V Jornadas de Ecografía de la semFYC

9 y 10 de febrero de 2024

Comunicaciones: Casos clínicos

«Doctora, estoy muy nerviosa» (póster)

Ámbito del caso

Atención Primaria.

Motivos de consulta

Ansiedad/nerviosismo y malestar general.

Historia clínica

Enfoque individual

Mujer de 57 años con Atención Primaria de HTA bien controlada con tratamiento farmacológico, que consulta por nerviosismo y malestar general de 1-2 meses de evolución. Refiere pérdida de peso y labilidad emocional desde entonces. Se realiza análisis de sangre y orina completo (bioquímica, iones, enzimas hepáticas, hormonas tiroideas, orina y hemograma) en el que se obtiene como hallazgo único, TSH suprimida con T4 y T3 dentro de la normalidad. Se inicia tratamiento con Tirodril y se cita para ecografía de tiroides. 

Hallazgos ecográficos

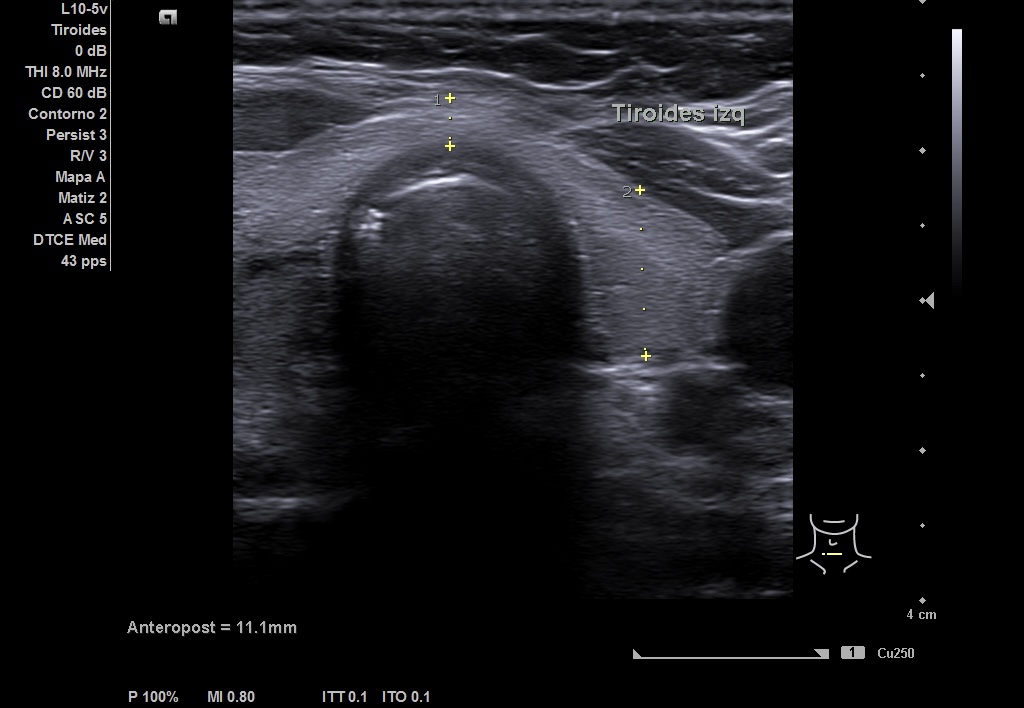
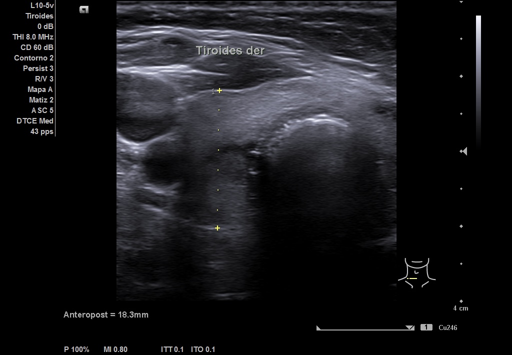
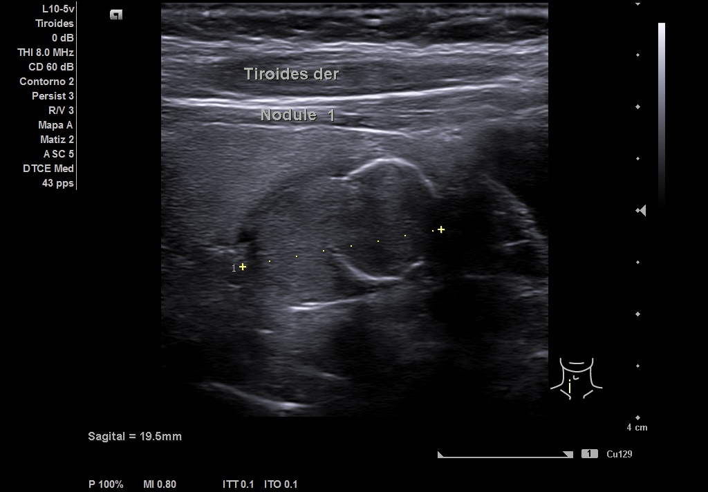
Se realiza ecografía en el Centro de Salud, en la que se objetiva en LTD un nódulo que impresiona de bilobulado, sólido, con una región caudal calcificada que no deja valorar su contenido y una parte superior isoecoica con alguna zona más hipoecoica. Diámetro antero-posterior (13 mm) mayor que el transversal (8 mm) y sagital (19 mm). Vascularización periférica. TIRADS 4-5.

Pruebas complementarias

Se realizó interconsulta no presencial a Endocrinología para comentar el caso.

Juicio clínico, diagnóstico diferencial, identificación de problemas

Nódulo tiroideo solitario a estudio. Por parte de Endocrinología, respondieron la interconsulta y dieron cita preferente en menos de un mes con nueva analítica. 

Tratamiento y planes de actuación

Se mantuvo tratamiento con Tirodril. Pendiente de cita con Endocrinología para estudio (gammagrafía/PAAF).

Evolución

Pendiente de valoración por Endocrinología.

Conclusiones (y aplicabilidad para la Medicina de Familia)

La Ecografía nos ayuda en Atención Primaria a la hora de:
  • Toma de decisiones (derivar o no; hacerlo de forma preferente o no).
  • Acortal las listas de espera (con la descripción realizada del nódulo al endocrino, la citaron directamente, sin necesidad de esperar para ecografía reglada, adelantando así la cita de la paciente).


Comunicaciones y ponencias semFYC: 2026; Comunicaciones: Casos clínicos. ISSN: 2339-9333

Autores

Díaz Corbalán, Patricia
CS Abanilla. Murcia
Expósito Cutillas, Yessica Julia
CS Abanilla. Murcia
Aviles Hernandez, Carlos
CS Abanilla. Murcia