5, 6 y 7 de febrero de 2026
Disartria y alteración de la marcha.
Enfoque individual
Hombre de 63 años con AP de DLP mal controlada, HTA, DM con retinopatía. Fumador activo. Hace 72 h presentó episodio de lateralización de la marcha hacia lado derecho (se chocaba con varios árboles) y tras esto, sufrió episodio de disartria presenciado. En total 1 h 30 min de clínica por la que no consultó. No otra sintomatología. Refiere inicio de Tapentadol reciente por lumbalgia que suspende por su cuenta (descritos disartria y alteración de la marcha como Efectos Adversos).
EF: AC rítmico. Lenguaje fluido y coherente, repite y nomina. Pupilas isocóricas y normorreactivas. MOEs conservados. No diplopía o nistagmo. Campimetría normal. No asimetrías faciales. Fuerza 5/5 sin claudicación en extremidades. Sensibilidad conservada. No dismetrías ni disdiadococinesias. Romberg normal. Marcha y tándem normal.
ECG: RS a 85 lpm, sin hallazgos.
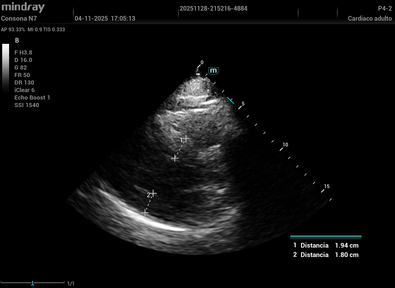
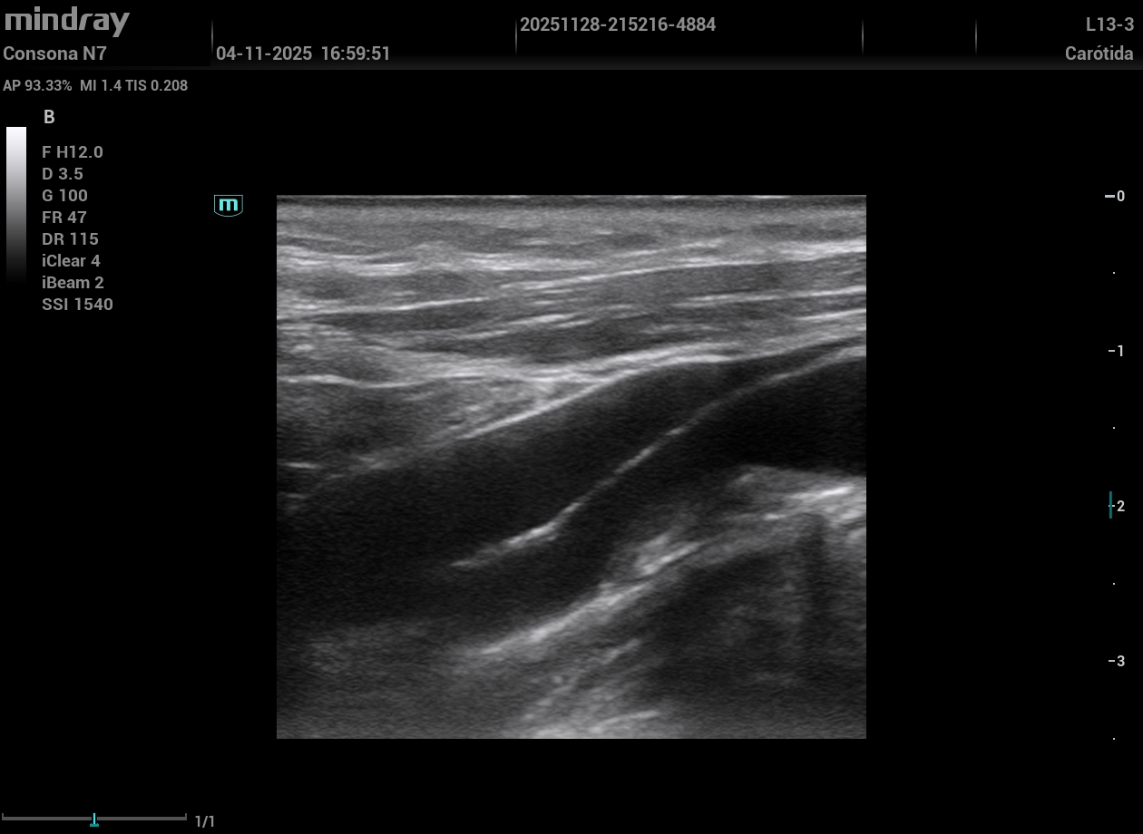
Eco vascular protocolo VASUS +: grandes placas de ateroma tipo 2-3 en ambas carótidas visualizando en carótida interna derecha una obstrucción de más del 50%; ambas femorales con alta carga de placas. ETT: FEVI conservada. HVI concéntrica.
Enfoque familiar y comunitario
No.
Juicio clínico, diagnóstico diferencial, identificación de problemas
Sospecha de AIT en paciente de alto riesgo cardiovascular.
Tratamiento y planes de actuación
Ante hallazgos ecográficos, clínica y alto riesgo cardiovascular, impresiona de alta sospecha de AIT frente a sospecha de efectos de Tapentadol. Se ajustan estatinas, se inicia AAS y se realiza e-consulta de caso con NRL para agilizar valoración dado que el paciente está asintomático.
Evolución
Citado en consultas alta resolución vascular para completar estudio.
La ecografía clínica se presenta como una herramienta fundamental para la exploración y el diagnóstico en el ámbito de la Medicina de Familia. Su utilidad es especialmente relevante en el proceso de aproximación diagnóstica y en la toma de decisiones clínicas, permitiendo al Médico de Familia obtener información precisa y rápida sobre el estado del paciente y mejorar su pronóstico.



