X Jornadas de Actualización en Medicina de Urgencias y VI Jornadas de Ecografía de la semFYC
6-7-8 de febrero de 2025
Atención Primaria y urgencias hospitalarias.
Incontinencia urinaria.
Antecedentes personales relevantes, anamnesis, exploración física y lugar que ocupa en ella la ecografía
Antecedentes personales: dislipemia e hipertensión mal controlada, hepatitis B crónica.
Anamnesis: paciente de 59 años que acude a su centro de salud por incontinencia de meses de duración. Valorado por diferentes médicos y con distintos tratamientos farmacológicos sin éxito (actualmente precisa uso de pañal), además de hipertensión mal controlada en las últimas dos semanas pese a intensificación de tratamiento.
Exploración: anodina.
Pruebas complementarias: se realiza analítica de control incluyendo función renal y orina de forma reglada. En la analítica destacan la elevación de cifras de creatinina en 6.42 mg/dL, urea 146 mg/dL y Filtrado glomerular estimado en 9 mL/min. Sodio normal e hiperpotasemia leve de 5,9. El antígeno prostático específico se encontraba en rango normal (2,53 ng/ml).
Descripción de los hallazgos ecográficos y las imágenes más relevantes para la resolución del caso
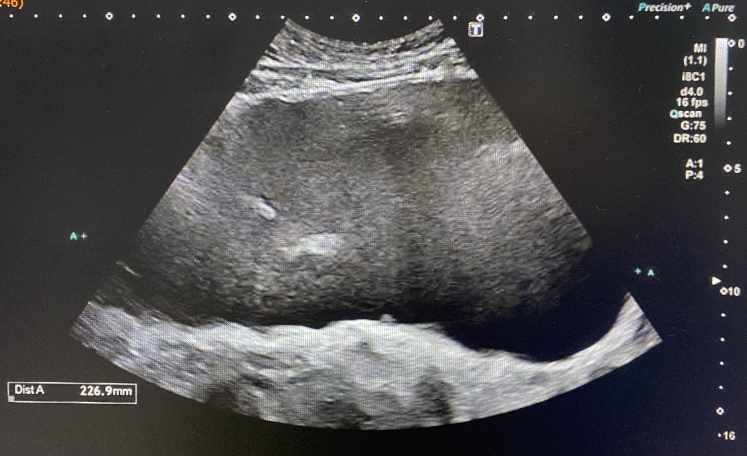
El paciente fue derivado a urgencias hospitalarias para valoración. Se realizó una ecografía a su llegada, observando una marcada distensión vesical (imagen 1) con dilatación pielocalicial y ureteral bilateral, con parénquima renal conservado (imagen 2).
Se realizó sondaje vesical del paciente con diuresis de 6800 cc durante unas 8 horas con mejoría de las cifras tensionales tras la resolución de la obstrucción.
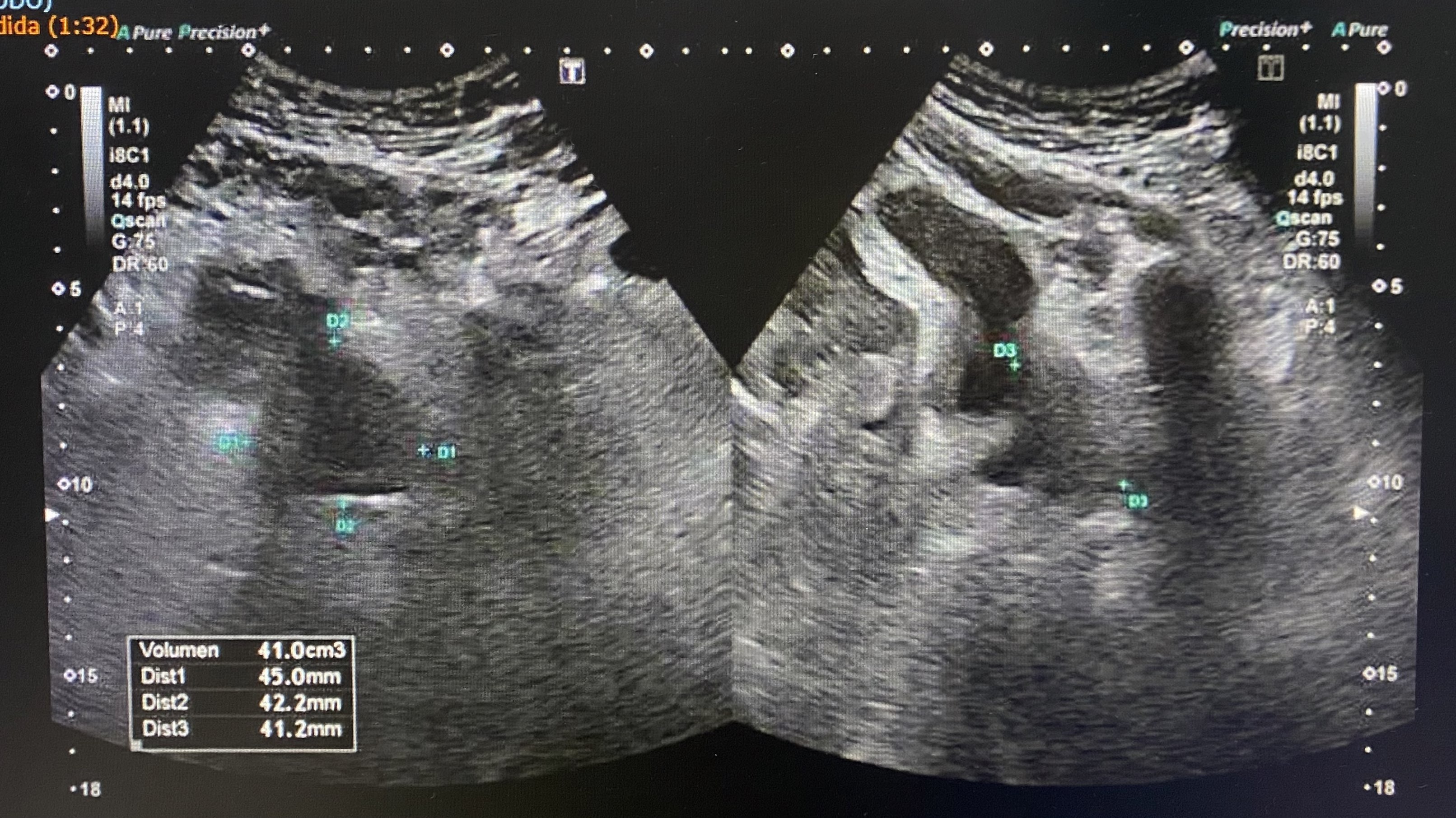
En ecografía de control dos meses después se observa una ligera dilatación pielocalicial del riñón izquierdo y normalidad del derecho (imagen 3), además se consigue objetivar la próstata aumentada de tamaño (imagen 4).
Otras pruebas complementarias realizadas (si existen)
Analítica sanguínea.
Uro-TAC pendiente.
Juicio clínico, diagnóstico diferencial, concordancia con el hospital (en su caso)
Fracaso renal agudo.
Uropatía obstructiva.
Ureterohidronefrosis grado II-III.
Retención aguda de orina.
Evolución y seguimiento
En seguimiento por Urología.



