X Jornadas de Actualización en Medicina de Urgencias y VI Jornadas de Ecografía de la semFYC
6-7-8 de febrero de 2025
Atención Primaria.
Vómitos y mareo.
Antecedentes personales relevantes, anamnesis, exploración física y lugar que ocupa en ella la ecografía
Mujer de 85 años con antecedentes relevantes de hipertensión, dislipemia, diabetes, asma bronquial, hemiparkinsonismo derecho y melanoma en hombro izquierdo intervenido en 2023. Además, valorada recientemente en urgencias oftalmológicas por cuadro de diplopía horizontal con presumible diagnóstico de mononeuropatía del VI derecho de probable etiología microisquémica, con plan de oclusión ocular alternante.
Consulta en el Centro de Salud a los 4 días del inicio de la diplopía, que persiste de manera oligosintomática. Acude por cuadro de vómitos repetidos que impiden adecuada tolerancia oral, malestar general y mareo. Sin otra clínica en anamnesis dirigida.
Exploración física: Constantes en rango. Auscultación cardiopulmonar normal. Abdomen blando y depresible, doloroso a la palpación en hipocondrio derecho. Murphy negativo. Sin ascitis o irritación peritoneal. Exploración Neurológico: Deficit en abducción de ojo derecho, sin otra focalidad neurológica. 
Descripción de los hallazgos ecográficos y las imágenes más relevantes para la resolución del caso
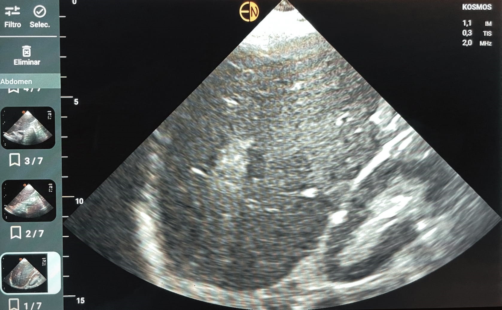
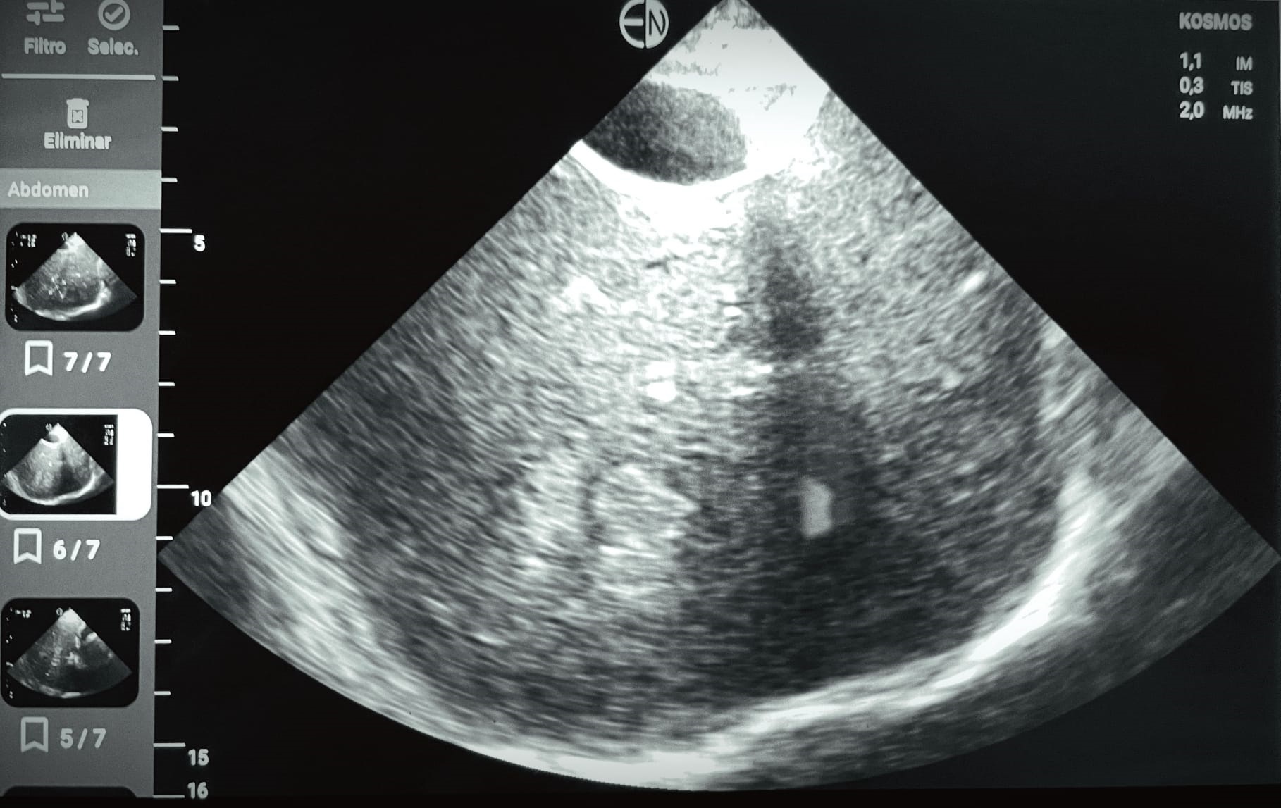
Ecografía POCUS abdomen: se identifican al menos dos imágenes hiperecogénicas en parenquima hepático, con regiones de aspecto algo heterogéneo, la mayor de ellas de 4,9 cm diámetro máx. No líquido libre. Vesícula distendida, sin signos de colecistitis o dilat vía biliar.
Juicio clínico, diagnóstico diferencial, concordancia con el hospital (en su caso)
Dados los hallazgos exploratorios y ecográficos, así como la imposibilidad de tolerancia oral secundaria a los vómitos, se decide remitir nuevamente a la paciente a Urgencias, donde se termina por realizar TC de abdomen donde se objetiva masa hepática que ocupa la práctica totalidad de los segmentos 2 y 3 del lóbulo hepático izquierdo. Mide aproximadamente 11 x 8 cm. Se observan otras lesiones focales hepáticas (aproximadamente 10), la mayor en segmento 8 de 2,8 cm.
Evolución y seguimiento
Tras activarse circuito de estudio lesiones ocupantes de espacio (LOE) mencionadas se llega a diagnóstico de melanoma metastásico y después de realizarse estudio de extensión, se identifican LOE en múltiples localizaciones (entre ellas, seno cavernoso derecho, donde se aloja recorrido de par craneal VI).


