X Jornadas de Actualización en Medicina de Urgencias y VI Jornadas de Ecografía de la semFYC
6-7-8 de febrero de 2025
Atención Primaria.
Sensación de opresión frontal junto a rubicundez facial e inquietud.
Antecedentes personales relevantes, anamnesis, exploración física y lugar que ocupa en ella la ecografía
Hombre de 82 años que refiere sensación de opresión frontal acompañada de rubicundez facial e inquietud, se quita con paracetamol y se repite a lo largo del día. Asocia polimialgia reumática. No claudicación mandibular ni alteraciones visuales. Pulsos temporales conservados y simétricos y no cordón arterial. Se realiza ecografía clínica para la valoración de las arterias temporales por el AP de polimalgia reumática.
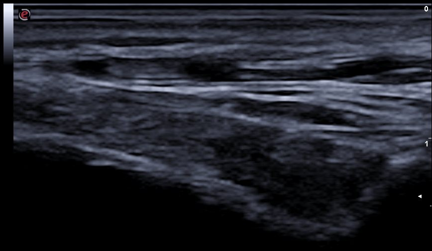
Descripción de los hallazgos ecográficos y las imágenes más relevantes para la resolución del caso
Signo del halo de manera parcheada. Se completa con realización de Doppler de las arterias temporales en ambos lados, observándose en porciones distales en el vaso una hipodensidad sin relleno y disminución del flujo compatible con inflamación del vaso. En tramos proximales se observa buen relleno vascular y flujo sin alteraciones. Todos estos hallazgos con compatibles con alta sospecha de arteritis de la temporal principalmente en sus tramos distales.
Otras pruebas complementarias realizadas (si existen)
Biopsia de la arteria temporal siendo no sugestiva. PET TC: no muestra datos de vasculitis.
Juicio clínico, diagnóstico diferencial, concordancia con el hospital (en su caso)
Ante sospecha de arteritis se trata al paciente con altas dosis de prednisona.
Decisiones adoptadas: tratamiento, planes de actuación
Se deriva a Medicina Interna que completa estudio meses más tarde cuando ya está asintomático y cuando ya se han reducido las dosis de corticoides (a dosis de mantenimiento por su polimialgia reumática).
Evolución y seguimiento
En seguimiento en Atención Primaria con dosis bajas de prednisona, permanece asintomático.
Gracias a la ecografía realizada en Atención Primaria, el paciente recibe tratamiento precoz con resolución a los pocos días. El retraso en las consultas hospitalarias y en pruebas complementarias hubiera retrasado dicho tratamiento.



