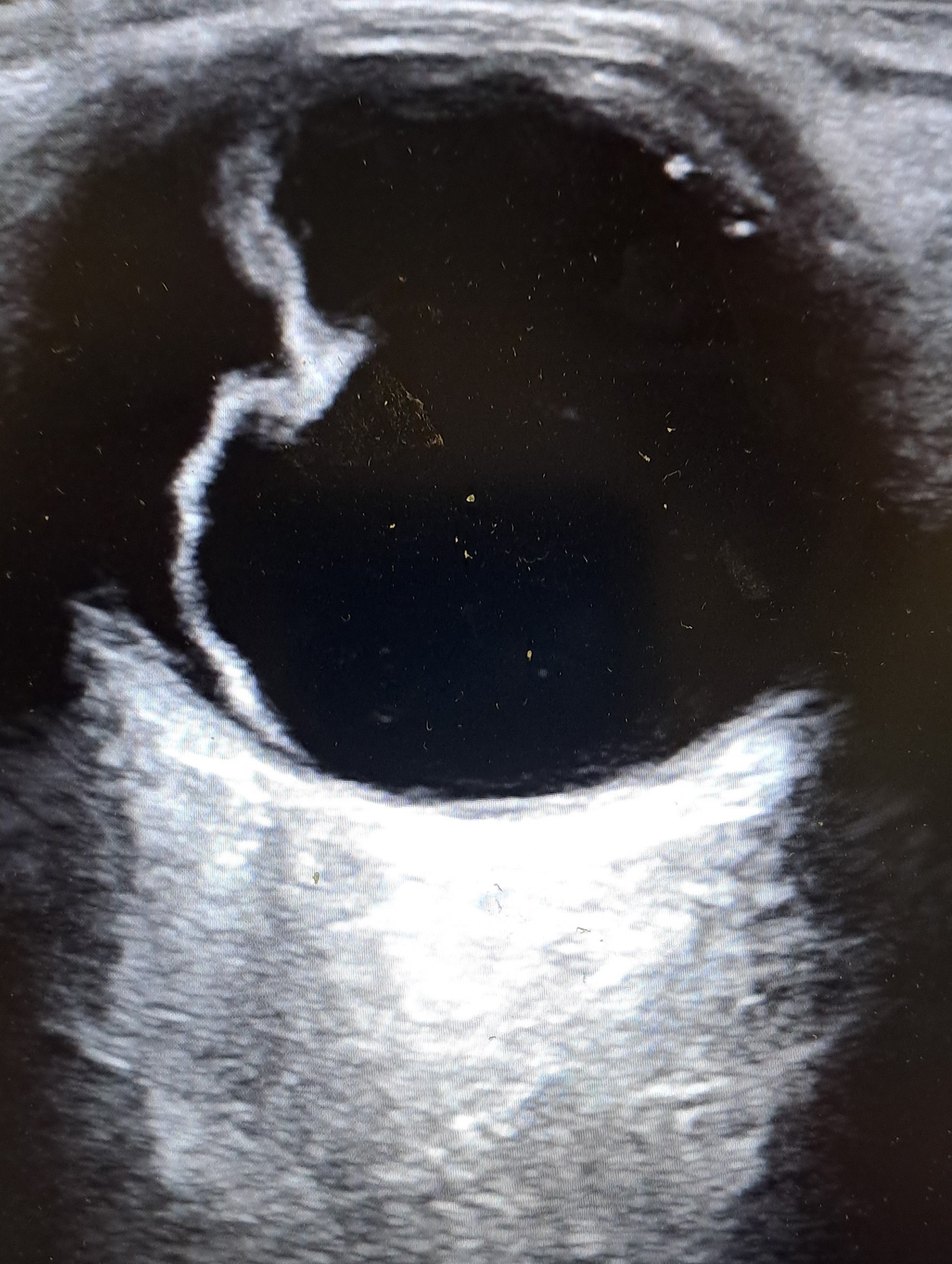
Se realiza ecografía clínica para valoración de ojo derecho.
Hallazgos ecográficos
Se realiza ecografía clínica objetivando línea hiperecogénica en región temporal-central del ojo derecho a la altura del humor vítreo.
Pruebas complementarias
Fondo de ojo.
Juicio clínico, diagnóstico diferencial, concordancia con el hospital (en su caso)
Desprendimiento de retina extensa en región temporal en ojo derecho.
Tratamiento, planes de actuación
Se derivó al paciente al servicio de urgencias siendo atendido por oftalmología que explicó medidas posturales e indicó intervención quirúrgica la mañana siguiente (retinopexia reumática).
Evolución
El paciente presenta mejoría tras intervención con mínimo déficit visual subjetivo.
En este caso la ecografía clínica nos ayuda para poder identificar con mayor seguridad una patología con criterio de derivación urgente para valoración por oftalmología. Fue de utilidad dada su facilidad y accesibilidad y necesidad de escasa experiencia para valorar la lesión.

