5, 6 y 7 de febrero de 2026
Aparición y crecimiento progresivo de bultoma en la flexura del codo derecho tras el alta hospitalaria.
Historia clínica
Enfoque individual
Antecedentes personales: Diabetes, dislipemia, hipertensión arterial, estenosis aórtica severa, insuficiencia cardiaca crónica y fibrilación auricular.
Tratamiento: losartán 50 mg/24 h, amlodipino 5 mg/24 h, AAS 100 mg/24 h, simvastatina 20 mg/24 h y sitagliptina 100 mg/24 h.
Exploración física: Tumoración pulsátil en cara anterior del codo derecho de unos 3 cm, doloroso a la palpación, desplazable lateralmente, no eritema no calor, no lesiones tróficas y compatible con aneurisma.
Ante la sospecha de patología vascular, se realiza ecografía clínica en la consulta.
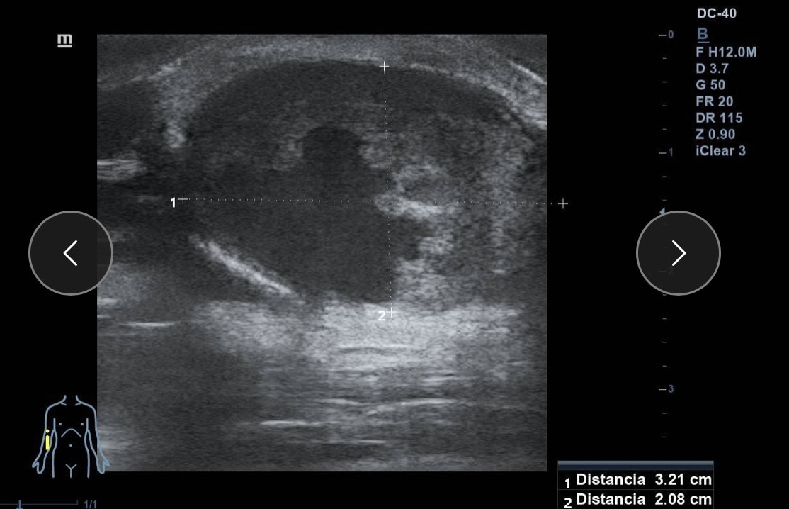
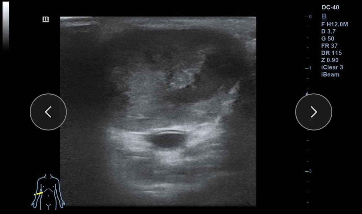
Hallazgos ecográficos
Ecografía Doppler: dilatación aneurismática sacular de la arteria braquial (3 cm), bien delimitada, con trombo mural no oclusivo y flujo turbulento. Flujo arterial proximal y distal conservado. Sin signos de rotura ni hematoma adyacente.
Pruebas complementarias
No se realizan otras pruebas complementarias desde Atención Primaria.
Juicio clínico, diagnóstico diferencial, concordancia con el hospital (en su caso)
Juicio clínico: Sospecha de aneurisma verdadero de la arteria braquial.
Diagnóstico diferencial: Pseudoaneurisma postpunción, lipoma pulsátil, masa vascularizada de partes blandas, fístula arteriovenosa
Tratamiento, planes de actuación
Dado que la respuesta de la e-consulta es rápida y que el paciente está estable se decide emitir una e-consulta con el servicio de vascular que contesta en la misma mañana y que propone derivar a urgencias.
Se habla con el paciente que prefiere esperar a consultar la mañana siguiente con el cardiólogo dado que no quiere volver a pasar por urgencias.
Es valorado en Cardiología quienes derivan de nuevo a urgencias, donde confirman el diagnóstico mediante ecografía.
Evolución
Postoperatorio sin incidencias, con buena evolución clínica.
La ecografía clínica en Atención Primaria demuestra gran utilidad en la detección precoz de patología vascular infrecuente, facilitando decisiones rápidas y seguras. La e-consulta mejora la coordinación con otros niveles asistenciales y optimiza el proceso diagnóstico, aportando eficiencia y seguridad en el manejo del paciente. Esta herramienta refuerza la capacidad resolutiva del médico de familia y reduce la incertidumbre clínica.


