5, 6 y 7 de febrero de 2026
Atención Primaria.
Molestias gastrointestinales inespecíficas y disnea progresiva.
Enfoque individual
Antecedentes:
Natural de Ecuador, repartidor nocturno. AP: DM2 con mala adherencia, obesidad grado II, ex-consumo de alcohol. AF: abuela paterna fallecida por infarto, tío paterno con cardiopatía no filiada, madre fallecida por mieloma múltiple.
Anamnesis:
Hombre de 42 años que consulta por sensación de distensión abdominal tras las comidas, epigastralgia, astenia y estreñimiento, además de episodios pseudogripales repetidos y sensación disneica con empeoramiento progresivo.
Exploración Física:
Inicialmente abdomen globuloso y timpánico con hepatomegalia. En las revisiones posteriores destaca taquicardia y crepitantes en base derecha, indicando empeoramiento clínico.
La exploración convencional fue insuficiente para explicar la disnea y la congestión hepática, lo que motivó la realización de ecografía en Atención Primaria.
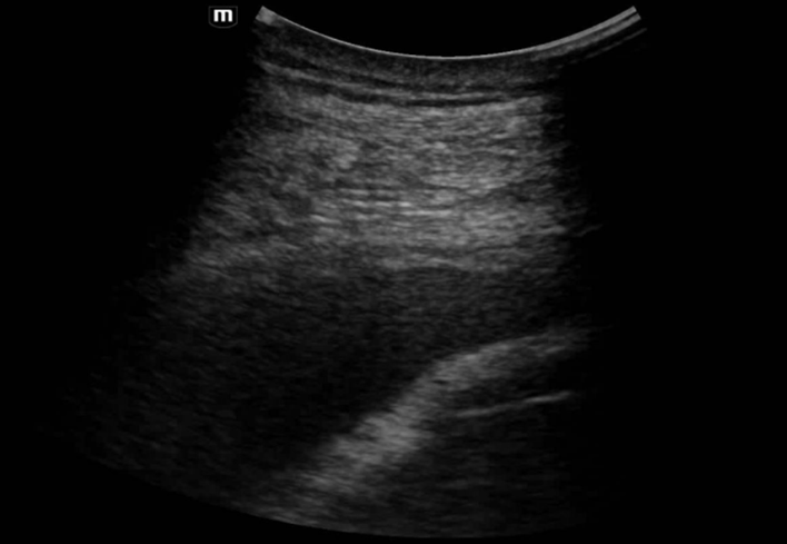
Hallazgos ecográficos
1.ª ecografía: hepatomegalia, distensión de venas suprahepáticas y vesícula biliar de paredes engrosadas.
2.ª ecocardioscopia POCUS: derrame pleural, septo ventricular engrosado, hipoquinesia severa global, patrón de llenado ventricular restrictivo y derrame pericárdico.
Pruebas complementarias
Analítica: patrón colestásico, bilirrubina directa aumentada, Pro-BNP 4797 pg/mL.
Rx de Tórax: sobrelevación de diafragma derecho y condensación en base pulmonar derecha.
ECG: ondas Q en V1 y V2, ondas QS en V3-V4, bajo voltaje en V5-V6 y derivaciones de extremidades
Juicio clínico, diagnóstico diferencial, concordancia con el hospital (en su caso)
Diagnóstico diferencial
Hepatitis crónica por VHB o VHC, Hepatitis alcohólica, Hemocromatosis, Sd Budd-Chiari, NASH, insuficiencia cardíaca, Enf Chagas con miocardiopatía.
Juicio clínico final
Insuficiencia cardíaca secundaria a miocardiopatía restrictiva.
Tratamiento, planes de actuación
Se deriva a urgencias ante hallazgos ecográficos de alarma.
Evolución
Pruebas complementarias durante el ingreso:
Tratamiento: esquema Dara-CyBorDex x6 ciclos + tratamiento de IC-FEr. Dada la respuesta cardiaca parcial (FEVI 48%) se realiza trasplante autólogo de progenitores hematopoyéticos.
La ecografía clínica en Atención Primaria permitió detectar precozmente signos de alarma no explicados por la clínica inicial acortando tiempos diagnósticos y evitando de esta forma una probable evolución hacia shock cardiogénico a través de una derivación urgente. Además este caso refuerza el rol del médico de familia en la identificación precoz de enfermedades raras, aumentando la equidad en el acceso al diagnóstico.


