V Jornadas de Ecografía de la semFYC

9 y 10 de febrero de 2024

Comunicaciones: Casos clínicos

«Doctora, vengo a revisar la próstata» (oral)

Ámbito del caso

Ámbito rural

Motivos de consulta

Vengo a revisar la próstata. Tengo que ir a orinar muy a menudo

Historia clínica

Enfoque individual

Paciente de 67 años que refiere síntomas de unos 3 años de evolución consistentes en polaquiuria, disminución del chorro miccional, nicturia, sensación de vaciado incompleto y ocasionalmente urgencia miccional. No presenta hematúria, disuria ni dolor abdominal.
Antedecentes personales: HTA, fumador 1 paquete/día, consumo excesivo de alcohol.
Exploración física: Abdomen y percusión lumbar negativos. IPSS 18. Tacto rectal: Próstata de tamaño normal de consistencia blanda y no dolorosa.
Realizamos ecografía para estudio de sd prostático.

Hallazgos ecográficos

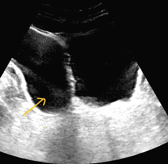
Riñones de tamaño y morfología normales. No observamos litiasis ni dilatación de la vía urinaria. A nivel de la vejiga presenta un tabique con comunicación a una gran cavidad en la pared lateral derecha que da la impresión de que existen dos vejigas urinarias. No hay lesiones parietales. Próstata 32 cc. Volumen premiccional de la cavidad mayor 350 cc y posmiccional 210 cc.

Pruebas complementarias

Analítica: Creatinina 0,79 ngr/dl PSA L/PSA T 7,67%

Juicio clínico, diagnóstico diferencial, identificación de problemas

Gran divertículo de vejiga urinaria.
Diagnóstico diferencial: ureterocele, malformación congénita de la vejiga urinaria
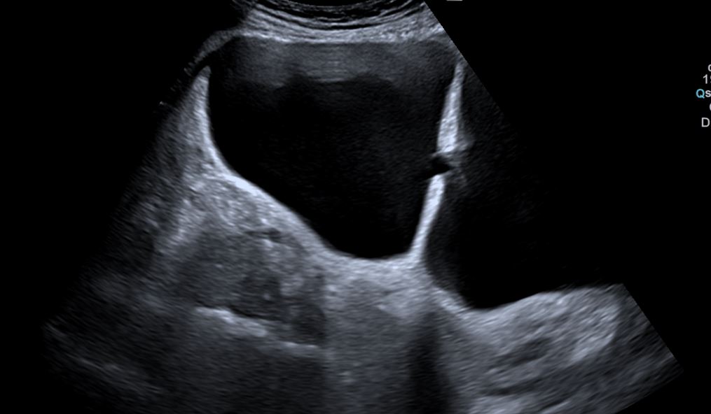
Concordancia con la ecografía urológica realizada en Radiología:
Vejiga urinaria con presencia de jets ureterales, de paredes lisas con un gran divertículo en la pared lateral derecha de 543 cc premiccional que vacía a la mitad en posmiccional 310cc (57%).Volumen vesical premiccional 620cc y posmiccional 179 cc (28%).

Tratamiento y planes de actuación

Se deriva a urología donde se realiza cistoscopia que muestra la presencia de un gran divertículo con vejiga de lucha y una urodinamia en la que se objetiva una vejiga hiperactiva y un patrón obstructivo al vaciado.

Evolución

Se propone para cirugía desobstructiva.

Conclusiones (y aplicabilidad para la Medicina de Familia)

La ecografía básica en Atención Primaria supone el incremento de nuestra capacidad diagnóstica de manera rápida y fácil. Para el paciente, se disminuye el tiempo de espera para su evaluación, con una mayor satisfacción por la atención recibida. Para el médico rural, con una práctica en solitario en los consultorios locales, la disponibilidad del ecógrafo portátil proporciona una disminución de la incertidumbre y la toma de decisiones más eficientes para nuestros pacientes.
 
 
 
 

Comunicaciones y ponencias semFYC: 2026; Comunicaciones: Casos clínicos. ISSN: 2339-9333

Autores

Font Roura Font Roura, Pilar
ABS Banyoles. Girona
Salazar Ramirez, Juan Carlos
ABS Banyoles. Girona
Ràfols Crestani, Anna
ABS Banyoles. Girona