5, 6 y 7 de febrero de 2026
Atención Primaria.
Nódulo en región glútea.
Enfoque individual
Mujer de 75 años, con antecedentes personales de HTA, dislipemia, epitelioma basocelular intervenido en 2012.
Anamnesis: aparición hacía un mes de un punto negro sobreelevado no doloroso en región glútea izquierda con rápido crecimiento hasta convertirse en lesión de 2 cm que había intentado drenar por lo que estaba ulcerada y friable.
Exploración física: lesión de 2-3 cm en región glútea, de superficie eritemato-violácea, con un área ulcerativa, no fluctuante, indurada a la compresión sin emisión exudativa a la compresión.
Dada la inflamación, el antecedente de posible comedón y rápido crecimiento, se pauta antinflamatorio y amoxicilina clavulánico y se programa ecografía en una semana, con la sospecha de quiste abscesificado.
Hallazgos ecográficos
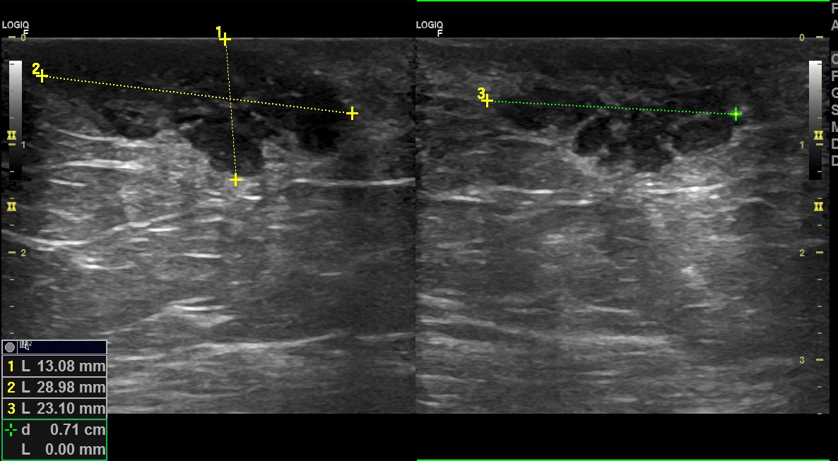
Tras ausencia de mejoría, realizamos ecografía programada: detectando una imagen sólida hipoecogénica, de bordes bien delimitados, con tractos fibrosos en su interior y con importante captación Doppler.
Pruebas complementarias
La ecografía cambia radicalmente la sospecha clínica y se remite a cirugía de forma preferente como masa sólida de rápido crecimiento a estudio y valorar resección.
Juicio clínico, diagnóstico diferencial, concordancia con el hospital (en su caso)
En cirugía se procede a resección de la lesión para estudio anatomopatológico.
El diagnóstico final es de tumor de Células de Merkel de 34 mm con infiltración de tejido celular subcutáneo y afectación de márgenes de resección pero sin invasión linfoglandular ni perineural.
Se estudian receptores tumorales con AE1/AE3 positivo; CK20 positivo; sinaptofisina y cromogranina positivos, TTF-1 negativo; S-100 y SOX-10: negativos; Ki67 30%. Número de mitosis 26 en 1 cga (40x).
Tratamiento, planes de actuación
Decisiones adoptadas: tras el diagnóstico se realiza linfografía detectándose ganglio con características patológicas por lo que se amplían márgenes de resección quirúrgica, se realiza linfadenectomía locorregional.
En AP no se detecta afectación de ganglios centinela.
Evolución
En el momento actual está pendiente de recibir radioterapia local y se mantiene en seguimiento de posibles recurrencias, descartándose a día de hoy enfermedad a distancia.
La ecografía tuvo un papel fundamental en el diagnóstico precoz de este raro tumor con incidencia 1.3 casos por millón. La confusión con patología inflamatoria retrasa el diagnóstico y disponer de un ecógrafo que evidencia la naturaleza de este proceso tan agresivo con tendencia a las recidivas y metástasis, ha permitido mejorar el pronóstico vital de la paciente.


